研选同类产品更多 >
万千商家帮你免费找货
0 人在求购买到急需产品
- 详细信息
- 用户评价
- 文献和实验
- 技术资料
- 抗体名:
Neurokinin 1 Receptor antibody
- 抗体英文名:
Neurokinin 1 Receptor antibody
- 靶点:
Neurokinin 1 Receptor
- 浓度:
1mg/ml
- 应用范围:
ELISA, FC, ICC, IF, IHC-Fr, IHC-P, WB
- 宿主:
Rabbit
- 适应物种:
Guinea pig, Human, Rat
- 保质期:
6-12个月
- 抗原来源:
详询
- 目录编号:
orb11133
- 级别:
科研
- 库存:
99
- 供应商:
Biorbyt
- 标记物:
Unconjugated
- 克隆性:
Polyclonal
- 保存条件:
低温
- 形态:
Liquid
- 亚型:
IgG
- 免疫原:
KLH conjugated synthetic peptide derived from human SPR
- 规格:
50 ul
产品名:Substance P Receptor antibody
货号:orb11133
产品中文名:Substance P Receptor 抗体
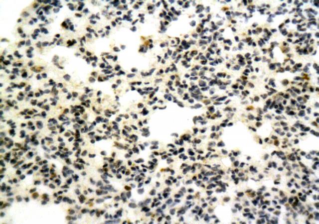
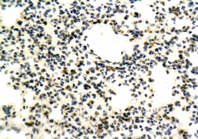
IHC-P of mouse lung tissue (orb11133 at 1:200) using NK1/Substance P Receptor antibody.
武汉博欧特生物科技有限公司为英国品牌Biorbyt中国办事处,即biorbyt中国总代理,即biorbyt总代。负责biorbyt品牌产品在中 国市场的推广、销售及售后服务。为您提供各种biorbyt原装进口产品,主推四 大类:
一. 抗体(antibody):24万种的一抗。 可应用于Western blot,IP,IHC,IF,FACS,ELISA等实验。
二. 蛋白(protien):3.6万种的高纯度蛋白 。
三. elisa试剂盒(elisa kit):可以提 供超过1.5万种的ELISA试剂盒,包括人源,大鼠源,小鼠源等。
四. 小分子(Small Molecules):超过 1.5万种的生物活性小分子,主要包括:拮抗剂、抑制剂、抗生素、天然产物。
所有biorbyt品牌的抗体,蛋白,elisa试剂 盒,小分子等产品国际航空低温运输,货期短,多数产品货期在1~两周,快捷 便利。
我们为研究者们提供免费的专业的售前售中 售后服务,为您的实验保驾护航。
公司对外诚接特色技术外包服务如下:
重组蛋白表达与纯化服务、单克隆抗体定制 服务、多克隆抗体定制服务、免疫学检测服务、动物实验技术服务。我们为客户 提供详实的生物信息咨询和全方位的可行性分析方案,为您的科研项目保驾护航 。
风险提示:丁香通仅作为第三方平台,为商家信息发布提供平台空间。用户咨询产品时请注意保护个人信息及财产安全,合理判断,谨慎选购商品,商家和用户对交易行为负责。对于医疗器械类产品,请先查证核实企业经营资质和医疗器械产品注册证情况。
用户评价
暂无用户评价
文献和实验Characterization of Tachykinin Receptors
. Krause, J.E., Staveteig, P.T., Nave‐Mentzer, J., Schmidt, S.K., Tucker, J.B., Brodbeck, R.M., Bu, J.‐Y., and Karpitskiy, V.V. 1997. Functional expression of a novel human neurokinin‐3 receptor homologue
激素 neurohypophyseal hormone|神经垂体,垂体后叶 neuroinvasiveness|神经侵染性,神经侵染力 neurokeratin|神经角蛋白 neurokinin|神经激肽 neurolin|神经生长素[可促进轴突生长的细胞表面糖蛋白] neuromedin|神经调节肽,神经介肽[与铃蟾肽相关,可调节促甲状腺素的释放]
/96T 2000/3000 进口分装 F02000 乙酰胆碱受体抗体 (nAChR-Ab) ELISA 96T 1200 进口分装 F02010 中性粒细胞活化肽 (NAP) ELISA 48T/96T 2000/3000 进口分装 F02020 噬中性及细胞活化肽 -2(NAP-2) ELISA 48T/96T 2000/3000 进口分装 F02021 神经激肽 A(Neurokinin A) ELISA 48T/96T 2000/3000 进口分装 F02030











