研选同类产品更多 >
万千商家帮你免费找货
0 人在求购买到急需产品
- 详细信息
- 用户评价
- 文献和实验
- 技术资料
- 抗体名:
Melatonin Receptor 1A antibody
- 抗体英文名:
Melatonin Receptor 1A antibody
- 靶点:
Melatonin Receptor 1A
- 浓度:
- 100 μg (in 200 μl): 0.5 mg/ml- 200 μg (in 400 μl): 0.5 mg/ml
- 应用范围:
ELISA, ICC, IF, IHC-P, WB
- 宿主:
Rabbit
- 适应物种:
Human, Mouse, Rat
- 保质期:
6-12个月
- 抗原来源:
详询
- 目录编号:
orb11085
- 级别:
科研
- 库存:
99
- 供应商:
Biorbyt
- 标记物:
Unconjugated
- 克隆性:
Polyclonal
- 保存条件:
低温
- 形态:
10 mM PBS, 0.02% sodium azide
- 亚型:
IgG
- 免疫原:
KLH conjugated synthetic peptide derived from human Melatonin Receptor 1A. Please contact us for the exact immunogen sequence. The peptide is available as orb374736.
- 规格:
100 ug
产品名:Melatonin Receptor 1A antibody
货号:orb11085
产品中文名:Melatonin Receptor 1A 抗体
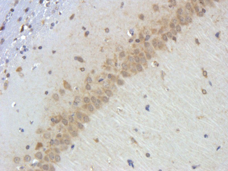
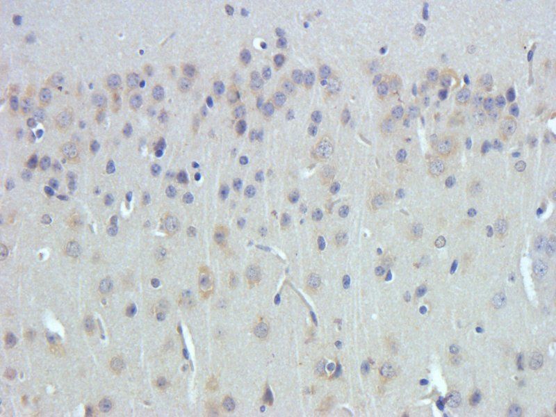
IHC-P staining of rat brain hippocampus layer tissue using anti-Melatonin receptor 1A (dilution at 1:500)

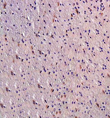
WB analysis of Rat brain tissue using Melatonin Receptor (dilution of primary antibody - 2 ug/ml)

Western blot analysis of Rat brain (lane 1), Mouse brain (lane 2) using Melatonin Receptor antibody (Dilution at 2 ug/ml)
一. 抗体(antibody):24万种的一抗。 可应用于Western blot,IP,IHC,IF,FACS,ELISA等实验。
二. 蛋白(protien):3.6万种的高纯度蛋白 。
三. elisa试剂盒(elisa kit):可以提 供超过1.5万种的ELISA试剂盒,包括人源,大鼠源,小鼠源等。
四. 小分子(Small Molecules):超过 1.5万种的生物活性小分子,主要包括:拮抗剂、抑制剂、抗生素、天然产物。
所有biorbyt品牌的抗体,蛋白,elisa试剂 盒,小分子等产品国际航空低温运输,货期短,多数产品货期在1~两周,快捷 便利。
我们为研究者们提供免费的专业的售前售中 售后服务,为您的实验保驾护航。
公司对外诚接特色技术外包服务如下:
重组蛋白表达与纯化服务、单克隆抗体定制 服务、多克隆抗体定制服务、免疫学检测服务、动物实验技术服务。我们为客户 提供详实的生物信息咨询和全方位的可行性分析方案,为您的科研项目保驾护航 。
风险提示:丁香通仅作为第三方平台,为商家信息发布提供平台空间。用户咨询产品时请注意保护个人信息及财产安全,合理判断,谨慎选购商品,商家和用户对交易行为负责。对于医疗器械类产品,请先查证核实企业经营资质和医疗器械产品注册证情况。
用户评价
暂无用户评价
文献和实验- Deng, S. et al. Melatonin reduces oxidative damage and upregulates heat shock protein 90 expression in cryopreserved human semen. Free Radic. Biol. Med. 113, 347-354 (2017)
- Wongprayoon, P. et al. Melatonin attenuates methamphetamine-induced neuroinflammation through the melatonin receptor in the SH-SY5Y cell line. Neurotoxicology 50, 122-130 (2015)
- Melatonin attenuates methamphetamine-induced neuroinflammation through the melatonin receptor in the SH-SY5Y cell line. - PubMed - NCBI.
- Mishima, H. et al. The Relationship Between the Structure and Calcification of Dentin and the Role of Melatonin., 199-209 (2018)
Protein Kinase C as a Modulator of 5- HT1A and Dopamine- D2 Receptor Signaling
Since its identification as a family of protein kinases that is activated in the presence of calcium, phosphatidyl serine, and diacylglycerol (DAG), protein kinase C (PKC) has been regarded as one of the early steps in receptor signaling
Characterization of 5‐HT1A,B and 5‐HT2A,C Serotonin Receptor Binding
Analysis for Saturation and Competition Assays Basic Protocol 3: Measurement of 5‐HT1A Receptor Binding in Tissue Membrane Homogenates Basic Protocol 4: Quantitative Autoradiography of 5‐HT1A Binding to Rat Brain
of breast, uterine, and liver cancer. Steroid receptor coactivator-1a (SRC1a) belongs to the P160 family of coactivators, which is the best known of the many coactivators implicated in ER-mediated transactivation. Binding of full-length P160 coactivators











