相关产品推荐更多 >
万千商家帮你免费找货
0 人在求购买到急需产品
- 详细信息
- 技术资料
- 抗体名:
LOXL2 antibody抗体
- 抗体英文名:
LOXL2 antibody
- 靶点:
LOXL2
- 浓度:
- 100 μg (in 200 μl): 0.5 mg/ml- 200 μg (in 400 μl): 0.5 mg/ml
- 应用范围:
ELISA, ICC, IF, IHC-P, WB
- 宿主:
Rabbit
- 适应物种:
Bovine, Human, Mouse, Porcine, Rat
- 保质期:
6-12个月
- 抗原来源:
详询
- 目录编号:
orb100924
- 级别:
科研级
- 库存:
88
- 供应商:
biorbyt
- 标记物:
Unconjugated
- 克隆性:
Polyclonal
- 形态:
10 mM PBS, 0.02% sodium azide
- 亚型:
IgG
- 免疫原:
KLH conjugated synthetic peptide derived from human LOXL2. Please contact us for the exact immunogen sequence. The peptide is available as orb374805.
- 规格:
100 ug
产品描述:LOXL2 antibody
别名:Anti-LOR 2 antibody, anti- LOR2 antibody, anti- LOX L2 antibody, anti- LOXL 2 antibody, anti- LOXL2 antibody, anti- LOXL2_HUMAN antibody, anti- Lysyl oxidase homolog 2 antibody, anti- Lysyl oxidase like 2 antibody, anti- Lysyl oxidase like protein 2 antibody, anti- Lysyl oxidase related 2 antibody, anti- Lysyl oxidase related protein 2 antibody, anti- Lysyl oxidase related protein WS9 14 antibody, anti- Lysyl oxidase-like protein 2 antibody, anti- Lysyl oxidase-related protein 2 antibody, anti- Lysyl oxidase-related protein WS9-14 antibody, anti- WS9 14. antibody
免疫原:KLH conjugated synthetic peptide derived from human LOXL2. Please contact us for the exact 免疫原 sequence. The peptide is available as orb374805.
分子量:87 kDa
应用稀释比例:WB:1:5000, IHC-P:1:500, IF/ICC:1:500
纯度:Polyclonal antibodies are purified by peptide affinity chromatography
保存说明:Maintain refrigerated at 2-8°C for up to 2 weeks. For long term storage store at -20°C in small aliquots to prevent freeze-thaw cycles.
NCBI:11, 002309, 21, 002318
Entrez:4017
UniProt ID:B5DF27, P58022, Q9Y4K0
Note:For research use only.










别名:Anti-LOR 2 antibody, anti- LOR2 antibody, anti- LOX L2 antibody, anti- LOXL 2 antibody, anti- LOXL2 antibody, anti- LOXL2_HUMAN antibody, anti- Lysyl oxidase homolog 2 antibody, anti- Lysyl oxidase like 2 antibody, anti- Lysyl oxidase like protein 2 antibody, anti- Lysyl oxidase related 2 antibody, anti- Lysyl oxidase related protein 2 antibody, anti- Lysyl oxidase related protein WS9 14 antibody, anti- Lysyl oxidase-like protein 2 antibody, anti- Lysyl oxidase-related protein 2 antibody, anti- Lysyl oxidase-related protein WS9-14 antibody, anti- WS9 14. antibody
免疫原:KLH conjugated synthetic peptide derived from human LOXL2. Please contact us for the exact 免疫原 sequence. The peptide is available as orb374805.
分子量:87 kDa
应用稀释比例:WB:1:5000, IHC-P:1:500, IF/ICC:1:500
纯度:Polyclonal antibodies are purified by peptide affinity chromatography
保存说明:Maintain refrigerated at 2-8°C for up to 2 weeks. For long term storage store at -20°C in small aliquots to prevent freeze-thaw cycles.
NCBI:11, 002309, 21, 002318
Entrez:4017
UniProt ID:B5DF27, P58022, Q9Y4K0
Note:For research use only.

WB analysis of rat uterus tissue using LOXL2 antibody (dilution of primary antibody - 1:5000)

Western blot analysis of human breast cancer 2 (Lane 1), breast cancer 1 (Lane 2) using LOXL2 antibody (primary antibody at 1:5000)

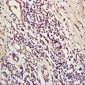
Immunohistochemical analysis of formalin-fixed and paraffin embedded human breast carcinoma tissue (Dilution at:1:200) using LOXL2 antibody

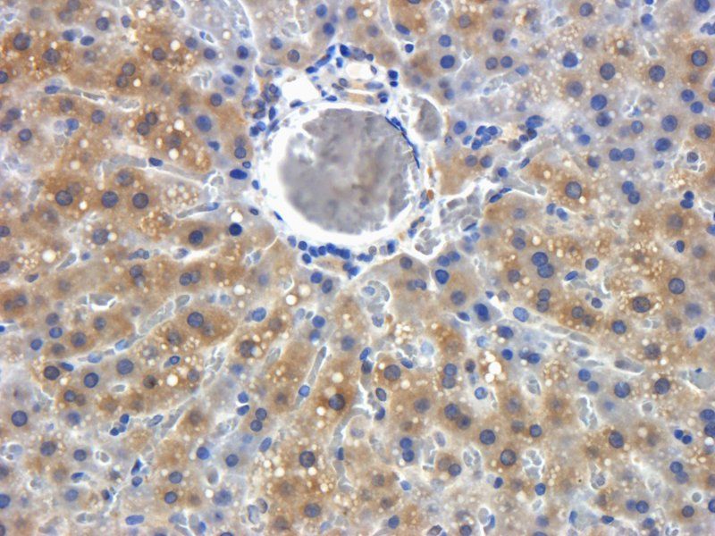
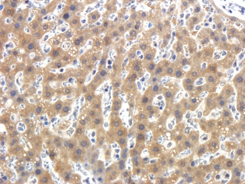
Immunohistochemical staining of paraffin embedded rat liver tissue using LOXL2 antibody (primary antibody at 1:500)

Immunofluorescence image of rat liver tissue using anti-LOXL2 (dilution at 1:500)

Immunofluorescence analysis of pig uterus tissue using LOXL2 antibody (dilution of primary antibody - 1:500)

IHC-P staining of rat liver tissue using anti-LOXL2 (dilution at 1:500)

IF image of pig uterus tissue using LOXL2 antibody (primary antibody at 1:500)

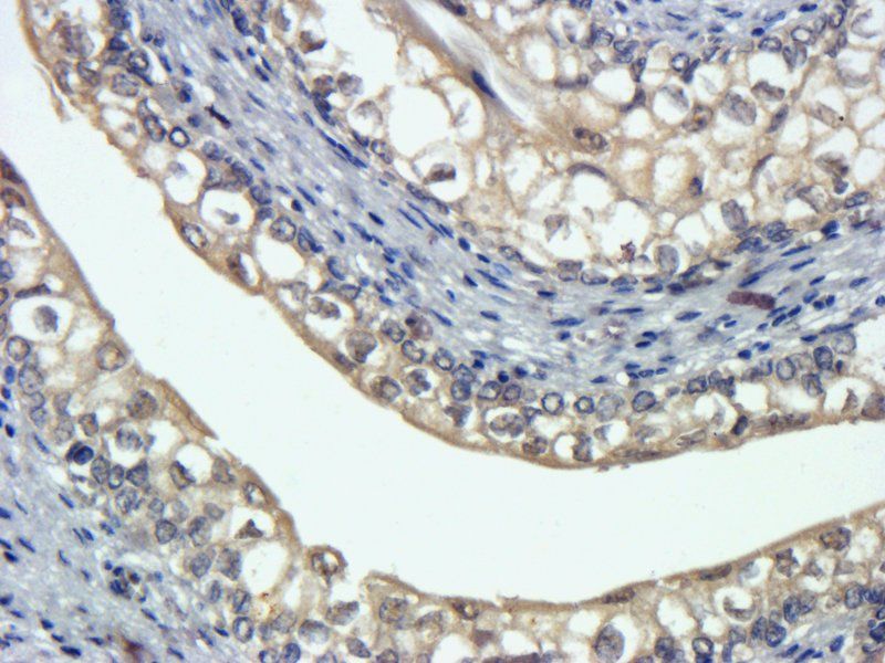
Immunohistochemical analysis of formalin-fixed and paraffin embedded pig uterus tissue using LOXL2 antibody (dilution at:1:200)

IF image of rat liver tissue using anti-LOXL2 (primary antibody at 1:500)
风险提示:丁香通仅作为第三方平台,为商家信息发布提供平台空间。用户咨询产品时请注意保护个人信息及财产安全,合理判断,谨慎选购商品,商家和用户对交易行为负责。对于医疗器械类产品,请先查证核实企业经营资质和医疗器械产品注册证情况。
技术资料暂无技术资料 索取技术资料
LOXL2 antibody抗体,orb100924,biorbyt
¥3640










