相关产品推荐更多 >

Rabbit Anti-Dog IgG (H&L) - Texas Red 抗体,orb1786552,Biorbyt
¥1958
USP8 (UBPY) Antibody (C-term) 抗体,orb1931695,Biorbyt
¥7293
Golgi Complex (Marker for Human Cells) Antibody - With BSA and Azide 抗体,orb1790108,Biorbyt
¥5889
ITGA6 Antibody (isoform 2 S1064) 抗体,orb1931487,Biorbyt
¥7293
BCLAF3 Antibody - N-terminal region : Biotin 抗体,orb2086678,Biorbyt
¥8216
万千商家帮你免费找货
0 人在求购买到急需产品
- 详细信息
- 文献和实验
- 技术资料
- 抗体名:
Syncytin 1 antibody抗体
- 抗体英文名:
Syncytin 1 antibody
- 靶点:
Syncytin 1
- 浓度:
100 ug (in 200 ul): 0.5 mg/ml 200 ug (in 400 ul): 0.5 mg/ml
- 应用范围:
ELISA, IHC-P, WB
- 宿主:
Rabbit
- 保质期:
6-12个月
- 抗原来源:
详询
- 目录编号:
orb100573
- 级别:
科研级
- 库存:
88
- 供应商:
biorbyt
- 标记物:
Unconjugated
- 克隆性:
Polyclonal
- 形态:
10mM PBS, 0.02 NaN3, 2% rAlbumin
- 亚型:
IgG
- 免疫原:
KLH conjugated synthetic peptide derived from human Syncytin 1. Please contact us for the exact immunogen sequence. The peptide is available as orb374808.
- 规格:
100 ug
产品描述:Syncytin 1 antibody
别名:Anti-env antibody, anti-Env-W antibody, anti-Envelope polyprotein gPr73 antibody, anti-Enverin antibody, anti-ENW1_HUMAN antibody, anti-ERVW antibody, anti-ERVWE1 antibody, anti-Gp24 antibody, anti-Gp50 antibody, anti-HERV-7q Envelope protein antibody, anti-HERV-W envelope protein antibody, anti-HERVW antibody, anti-SU antibody, anti-Syncytin 1 antibody, anti-Syncytin antibody, anti-Syncytin-1 antibody, anti-TM antibody, anti-Transmembrane protein. antibody
免疫原:KLH conjugated synthetic peptide derived from human Syncytin 1. Please contact us for the exact 免疫原 sequence. The peptide is available as orb374808.
分子量:60 kDa
应用稀释比例:IHC-P: 1:200, WB: 1:200-800
纯度:Polyclonal antibodies are purified by peptide affinity chromatography
保存说明:Maintain refrigerated at 2-8°C for up to 2 weeks. For long term storage store at -20°C in small aliquots to prevent freeze-thaw cycles.
Pubmed:26260344, 29388695
NCBI:11, 001124397, 001130925
Entrez:30816
UniProt ID:Q9UQF0
Note:For research use only.





别名:Anti-env antibody, anti-Env-W antibody, anti-Envelope polyprotein gPr73 antibody, anti-Enverin antibody, anti-ENW1_HUMAN antibody, anti-ERVW antibody, anti-ERVWE1 antibody, anti-Gp24 antibody, anti-Gp50 antibody, anti-HERV-7q Envelope protein antibody, anti-HERV-W envelope protein antibody, anti-HERVW antibody, anti-SU antibody, anti-Syncytin 1 antibody, anti-Syncytin antibody, anti-Syncytin-1 antibody, anti-TM antibody, anti-Transmembrane protein. antibody
免疫原:KLH conjugated synthetic peptide derived from human Syncytin 1. Please contact us for the exact 免疫原 sequence. The peptide is available as orb374808.
分子量:60 kDa
应用稀释比例:IHC-P: 1:200, WB: 1:200-800
纯度:Polyclonal antibodies are purified by peptide affinity chromatography
保存说明:Maintain refrigerated at 2-8°C for up to 2 weeks. For long term storage store at -20°C in small aliquots to prevent freeze-thaw cycles.
Pubmed:26260344, 29388695
NCBI:11, 001124397, 001130925
Entrez:30816
UniProt ID:Q9UQF0
Note:For research use only.

Western blot analysis of mouse brain (lane 1), rat spleen (lane 2), rat heart (lane 3), human breast cancer (lane 4) using Syncytin 1 antibody (1 ug/ml)

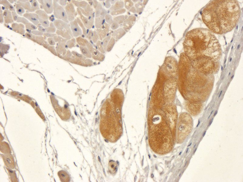
IHC-P staining of pig heart tissue using Syncytin 1 antibody (2.5 ug/ml)

WB analysis of mouse brain (lane 1), rat spleen (lane 2), rat heart (lane 3), human breast cancer (lane 4) using (1 ug/ml)

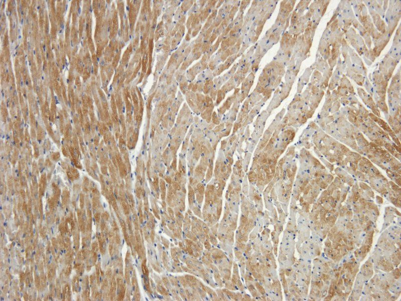
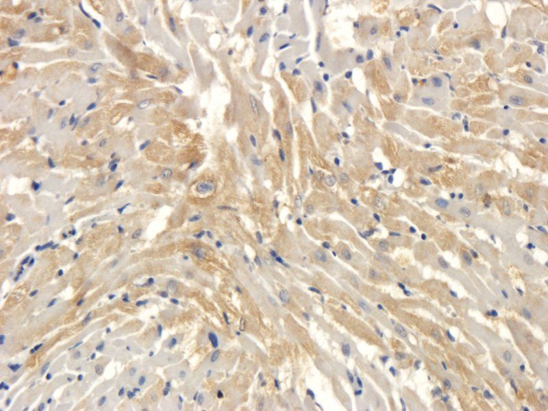
Immunohistochemical staining of rat heart tissue using anti-Syncytin 1 (2.5 ug/ml)

IHC-P image of pig heart tissue using anti-Syncytin 1 (2.5 ug/ml)
风险提示:丁香通仅作为第三方平台,为商家信息发布提供平台空间。用户咨询产品时请注意保护个人信息及财产安全,合理判断,谨慎选购商品,商家和用户对交易行为负责。对于医疗器械类产品,请先查证核实企业经营资质和医疗器械产品注册证情况。
文献和实验该产品被引用文献
Díaz-Carballo, David et al. Therapeutic potential of antiviral drugs targeting chemorefractory colorectal adenocarcinoma cells overexpressing endogenous retroviral elements J Exp Clin Cancer Res, 34, 81 (2015), Ethiraj, Purushoth et al. Microgravity modulation of syncytin-A expression enhance osteoclast formation J Cell Biochem, 119, 5696-5703 (2018)
技术资料暂无技术资料 索取技术资料
文献支持
Syncytin 1 antibody抗体,orb100573,biorbyt
¥3640





