研选同类产品更多 >
万千商家帮你免费找货
0 人在求购买到急需产品
- 详细信息
- 用户评价
- 文献和实验
- 技术资料
- 抗体名:
OAT3 antibody
- 抗体英文名:
OAT3 antibody
- 靶点:
OAT3. OAT3 antibody detects endogenous levels of total OAT3
- 浓度:
- 100 μg (in 200 μl): 0.5 mg/ml- 200 μg (in 400 μl): 0.5 mg/ml
- 应用范围:
IHC-P, WB
- 宿主:
Rabbit
- 适应物种:
Human, Mouse, Rat
- 保质期:
6-12个月
- 抗原来源:
详询
- 目录编号:
orb11178
- 级别:
科研
- 库存:
99
- 供应商:
Biorbyt
- 标记物:
Unconjugated
- 克隆性:
Polyclonal
- 保存条件:
低温
- 形态:
10 mM PBS, 0.02% sodium azide
- 亚型:
IgG
- 免疫原:
KLH conjugated synthetic peptide derived from human OAT3. Please contact us for the exact immunogen sequence. The peptide is available as orb374741.
- 规格:
100 ug
产品名:OAT3 antibody
货号:orb11178
产品中文名:OAT3 抗体
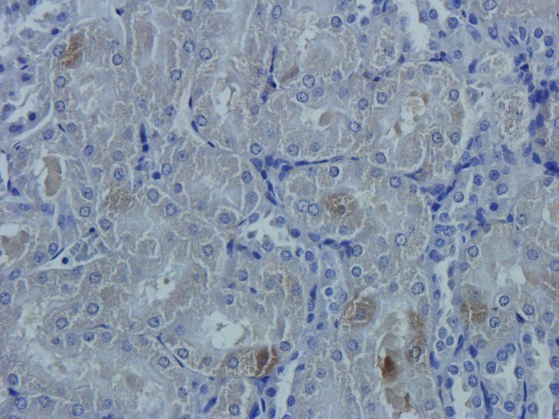
IHC-P image of rat kidney tissue using anti-OAT3 (2.5 ug/ml)
武汉博欧特生物科技有限公司为英国品牌Biorbyt中国办事处,即biorbyt中国总代理,即biorbyt总代。负责biorbyt品牌产品在中 国市场的推广、销售及售后服务。为您提供各种biorbyt原装进口产品,主推四 大类:
一. 抗体(antibody):24万种的一抗。 可应用于Western blot,IP,IHC,IF,FACS,ELISA等实验。
二. 蛋白(protien):3.6万种的高纯度蛋白 。
三. elisa试剂盒(elisa kit):可以提 供超过1.5万种的ELISA试剂盒,包括人源,大鼠源,小鼠源等。
四. 小分子(Small Molecules):超过 1.5万种的生物活性小分子,主要包括:拮抗剂、抑制剂、抗生素、天然产物。
所有biorbyt品牌的抗体,蛋白,elisa试剂 盒,小分子等产品国际航空低温运输,货期短,多数产品货期在1~两周,快捷 便利。
我们为研究者们提供免费的专业的售前售中 售后服务,为您的实验保驾护航。
公司对外诚接特色技术外包服务如下:
重组蛋白表达与纯化服务、单克隆抗体定制 服务、多克隆抗体定制服务、免疫学检测服务、动物实验技术服务。我们为客户 提供详实的生物信息咨询和全方位的可行性分析方案,为您的科研项目保驾护航 。
风险提示:丁香通仅作为第三方平台,为商家信息发布提供平台空间。用户咨询产品时请注意保护个人信息及财产安全,合理判断,谨慎选购商品,商家和用户对交易行为负责。对于医疗器械类产品,请先查证核实企业经营资质和医疗器械产品注册证情况。
用户评价
暂无用户评价
文献和实验In Vitro Characterization of Renal Transporters OAT1, OAT3, and OCT2
The human transporters organic anion transporter 1 (OAT1), organic anion transporter 3 (OAT3) and organic cation transporter 2 (OCT2) are membrane proteins involved in the renal clearance of substances from the body. While the original
Overview of Experimental Models of the Blood‐Brain Barrier in CNS Drug Discovery
endothelial cells. In the OAT family, there is evidence for OAT3 expression in human brain capillary endothelial cells with predominant abluminal localization. View Image












