相关产品推荐更多 >
万千商家帮你免费找货
0 人在求购买到急需产品
- 详细信息
- 文献和实验
- 技术资料
- 抗体名:
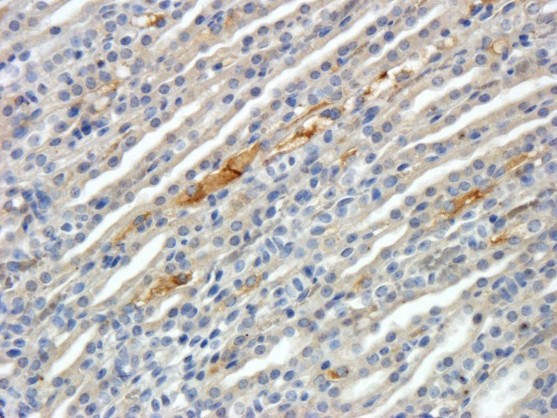
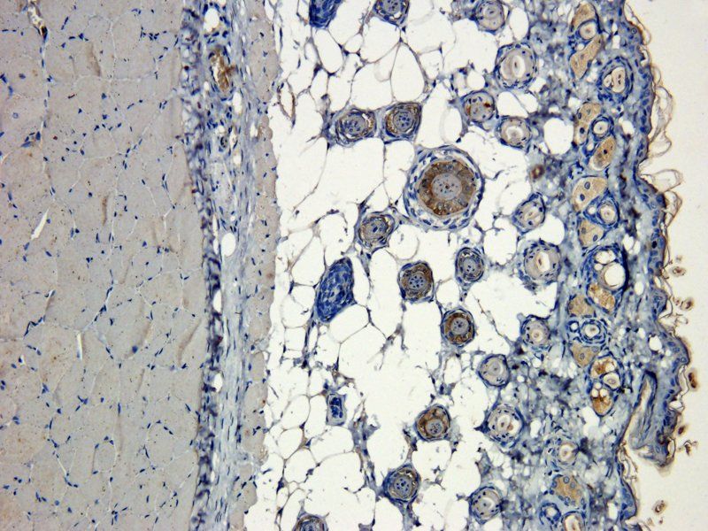
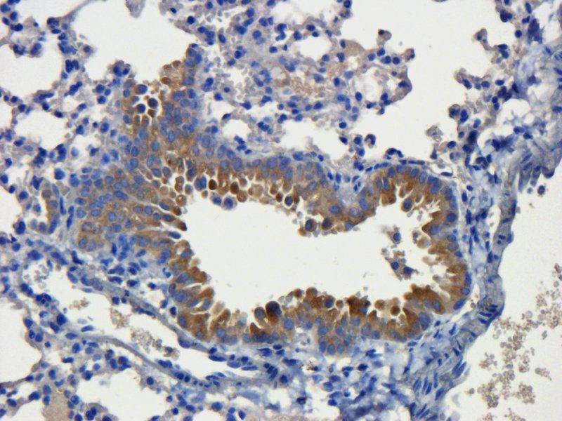
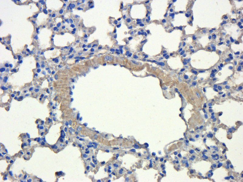
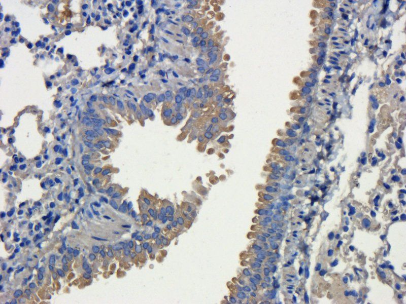
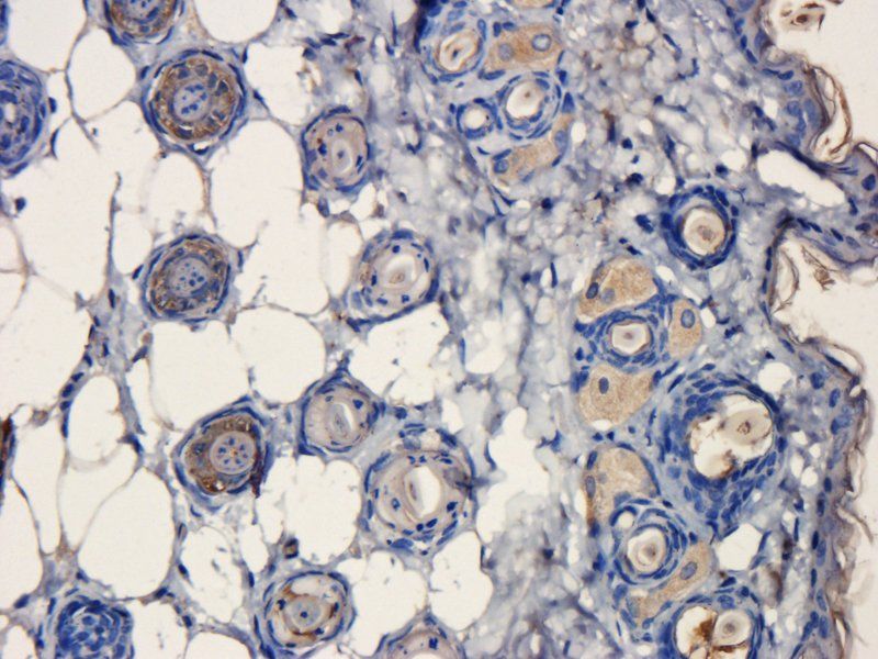
CD31 antibody抗体
- 抗体英文名:
CD31 antibody
- 靶点:
CD31
- 浓度:
- 100 μg (in 200 μl): 0.5 mg/ml- 200 μg (in 400 μl): 0.5 mg/ml
- 应用范围:
ELISA, ICC, IF, IHC-P, WB
- 宿主:
Rabbit
- 适应物种:
Human, Mouse, Rat
- 保质期:
6-12个月
- 抗原来源:
详询
- 目录编号:
orb10314
- 级别:
科研级
- 库存:
88
- 供应商:
biorbyt
- 标记物:
Unconjugated
- 克隆性:
Polyclonal
- 形态:
10 mM PBS, 0.02% sodium azide
- 亚型:
IgG
- 免疫原:
KLH conjugated synthetic peptide derived from human CD31. Please contact us for the exact immunogen sequence. The peptide is available as orb374712.
- 规格:
100 ug
别名:anti Adhesion molecule antibody, anti CD31 antibody, anti CD31 antigen antibody, anti CD31 EndoCAM antibody, anti Endocam antibody, anti FLJ34100 antibody, anti FLJ58394 antibody, anti GPIIA antibody, anti GPIIA' antibody, anti PECA1 antibody, anti PECA1_HUMAN antibody, anti Pecam 1 antibody, anti PECAM 1 CD31 EndoCAM antibody, anti PECAM antibody, anti PECAM-1 antibody, anti Pecam1 antibody, anti Platelet endothelial cell adhesion molecule antibody, anti Platelet/endothelial cell adhesion molecule 1 antibody, anti Platelet/endothelial cell adhesion molecule antibody
免疫原:KLH conjugated synthetic peptide derived from human CD31. Please contact us for the exact 免疫原 sequence. The peptide is available as orb374712.
分子量:82 kDa
应用稀释比例:WB:2 μg/ml, IHC-P:1:500, IF/ICC: 1:200
纯度:Polyclonal antibodies are purified by peptide affinity chromatography
保存说明:Maintain refrigerated at 2-8°C for up to 2 weeks. For long term storage store at -20°C in small aliquots to prevent freeze-thaw cycles.
Pubmed:39128880, 38909881, 40122333, 40334370, 37224450, 25491934, 28076885, 32512160, 33879143
NCBI:000442, 000433, 41
Entrez:5175
UniProt ID:P16284, Q3SWT0, Q08481
Note:For research use only.










风险提示:丁香通仅作为第三方平台,为商家信息发布提供平台空间。用户咨询产品时请注意保护个人信息及财产安全,合理判断,谨慎选购商品,商家和用户对交易行为负责。对于医疗器械类产品,请先查证核实企业经营资质和医疗器械产品注册证情况。
文献和实验CD31 分子 CD31 常用单克隆抗体或代号: SG134,TM3,HEC- 75;(PECAM、EndoCAM) 主要表达细胞: Pt,M,G,B,NK,Tsub [AS] 分子质量(kDa)和结构: gp140,血小板GPⅡa(IgSF) 功 能: 嗜同性或嗜异性(与CD38互为受体)粘附,炎症,En功能 CD31 Aka
有好几个同仁发消息问CD31染色,刚工作比较忙,今天分享一下我做的是免疫荧光,也试做过免疫组化,都可以做出来抗体:小鼠抗CD31单克隆抗体 英国Abcam公司(CD31抗体说明书里面有说多聚甲醛会掩盖抗体,所以推荐速冻切片,也尝试过速冻切片,不使用多聚甲醛,但是这个技术个人掌握不好,所以还是用了多聚甲醛固定)二抗: 山羊抗小鼠488单克隆抗体 美国CST公司 特别说明:我是从同学那里得到的经验,可能绿光稍微好做些,之前做红光
dm0920 我有一篇文章修回。审稿人怀疑我结果的可靠性。其中一个结果是将细胞在缺氧的条件下培养4小时后,检测两个目的基因的转录和表达,RT-PCR以及细胞免疫化学染色都提示该目的基因发生了转录并表达。但是,审稿人认为仅仅4个小时这些基因(CD31和CD34)还不能转录和表达,因为4小时太短。一般基因得48小时以上方可表达。因此,审稿人怀疑我的结果。我想请教各位大侠,是否能帮忙查找一些文献表明很多基因的转录/表达可以在4小时之内完成。谢谢。
技术资料暂无技术资料 索取技术资料











