相关产品推荐更多 >
万千商家帮你免费找货
0 人在求购买到急需产品
- 详细信息
- 文献和实验
- 技术资料
- 供应商:
上海康朗生物科技有限公司
- 库存:
大量
- 目录编号:
kl-14268R
- 克隆性:
多克隆
- 抗原来源:
Rabbit
- 保质期:
12个月
- 抗体英文名:
DENN antibody
- 抗体名:
死亡结构域接头蛋白DENN抗体
- 宿主:
Rabbit
- 适应物种:
Human, Mouse, Rat, Dog, Cow, Horse, Sheep,
- 免疫原:
KLH conjugated synthetic peptide derived from human DENN:851-950/1647
- 亚型:
IgG
- 形态:
冻干粉或液体
- 应用范围:
ELISA=1:500-1000 IHC-P=1:400-800 IHC-F=1:400-800 ICC=1:100-500 IF=1:100-500
- 浓度:
1mg/ml
- 保存条件:
-20 °C
- 规格:
100ul 200ul
| 中文名称 | 死亡结构域接头蛋白DENN抗体 |
| 别 名 | Differentially expressed in normal and neoplastic cells; FLJ35600; IG20; Insulinoma glucagonoma clone 20; KIAA0358; MADD; MADD_HUMAN; MAP kinase-activating death domain protein; Rab3 GDP/GTP exchange factor; RAB3GEP. |
| 规格价格 | 100ul/1380元 购买 200ul/2200元 购买 大包装/询价 |
| 说 明 书 | 100ul 200ul |
| 研究领域 | 肿瘤 细胞生物 细胞凋亡 |
| 抗体来源 | Rabbit |
| 克隆类型 | Polyclonal |
| 交叉反应 | Human, Mouse, Rat, Dog, Cow, Horse, Sheep, |
| 产品应用 | ELISA=1:500-1000 IHC-P=1:400-800 IHC-F=1:400-800 ICC=1:100-500 IF=1:100-500 (石蜡切片需做抗原修复) not yet tested in other applications. optimal dilutions/concentrations should be determined by the end user. |
| 分 子 量 | 183kDa |
| 细胞定位 | 细胞浆 细胞膜 |
| 性 状 | Lyophilized or Liquid |
| 浓 度 | 1mg/ml |
| 免 疫 原 | KLH conjugated synthetic peptide derived from human DENN:851-950/1647 |
| 亚 型 | IgG |
| 纯化方法 | affinity purified by Protein A |
| 储 存 液 | 0.01M TBS(pH7.4) with 1% BSA, 0.03% Proclin300 and 50% Glycerol. |
| 保存条件 | Store at -20 °C for one year. Avoid repeated freeze/thaw cycles. The lyophilized antibody is stable at room temperature for at least one month and for greater than a year when kept at -20°C. When reconstituted in sterile pH 7.4 0.01M PBS or diluent of antibody the antibody is stable for at least two weeks at 2-4 °C. |
| PubMed | PubMed |
| 产品介绍 | background: Tumor necrosis factor alpha (TNF-alpha) is a signaling molecule that interacts with one of two receptors on cells targeted for apoptosis. The apoptotic signal is transduced inside these cells by cytoplasmic adaptor proteins. The protein encoded by this gene is a death domain-containing adaptor protein that interacts with the death domain of TNF-alpha receptor 1 to activate mitogen-activated protein kinase (MAPK) and propagate the apoptotic signal. It is membrane-bound and expressed at a higher level in neoplastic cells than in normal cells. Several transcript variants encoding different isoforms have been described for this gene. [provided by RefSeq, Jul 2008] Function: Plays a significant role in regulating cell proliferation, survival and death through alternative mRNA splicing. Isoform 5 shows increased cell proliferation and isoform 2 shows decreased. Converts GDP-bound inactive form of RAB3A, RAB3C and RAB3D to the GTP-bound active forms. Component of the TNFRSF1A signaling complex: MADD links TNFRSF1A with MAP kinase activation. Plays an important regulatory role in physiological cell death (TNF-alpha-induced, caspase-mediated apoptosis); isoform 1 is susceptible to inducing apoptosis, isoform 5 is resistant and isoform 3 and isoform 4 have no effect. Subcellular Location: Membrane. Tissue Specificity: Highly expressed in fetal brain and kidney; adult testis, ovary, brain and heart. Isoform 5 is constitutively expressed in all tissues. Isoform 7 is expressed in fetal liver and in several cancer cell lines. Similarity: Belongs to the MADD family. Contains 1 dDENN domain. Contains 1 death domain. Contains 1 DENN domain. Contains 1 uDENN domain. SWISS: Q8WXG6 Gene ID: 8567 Database links: Entrez Gene: 8567 Human Entrez Gene: 228355 Mouse Entrez Gene: 94193 Rat Omim: 603584 Human SwissProt: Q8WXG6 Human SwissProt: Q80U28 Mouse SwissProt: O08873 Rat Unigene: 82548 Human Unigene: 36410 Mouse Unigene: 90117 Rat Important Note: This product as supplied is intended for research use only, not for use in human, therapeutic or diagnostic applications. |
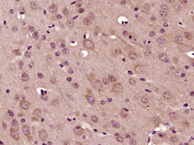
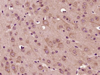
| 产品图片 | ![]() Paraformaldehyde-fixed, paraffin embedded (Mouse brain); Antigen retrieval by boiling in sodium citrate buffer (pH6.0) for 15min; Block endogenous peroxidase by 3% hydrogen peroxide for 20 minutes; Blocking buffer (normal goat serum) at 37°C for 30min; Antibody incubation with (DENN) Polyclonal Antibody, Unconjugated (bs-14268R) at 1:400 overnight at 4°C, followed by operating according to SP Kit(Rabbit) (sp-0023) instructionsand DAB staining. |
风险提示:丁香通仅作为第三方平台,为商家信息发布提供平台空间。用户咨询产品时请注意保护个人信息及财产安全,合理判断,谨慎选购商品,商家和用户对交易行为负责。对于医疗器械类产品,请先查证核实企业经营资质和医疗器械产品注册证情况。
文献和实验Generation of Antibody Molecules Through Antibody Engineering
been overcome to a large extent using genetic-engineering techniques to produce chimeric mouse/human and completely human antibodies. Such an approach is particularly suitable because of the domain structure of the antibody molecule ( 2 ), where functional
The importance of antibody molecules was first recognized in the 1890s, when it was shown that immunity to tetanus and diphtheria was caused by antibodies against the bacterial exotoxins (1 ). Around the same time, it was shown that antisera
General comments: Antibodies, like most proteins, do not like to be freeze-thawed. Avoid repetitive freezing of your solution. The best way to store your antibody is to keep a high protein concentration (>1 mg/ml), add some protease
技术资料暂无技术资料 索取技术资料











