相关产品推荐更多 >
万千商家帮你免费找货
0 人在求购买到急需产品
- 详细信息
- 文献和实验
- 技术资料
- 免疫原:
Synthetic Peptide
- 亚型:
IgG1
- 形态:
Liquid
- 保存条件:
Store as concentrated solution. Centrifuge briefly prior to opening vial. For short-term storage (1-2 weeks), store at 4ºC. For long-term storage, aliquot and store at -20ºC or below. Avoid multiple freeze-thaw cycles.
- 克隆性:
Monoclonal
- 标记物:
Unconjugated
- 适应物种:
Human, Mouse, Rat
- 保质期:
12 months from the shipping date of the product.
- 抗原来源:
Human
- 目录编号:
GTX34120
- 级别:
Primary Antibodies
- 库存:
Available
- 供应商:
GeneTex
- 宿主:
Mouse
- 应用范围:
IHC-P
- 浓度:
Batch dependent (Please refer to the vial label for the specific concentration.)
- 靶点:
Progesterone Receptor
- 抗体英文名:
Progesterone Receptor antibody [Z15]
- 抗体名:
Progesterone Receptor 抗体 [Z15]
- 规格:
100 μl
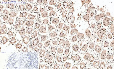
IHC-P analysis of human liver cancer tissue using GTX34120 Progesterone Receptor antibody [Z15]. Negative control (the lower left coner) was secondary antibody only.
Antigen retrieval : Sodium citrate pH6.0 was used for antibody retrieval (>98ºC, 20min)
Dilution : 1:200
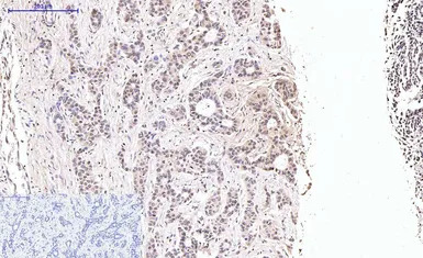
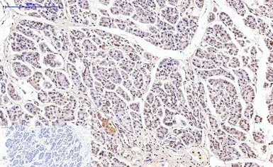
IHC-P analysis of human stomach cancer tissue using GTX34120 Progesterone Receptor antibody [Z15]. Negative control (the lower left coner) was secondary antibody only.
Antigen retrieval : Sodium citrate pH6.0 was used for antibody retrieval (>98ºC, 20min)
Dilution : 1:200
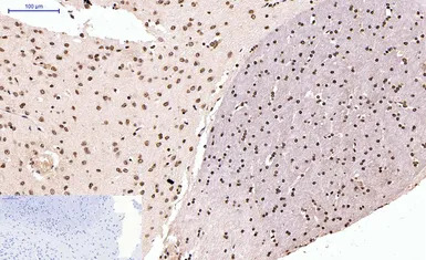
IHC-P analysis of mouse liver tissue using GTX34120 Progesterone Receptor antibody [Z15]. Negative control (the lower left coner) was secondary antibody only.
Antigen retrieval : Sodium citrate pH6.0 was used for antibody retrieval (>98ºC, 20min)
Dilution : 1:200
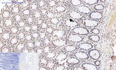
IHC-P analysis of mouse colon tissue using GTX34120 Progesterone Receptor antibody [Z15]. Negative control (the lower left coner) was secondary antibody only.
Antigen retrieval : Sodium citrate pH6.0 was used for antibody retrieval (>98ºC, 20min)
Dilution : 1:200
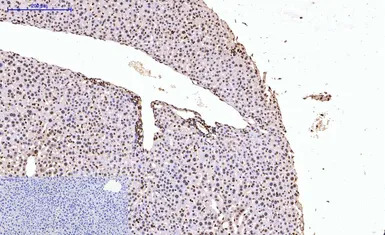
IHC-P analysis of human uterus tissue using GTX34120 Progesterone Receptor antibody [Z15]. Negative control (the lower left coner) was secondary antibody only.
Antigen retrieval : Sodium citrate pH6.0 was used for antibody retrieval (>98ºC, 20min)
Dilution : 1:200
IHC-P analysis of human stomach tissue using GTX34120 Progesterone Receptor antibody [Z15]. Negative control (the lower left coner) was secondary antibody only.
Antigen retrieval : Sodium citrate pH6.0 was used for antibody retrieval (>98ºC, 20min)
Dilution : 1:200
IHC-P analysis of rat testis tissue using GTX34120 Progesterone Receptor antibody [Z15]. Negative control (the lower left coner) was secondary antibody only.
Antigen retrieval : Sodium citrate pH6.0 was used for antibody retrieval (>98ºC, 20min)
Dilution : 1:200
IHC-P analysis of rat kidney tissue using GTX34120 Progesterone Receptor antibody [Z15]. Negative control (the lower left coner) was secondary antibody only.
Antigen retrieval : Sodium citrate pH6.0 was used for antibody retrieval (>98ºC, 20min)
Dilution : 1:200
IHC-P analysis of human colon tissue using GTX34120 Progesterone Receptor antibody [Z15]. Negative control (the lower left coner) was secondary antibody only.
Antigen retrieval : Sodium citrate pH6.0 was used for antibody retrieval (>98ºC, 20min)
Dilution : 1:200
IHC-P analysis of rat brain tissue using GTX34120 Progesterone Receptor antibody [Z15]. Negative control (the lower left coner) was secondary antibody only.
Antigen retrieval : Sodium citrate pH6.0 was used for antibody retrieval (>98ºC, 20min)
Dilution : 1:200
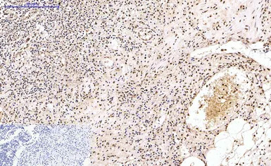
IHC-P analysis of human appendix tissue using GTX34120 Progesterone Receptor antibody [Z15]. Negative control (the lower left coner) was secondary antibody only.
Antigen retrieval : Sodium citrate pH6.0 was used for antibody retrieval (>98ºC, 20min)
Dilution : 1:200
风险提示:丁香通仅作为第三方平台,为商家信息发布提供平台空间。用户咨询产品时请注意保护个人信息及财产安全,合理判断,谨慎选购商品,商家和用户对交易行为负责。对于医疗器械类产品,请先查证核实企业经营资质和医疗器械产品注册证情况。
文献和实验Human progesterone receptor (PR) is a member of the nuclear hormone receptor superfamily of transcriptional activators, which share a common modular structure consisting of a C-terminal ligand-binding domain (LBD), a highly conserved
Several assays exist to determine receptor status in ovarian cancers, like radio ligand binding assays, biochemical analysis, and even Northern blotting. However, patholo- gists generally prefer to judge the presence of biological markers
Steroid hormones, such as estrogen, progesterone, androgens, glucocorticoids, and mineralocorticoids, are well-known regulators of the expression of specific gene networks in higher eukaryotes (1 –3 ). The hormonal action is mediated
技术资料暂无技术资料 索取技术资料







![S Tag antibody [GT727]](https://img1.dxycdn.com/2023/0711/451/6106825198874858761-14.jpg!wh200)

