相关产品推荐更多 >
万千商家帮你免费找货
0 人在求购买到急需产品
- 详细信息
- 文献和实验
- 技术资料
- 品系:
兔原代脂肪干细胞
- 细胞类型:
兔原代脂肪干细胞
- 肿瘤类型:
兔原代脂肪干细胞
- 供应商:
上海晅科生物科技有限公司
- 库存:
10
- 英文名:
Adipose Stem Cell
- 生长状态:
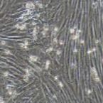
长梭形细胞,不规则细胞,贴壁培养
- 年限:
尽快解冻复苏细胞进行培养
- 运输方式:
快递形式
- 器官来源:
兔原代脂肪干细胞
- 是否是肿瘤细胞:
/
- 细胞形态:
长梭形细胞,不规则细胞,贴壁培养
- 免疫类型:
兔原代脂肪干细胞
- 物种来源:
兔原代脂肪干细胞
- 相关疾病:
兔原代脂肪干细胞
- 组织来源:
实验动物的正常脂肪组织
- 规格:
5*10^5
细胞详述
根据不同来源及分化阶段,干细胞可分为胚胎干细胞和成体干细胞胚胎干细胞具有分化为多种不同组织的能力,但在伦理上存在争议。成体干细胞因其来源广泛、增殖能力强等特点,现已成为组织工程学研究的首/选种子细胞。其中,脂肪干细胞作为组织工程修复的种子细胞,因其具有来源丰富、取材容易、增殖能力强等优点,正受到越来越多的关注。
脂肪干细胞形态类似成纤维细胞,具有较强的增殖能力。在一定的诱导条件下,可分化为脂肪细胞、成骨细胞、软骨细胞、心肌细胞、上皮细胞等,具有多向分化潜能。
细胞特性:1) 组织来源于实验动物的正常脂肪组织。
2) 细胞鉴定:CD44免疫荧光染色为阳性。
3) 经鉴定细胞纯度高于90%。
4) 不含有 HIV-1、 HBV、HCV、支原体、细菌、酵母和真菌。
5) 细胞生长方式:长梭形细胞,不规则细胞,贴壁培养。
产品的运输和保存
视天气状况和运输距离远近,公司与客户协商后选择下述方式中的一种进行。
1)1mL冻存细胞悬液装于1.8ml的冻存管中,置于装满干冰的泡沫保温盒中进行运输;收到细胞后请尽快解冻复苏细胞进行培养,如无法立刻进行复苏操作,冻存细胞可在-80℃的条件下保存1个月。
T-25培养瓶充满完全培养基后进行常温运输;收到细胞后请镜下观察细胞生长状态,如铺瓶率超过85%请立即进行传代操作,如悬浮的细胞较多,请将培养瓶至于培养箱中静置过夜以帮助未死亡的悬浮细胞能够再次贴壁。
1、您收到细胞后,请按照以下方法进行操作:
取出25cm2培养瓶,75%酒精擦拭培养瓶,拆下封口膜,放入37℃,5%CO2细胞培养箱中静置2-3小时以稳定细胞状态,然后换用新鲜完全培养液继续培养或进行传代。

2、细胞传代:
1)细胞生长至覆盖培养瓶的90%面积时,弃25cm2培养瓶中的培养液,用PBS清洗细胞一次;
2)添加0.25%胰蛋白酶消化液约1ml至培养瓶中,倒置显微镜下观察,待细胞回缩变圆后加入完全培养液终止消化,再轻轻吹打细胞使之脱落,然后将悬液转移至15ml离心管中,1500rpm离心5min;
3)弃上清,沉淀细胞用12ml完全培养基重悬,然后按1:2比例进行分瓶传代,最后放入37℃,5%CO2细胞培养箱中培养;
4)待细胞完全贴壁后,观察培养结果,之后进行换液培养或传代。


3、细胞冻存:
1)细胞生长至覆盖培养瓶的90%面积时,弃25cm2培养瓶中的培养液,用PBS清洗细胞一次;
2)添加0.25%胰蛋白酶消化液约1ml至培养瓶中,倒置显微镜下观察,待细胞回缩变圆后加入完全培养液终止消化,再轻轻吹打细胞使之脱落,然后将悬液转移至15ml离心管中,1500rpm离心5min;
3)用适量的冻存液(基础培养基:FBS:DMSO=5:4:1)重悬细胞,并放置于冻存管中;
4)先将细胞冻存管放置于-20℃ 1.5h,然后将其移入-80℃过夜,24h后转入液氮中进行长期保存。

4、细胞复苏:
1)从液氮中取出细胞冻存管(注意:佩戴防爆管面具),快速将其置入37℃水浴中解冻,直至冻存管中无结晶,然后用75%的酒精擦拭冻存管外壁;
2)将冻存管中的细胞移至含5ml完全培养基的15ml离心管中, 1500rpm离心5min;
3)弃上清,沉淀用5ml完全培养基重悬,接种25cm2培养瓶,于37℃,5%CO2细胞培养箱中培养;
4)第二天,换用新鲜完全培养基继续培养。

兔原代脂肪干细胞注意事项
产品使用
1)本产品仅能用于科研
2) 本产品未通过直接用于活体动物和人的审核
3)本产品未通过用于活体诊断的审核
风险提示:丁香通仅作为第三方平台,为商家信息发布提供平台空间。用户咨询产品时请注意保护个人信息及财产安全,合理判断,谨慎选购商品,商家和用户对交易行为负责。对于医疗器械类产品,请先查证核实企业经营资质和医疗器械产品注册证情况。
文献和实验实验材料: 1. 正常兔晶状体组织; 2. 不含Ca 2+ 和Mg 2+ 的1×PBS,添加200000IU/L青霉素、200mg/L链霉素,pH7.2; 3. 注射器; 4. 培养器具:培养瓶或皿( 用多聚赖氨酸包被)、眼科剪、镊子等; 培养方法: 1. 空气注射处死大兔,在无菌条件下清除巩膜外肌肉及结缔组织后将眼球浸入含双抗的1×PBS(pH7. 2 )浸泡5min ,移入超净工作台内; 2. 用含双抗的1×PBS(pH7. 2 )冲洗 组织
细胞仪作细胞周期及细胞免疫表型(CD29/CD44)的鉴定。二、实验用品 1. 材料:C57BL/6 WT小鼠。 2. 试剂:PBS液,0.075%II型胶原酶消化,10%FBS,低糖DMEM。 3. 仪器设备:超净工作台、恒温培养箱、普通显微镜、倒置显微镜、离心机、离心管、解剖剪、眼科剪、镊子(尖头、平头和有沟镊)、小烧杯,200目铜网过滤器,低糖DMEM、血球计数板、橡皮瓶塞、酒精灯、换药碗。 三、细胞培养的方法与步骤 1. 无菌操作的要领和要求。 2. 细胞原代
较简单;但容易产生杂质如成纤维细胞等,成纤维细胞生长快,故培养之细胞质量较差;培养的大多数细胞无收缩性;且原代细胞的获得需3~4周,获得大量平滑肌细胞耗时长(17)。既往酶消化法较组织块法复杂、精细;适宜的酶浓度和培养时间的确定较为困难;然而在较短时间内可获得大量的平滑肌细胞,1996年有学者报道(Chambers(18)等)酶消化法纯度为70%。可见一种快速、高效、高纯度的酶消化法培养膀胱平滑肌的方法显得尤为重要。 本实验研究两只兔所有标本均获成功。倒置显微镜观察平滑肌细胞24小时均可见膀胱平滑











