相关产品推荐更多 >
万千商家帮你免费找货
0 人在求购买到急需产品
- 详细信息
- 文献和实验
- 技术资料
- 免疫原:
Recombinant human ODC-1 protein
- 亚型:
IgG1
- 形态:
Liquid
- 保存条件:
Store as concentrated solution. Centrifuge briefly prior to opening vial. For short-term storage (1-2 weeks), store at 4ºC. For long-term storage, aliquot and store at -20ºC or below. Avoid multiple freeze-thaw cycles.
- 克隆性:
Monoclonal
- 标记物:
Unconjugated
- 适应物种:
Human, Rat
- 保质期:
12 months from the shipping date of the product.
- 抗原来源:
Human
- 目录编号:
GTX34920
- 级别:
Primary Antibodies
- 库存:
Available
- 供应商:
GeneTex
- 宿主:
Mouse
- 应用范围:
WB, ICC/IF, IHC-P, FACS
- 浓度:
0.2 mg/ml (Please refer to the vial label for the specific concentration.)
- 靶点:
ODC
- 抗体英文名:
ODC antibody [SPM565]
- 抗体名:
ODC 抗体 [SPM565]
- 规格:
100 μg
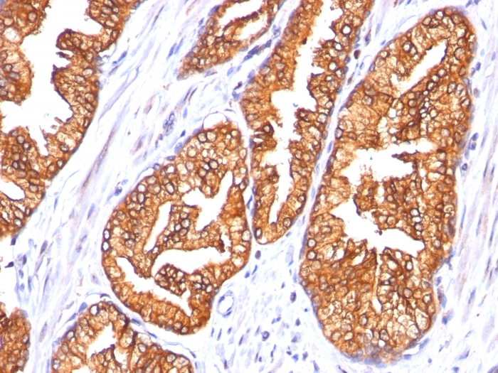
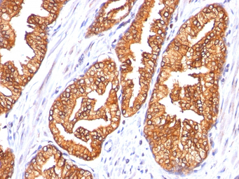
IHC-P analysis of human prostate carcinoma tissue using GTX34920 ODC antibody [SPM565].
风险提示:丁香通仅作为第三方平台,为商家信息发布提供平台空间。用户咨询产品时请注意保护个人信息及财产安全,合理判断,谨慎选购商品,商家和用户对交易行为负责。对于医疗器械类产品,请先查证核实企业经营资质和医疗器械产品注册证情况。
文献和实验Phycoerythrin conjugation protocol
Phycoerythrin conjugation protocol David's method modified from references (2) and (3). I used this method to conjugate a mouse IgG2a monoclonal antibody (IB4). It works well. Reagents Ab Antibody
Infusion pump for cardiac perfusion (KDS100; KD Scientific) 565‐to‐615‐nm band‐pass filter or 650‐nm long‐pass filter
Endocrinol 173(3): 467-474. 6. Zheng, X., L. Ying, et al. (2011). "Role of sulfhydryl-dependent dimerization of soluble guanylyl cyclase in relaxation of porcine coronary artery to nitric oxide." Cardiovasc Res 90(3): 565-572. 7. Tsai, E. J
技术资料暂无技术资料 索取技术资料







![eIF2 alpha antibody [3H7]](https://img1.dxycdn.com/2022/0328/379/9063954227268500453-14.jpg!wh200)
![TET3 antibody [GT859]](https://img1.dxycdn.com/2022/0329/901/8605537481995020453-14.jpg!wh200)


