相关产品推荐更多 >
万千商家帮你免费找货
0 人在求购买到急需产品
- 详细信息
- 询价记录
- 文献和实验
- 技术资料
- 保质期:
15个月
- 英文名:
TIANamp Blood DNA Midi Kit
- 库存:
大量
- 保存条件:
所有组分置于室温 (15-30℃) 干燥条件
- 供应商:
TIANGEN
- 规格:
10次
本试剂盒为特别针对 0.5-3 ml 血液样本开发的 DNA 提取试剂盒,适用于各种抗凝剂( 柠檬酸钠、EDTA 等 )保存的全血和血凝块、白膜层等样本的 DNA 提取。采用可以特异性结合 DNA 的离心吸附柱和独特的缓冲液系统,提取血液中的基因组 DNA。离心吸附柱中采用的硅基质材料为本公司特有新型材料,高效、专一吸附 DNA,并可有效去除杂质蛋白及细胞中其他有机化合物。提取的基因组 DNA 片段大,纯度高,质量稳定可靠。使用本试剂盒回收的 DNA 可适用于各种常规操作,包括酶切、 PCR、文库构建、Southern 杂交等实验。
■ 简单快速:1 h 内即可获得超纯的基因组 DNA。
■ 超纯:所得 DNA 纯度高,可直接用于 PCR、酶切、杂交等分子生物学实验。
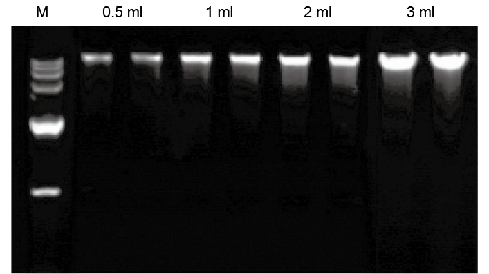
用DP332-01 试剂盒提取不同体积血液( 分别为0.5 ml,
1 ml,2 ml 和3 ml) 基因组, 500 μl 洗脱,3 μl 上样,1%
琼脂糖凝胶电泳, M: TIANGEN Marker D15000。
实验结果:DP332-01 在提取0.5-3 ml 血液时表现出很好
的线性关系。
注意事项
若提取血凝块样本,请自备血凝块液化柱CX2(目录号:RK166)。风险提示:丁香通仅作为第三方平台,为商家信息发布提供平台空间。用户咨询产品时请注意保护个人信息及财产安全,合理判断,谨慎选购商品,商家和用户对交易行为负责。对于医疗器械类产品,请先查证核实企业经营资质和医疗器械产品注册证情况。
- 作者
- 内容
- 询问日期
文献和实验[1] Gao G, Gao D, Zhao X, et al. Genome-wide association study-based identification of SNPs and haplotypes associated with goose reproductive performance and egg quality[J]. Frontiers in Genetics, 2021, 12: 602583.
[2] Gao G, Zhang H, Ni J, et al. Insights into genetic diversity and phenotypic variations in domestic geese through comprehensive population and pan-genome analysis[J]. Journal of Animal Science and Biotechnology, 2023, 14(1): 150.
[3] Yang G, Xie S, Feng N, et al. Spectrum of rhodopsin gene mutations in Chinese patients with retinitis pigmentosa[J]. Molecular Vision, 2014, 20: 1132.
[4] Chen Z, Li R, Wang Y, et al. Features of myocardial injury detected by cardiac magnetic resonance in a patient with desmin‐related restrictive cardiomyopathy[J]. ESC Heart Failure, 2021, 8(6): 5560-5564.
血液基因组 DNA 提取试剂盒操作指南(DP349) ——中量全血操作流程(1-5 ml血样)
以下操作按照天根产品 DP349 血液基因组 DNA 提取试剂盒的说明书进行,所有反应现象仅适用于该产品及本文所标明的样本量。如使用其它操作流程或产品,样本量不同可能现象与本文有所差异。实验准备:1. 抗凝全血(本实验以5 ml人的抗凝全血为例 )2. 移液器及配套无菌枪头(2.5 μl,10 μl ,200 μl ,1ml),15 ml离心管3. 无水乙醇,70%乙醇,干净的吸水纸4. 涡旋振荡器,金属浴/水浴,台式离心机本文版权归天根生化科技(北京)有限公司所有,仅供个人学习使用,请勿转载
微量样品基因组 DNA 提取试剂盒操作指南(DP316)——少量血液
实验准备:1. 100 μl以内抗凝全血(本实验以血清为例)2. 无水乙醇3. 移液器及配套无菌枪头(10 μl, 200 μl ,1ml),1.5 ml 离心管4. 涡旋振荡器,金属浴/水浴,台式离心机实验准备-试剂盒准备:使用前先在漂洗液 PW 和 GD 中加入无水乙醇,加入体积请参照瓶上的标签。Carrier RNA储存液的配制:第一次使用 Carrier RNA 时,请将 Carrier RNA(310 µg)溶解在310 µl RNase-Free ddH2O中,将溶液分装储存
血液基因组 DNA提取试剂盒操作指南(DP349) ——中量全血操作流程(1-10 ml血样)
以下操作按照天根产品 DP349 血液基因组 DNA 提取试剂盒的说明书进行,所有反应现象仅适用于该产品及本文所标明的样本量。如使用其它操作流程或产品,样本量不同可能现象与本文有所差异。实验准备:1. 抗凝或新鲜全血(本实验以10 ml人的新鲜全血(a)/抗凝血(b)分别为例 )2. 移液器及配套无菌枪头(2.5 μl,10 μl ,200 μl ,1ml),15 ml离心管3. 无水乙醇,70%乙醇,干净的吸水纸4. 涡旋振荡器,金属浴/水浴,台式离心机本文版权归天根生化科技(北京)有限













