万千商家帮你免费找货
0 人在求购买到急需产品
- 详细信息
- 文献和实验
- 技术资料
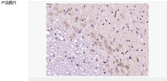
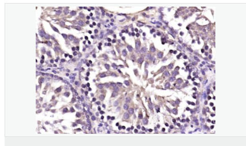
- 适应物种:
Human,Mouse,Rat,Chicken,Pig,Cow,Horse,Rabbit,Sheep,
- 应用范围:
IHC-P,
- 抗体英文名:
BZW1
- 规格:
100ul
| 英文名称 | BZW1 |
| 中文名称 | 碱性亮氨酸拉链蛋白BZW1抗体 |
| 别 名 | Basic leucine zipper and W2 domain containing protein 1; Basic leucine zipper and W2 domain-containing protein 1; basic leucine-zipper protein BZAP45; BZAP45; bzw1; BZW1_HUMAN; KIAA0005; Nbla10236; Protein Orf; putative protein product of Nbla10236. |
| 研究领域 | 转录调节因子 表观遗传学 |
| 抗体来源 | Rabbit |
| 克隆类型 | Polyclonal |
| 交叉反应 | Rat, (predicted: Human, Mouse, Chicken, Pig, Cow, Horse, Rabbit, Sheep, ) |
| 产品应用 | WB=1:500-2000 ELISA=1:5000-10000 IHC-P=1:100-500 IHC-F=1:100-500 ICC=1:100-500 IF=1:100-500 (石蜡切片需做抗原修复) not yet tested in other applications. optimal dilutions/concentrations should be determined by the end user. |
| 分 子 量 | 48kDa |
| 细胞定位 | 细胞浆 |
| 性 状 | Liquid |
| 浓 度 | 1mg/ml |
| 免 疫 原 | KLH conjugated synthetic peptide derived from human BZW1:11-120/419 |
| 亚 型 | IgG |
| 纯化方法 | affinity purified by Protein A |
| 储 存 液 | 0.01M TBS(pH7.4) with 1% BSA, 0.03% Proclin300 and 50% Glycerol. |
| 保存条件 | Shipped at 4℃. Store at -20 °C for one year. Avoid repeated freeze/thaw cycles. |
| PubMed | PubMed |
| 产品介绍 | Enhances histone H4 gene transcription but does not seem to bind DNA directly. Function: Enhances histone H4 gene transcription but does not seemto bind DNA directly. Similarity: Belongs to the BZW family. Contains 1 W2 domain. SWISS: Q7L1Q6 Gene ID: 9689 Database links: Entrez Gene: 9689 Human Entrez Gene: 66882 Mouse SwissProt: Q7L1Q6 Human SwissProt: Q9CQC6 Mouse Unigene: 355983 Human Unigene: 21848 Mouse Important Note: This product as supplied is intended for research use only, not for use in human, therapeutic or diagnostic applications. |
风险提示:丁香通仅作为第三方平台,为商家信息发布提供平台空间。用户咨询产品时请注意保护个人信息及财产安全,合理判断,谨慎选购商品,商家和用户对交易行为负责。对于医疗器械类产品,请先查证核实企业经营资质和医疗器械产品注册证情况。
文献和实验碱性亮氨酸拉链 (bZIP) 碱性亮氨酸 拉链(basicleucinezipper,bZIP):该结构的特点是蛋白质分子的肽链上每隔6个氨基酸就有1个亮氨酸残基,结果就导致这些亮氨酸残基都在。螺旋的同一个方向出现。两个相同结构的两排亮氨酸残基就能以疏水键结合成二聚体,该二聚体的另一端的肽段富含碱性氨基酸残基,借其正电荷与DNA双螺旋链上带负电荷的磷酸基团结合。若不形成二聚体则对DNA的亲和结合力明显降低。在肝脏、小肠上皮、脂肪细胞和某些脑细胞中有称为C/
刚性结构的15肽序列(Gly4Ser)3。 在单链抗体的构建中,其C末端可引入His尾、c-yc尾和脂类标签等,以有利于表达产物的检测和纯化。引入亮氨酸拉链、半胱氨酸以及a螺旋等结构,可用于构建双价单链抗体。单链抗体基因与蛋白A、毒素及其他蛋白基因的连接,可构建成具有新功能的杂合抗体基因。用于制备供免疫分析、影像诊断及治疗用的基因工程抗体制剂。 单链抗体的构建可以分为二部分:①抗体分子VH和VL基因的扩增、克隆和测序;②将经过测序验证的VH和VL基因插入单链抗体表达载体(见
亮氨酸拉链(leucine zipper)是由伸展的氨基酸组成,每7个氨基酸中的第7个氨基酸是亮氨酸,亮氨酸是疏水性氨基酸,排列在。螺旋的一侧,所有带电荷的氨基酸残基排在另一侧。当2个蛋白质分子平行排列时,亮氨酸之间相互作用形成二聚体,形成“拉链”。在“拉链”式的蛋白质分子中,亮氨酸以外带电荷的氨基酸形式同DNA结合。 原癌基因c—fos 的蛋白产物是磷酸化蛋白,有一个亮氨酸“拉链”区,却不能形成同源二聚体。可是,它可以同c-jun的蛋白产物中的“拉链”区形成异源二聚体。c—fos
技术资料暂无技术资料 索取技术资料






