万千商家帮你免费找货
0 人在求购买到急需产品
- 详细信息
- 文献和实验
- 技术资料
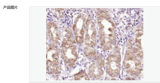
- 应用范围:
IHC-P,
- 抗体英文名:
ADAM28
- 规格:
100ul
| 英文名称 | ADAM28 |
| 中文名称 | 去整合素样金属蛋白酶28抗体 |
| 别 名 | A disintegrin and metalloproteinase domain 28; ADAM28; ADAM 28; ADAM-28; MDC L; Metalloproteinase like disintegrin like and cysteine rich protein L; eMDCII; MDC-Ls; TECADAM; ADA28_HUMAN. |
| 研究领域 | 肿瘤 细胞生物 免疫学 信号转导 |
| 抗体来源 | Rabbit |
| 克隆类型 | Polyclonal |
| 交叉反应 | Human, |
| 产品应用 | IHC-P=1:100-500 (石蜡切片需做抗原修复) not yet tested in other applications. optimal dilutions/concentrations should be determined by the end user. |
| 分 子 量 | 87kDa |
| 细胞定位 | 细胞膜 分泌型蛋白 |
| 性 状 | Liquid |
| 浓 度 | 1mg/ml |
| 免 疫 原 | KLH conjugated synthetic peptide derived from human ADAM28:521-620/775 <Extracellular> |
| 亚 型 | IgG |
| 纯化方法 | affinity purified by Protein A |
| 储 存 液 | 0.01M TBS(pH7.4) with 1% BSA, 0.03% Proclin300 and 50% Glycerol. |
| 保存条件 | Shipped at 4℃. Store at -20 °C for one year. Avoid repeated freeze/thaw cycles. |
| PubMed | PubMed |
| 产品介绍 | ADAM28 was first described in lymphocytes, also in Thymic Endothelial Cells (TECADAM), as well as in the epididymus. Later works describe two forms of ADAM28: ADAM28-S and ADAM28-L (short and long forms). The short form is a soluble, alternatively spliced form lacking the transmembrane and cytoplasmic domains. Message levels of the short form were found to be much lower than the long form in the tissues studied, but these may be tissue-specific differences. In humans, ADAM28 is reported in lymphocytes by some authors and to be absent from mature lymphocytes by others. The thyroid, lung, trachea, esophagus, and stomach have been shown to express human ADAM28 message. Knockout mice lacking B cells and T cells express ADAM28 message in the thyroid, lung, trachea, esophagus, and stomach. A member of the metalloproteinase family containing disintegrin-like domains (ADAMs) the functions of ADAM28 are still poorly understood. ADAM28 contains the canonical HExxHxxxxxH zinc metalloproteinase motif, and has been shown to be proteolytically active. Other ADAMs family members (ADAM10, ADAM17) have been more thoroughly studied and are known to play key roles in inflammation, growth factor maturation and release, and a wide range of other functions. The full length ADAM28 (ADAM28 Long) sequence codes for a 775 amino acid protein with a predicted mass is 87.2 kDa, and a pI of 6.50. The soluble ADAM28 (ADAM-28 Short) is a 540 amino acid sequence, with a predicted mass of 61.3 kDa, and a pI of 6.58. Other forms of ADAM28 have been reported with slightly different carboxyterminal regions. ADAM28 may play a role in the adhesive and proteolytic events that occur during lymphocyte emigration or may function in ectodomain shedding of lymphocyte surface target proteins, such as FASL and CD40L. It may be involved in sperm maturation. There are 2 isoforms of ADAM28: one short secreted and one long membrane bound. Subcellular Location: Isoform 1: Cell membrane; Single-pass type I membrane protein. Isoform 2: Secreted. Tissue Specificity: Expressed predominantly in secondary lymphoid tissues, such as lymph node, spleen, small intestine, stomach, colon, appendix and trachea. The lymphocyte population is responsible for expression of this protein in these tissues. Isoform 2 is expressed preferentially in spleen. Similarity: Contains 1 disintegrin domain. Contains 1 EGF-like domain. Contains 1 peptidase M12B domain. SWISS: Q9UKQ2 Gene ID: 10863 Database links: Entrez Gene: 10863 Human Omim: 606188 Human SwissProt: Q9UKQ2 Human Important Note: This product as supplied is intended for research use only, not for use in human, therapeutic or diagnostic applications. |

风险提示:丁香通仅作为第三方平台,为商家信息发布提供平台空间。用户咨询产品时请注意保护个人信息及财产安全,合理判断,谨慎选购商品,商家和用户对交易行为负责。对于医疗器械类产品,请先查证核实企业经营资质和医疗器械产品注册证情况。
文献和实验(交流)SELEX技术(Systematic Evolution of Ligands by Exponential Enrichment)
请规范发贴,否则删贴,谢谢合作。 抗体是机体免疫系统中最重要的效应分子,具有结合抗原、结合补体、中和毒素、介导细胞毒、促进吞噬和通过胎盘等功能,发挥抗感染、抗肿瘤、免疫调节与监视等作用。抗体的研究始于18世纪末,即1890年德国学者Von Behring证明免疫动物血清中存在抗毒素(抗体)。随后又相继发现了凝集素、沉淀素、溶血素、溶菌素和补体结合素等。 随着DNA结合蛋白研究的深入,受组合化学、抗体库和随机噬菌体肽库技术的启发,Gold等于1990年构建了随机核酸库并从中筛
颜宁团队 2021 首秀+ 2020 年度文章赏析,看大牛如何玩转结构生物学!
。在人类中,铁转运蛋白的突变会导致铁转运蛋白疾病,通常与巨噬细胞中铁的积累和缺铁性贫血的症状有关。该研究解析了来自灵长类眼镜猴(TsFpn)的铁转运蛋白在存在和不存在铁调素的情况下的结构。TsFpn 由两个类似于蚌壳的域组成,该结构定义了两个金属离子结合位点,每个结构域有一个。两种结构都是朝外的构象,肝素在两个域之间结合并到达其中一个离子结合位点。这些结果奠定了铁运素金属离子结合、转运和抑制的结构基础,为铁运素疾病的药理学干预中的靶向研究提供了蓝图。 图片来自:Nature
microspheres, MMS) 是80年代初,用高分子材料和金属离子为原料,聚合而成的一种以金属离子为核心,外层均匀地包裹高分子聚合体的固相微粒。在液相中,受外加磁场的吸引作用,MMS可快速沉降而自行分离,无需进行离心沉淀。因此,将MMS应用于免疫检测,可使操作过程大为简化。经过特异性 抗体 包被制成免疫MMS,与检样中的抗原结合形成免疫MMS-靶分子(或靶细胞)复合体,通过外加磁场的作用即可与其他成分分离开来。再以适当方式使复合体解离,在磁场吸引下除去游离的免疫MMS,即可获得纯化的靶分子或细胞。
技术资料暂无技术资料 索取技术资料







