万千商家帮你免费找货
0 人在求购买到急需产品
- 详细信息
- 文献和实验
- 技术资料
- 适应物种:
Human,Mouse,Rat,Dog,Pig,Cow,Horse,Rabbit,Sheep,Rhesus monkey, Gorilla, Catfish, Orangutan, Platypus
- 应用范围:
IHC-P,
- 抗体英文名:
MED18
- 规格:
100ul
| 英文名称 | MED18 |
| 中文名称 | MED18蛋白抗体 |
| 别 名 | FLJ20045; hMED 18; hMED18; Human Mediator of RNA Polymerase II Transcription; MED 18; med18; MED18_HUMAN; Mediator complex subunit 18; Mediator of RNA polymerase II transcription subunit 18; Mediator of RNA polymerase II transcription subunit 18 homolog; OTTHUMP00000003645; p28b; TRAP/mediator complex subunit p28b. |
| 研究领域 | 转录调节因子 结合蛋白 表观遗传学 |
| 抗体来源 | Rabbit |
| 克隆类型 | Polyclonal |
| 交叉反应 | Human, Mouse, Rat, (predicted: Dog, Pig, Cow, Horse, Rabbit, Sheep, Rhesus monkey, Gorilla, Catfish, Orangutan, Platypus) |
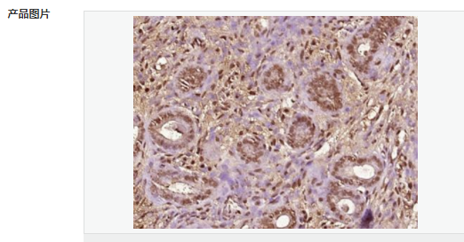
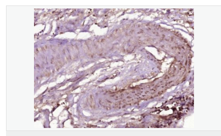
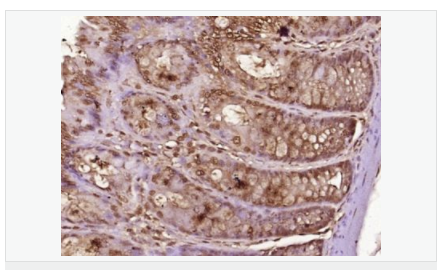
| 产品应用 | IHC-P=1:100-500 IHC-F=1:100-500 ICC=1:100-500 IF=1:100-500 (石蜡切片需做抗原修复) not yet tested in other applications. optimal dilutions/concentrations should be determined by the end user. |
| 分 子 量 | 24kDa |
| 细胞定位 | 细胞核 |
| 性 状 | Liquid |
| 浓 度 | 1mg/ml |
| 免 疫 原 | KLH conjugated synthetic peptide derived from human MED18:31-130/208 |
| 亚 型 | IgG |
| 纯化方法 | affinity purified by Protein A |
| 储 存 液 | 0.01M TBS(pH7.4) with 1% BSA, 0.03% Proclin300 and 50% Glycerol. |
| 保存条件 | Shipped at 4℃. Store at -20 °C for one year. Avoid repeated freeze/thaw cycles. |
| PubMed | PubMed |
| 产品介绍 | MED18 is a component of the Mediator complex, which is a coactivator for DNA-binding factors that activate transcription via RNA polymerase II (Sato et al., 2003 [PubMed 12584197]).[supplied by OMIM, Oct 2008] Function: Component of the Mediator complex, a coactivator involved in the regulated transcription of nearly all RNA polymerase II-dependent genes. Mediator functions as a bridge to convey information from gene-specific regulatory proteins to the basal RNA polymerase II transcription machinery. Mediator is recruited to promoters by direct interactions with regulatory proteins and serves as a scaffold for the assembly of a functional preinitiation complex with RNA polymerase II and the general transcription factors. Subcellular Location: Nucleus. Similarity: Belongs to the Mediator complex subunit 18 family. SWISS: Q9BUE0 Gene ID: 54797 Database links: Entrez Gene: 54797 Human Entrez Gene: 67219 Mouse Entrez Gene: 393306 Zebrafish Omim: 612384 Human SwissProt: Q9BUE0 Human SwissProt: Q9CZ82 Mouse Unigene: 479911 Human Unigene: 45929 Mouse Unigene: 19506 Zebrafish Important Note: This product as supplied is intended for research use only, not for use in human, therapeutic or diagnostic applications. |



风险提示:丁香通仅作为第三方平台,为商家信息发布提供平台空间。用户咨询产品时请注意保护个人信息及财产安全,合理判断,谨慎选购商品,商家和用户对交易行为负责。对于医疗器械类产品,请先查证核实企业经营资质和医疗器械产品注册证情况。
文献和实验人 抗麦胶蛋白抗体 ( AGA) 酶联免疫分析 试剂盒使用说明书 本试剂仅供研究使用 目的:本试剂盒用于测定人血清,血浆及相关液体样本中 抗麦胶蛋白抗体( AGA) 的 含量。 实验原理: 本试剂盒应用双抗原夹心法测定标本中人 抗麦胶蛋白抗体( AGA) 的 水平。用纯化的 抗原 包被微孔板,制成固相抗原,往包被抗原的微孔中依次加入 抗麦胶蛋白抗体( AGA) ,再与 HRP 标记的 抗原 结合
sunchangzheng 我打算用此抗体通过流式检测细胞表面P糖蛋白的表达量差异。 说明书中说是多抗,这种抗体有单抗的吧? 用于FCM: 1:20-100,这是说用于流式的稀释倍数,是不是稀释倍数越小越好呢? 同型对照抗体是不是必须要做的?如何选择阴型同型对照抗体呢! 我用的抗体是FITC标记的P-糖蛋白抗体 谢谢交流与帮助! freecell 抗体的稀释倍数是需要优化
载脂蛋白抗体的制备 抗原免疫动物产生的抗体是血清γ-球蛋白的一部分。抗体的理化性质及结构与γ-球蛋白相近似。γ-球蛋白是一组结构相似,但又有差异的蛋白质,通称为免疫球蛋白(immunoglobulin,Ig),按其结构和免疫化学性质的差异,又可分为五类,分别称为IgG、IgA、IgM、IgD和IgE。载脂蛋白抗体以IgG最为稳定。因载脂蛋白的体液中含量不同以及分离纯化的难易的差别,可分别采用多克隆抗体制备法和单克隆抗体制备法。 1.多克隆抗体的制备 (1)抗原
技术资料暂无技术资料 索取技术资料





