万千商家帮你免费找货
0 人在求购买到急需产品
- 详细信息
- 文献和实验
- 技术资料
- 规格:
只
小鼠非酒精性脂肪肝模型
一、服务介绍
非酒精性脂肪性肝病(nonalcoholic fatty liver disease,NAFLD)是一种无过量饮酒史,由各种原因引起的肝细胞内脂肪堆积,以肝细胞脂肪变性和脂质蓄积为主要特征的临床病理综合征。其病理变化随病程的进展而表现有单纯性脂肪肝、高脂血症、高血压,被认为是代谢综合征在肝脏的一种病理表现。采用高脂饲料喂养动物是最常用的构建非酒精性脂肪肝的方法。
二、实验结果展示
1、动物造模及取材
60%高脂饲养16周
2、代谢特征评估-1
16次体重
3、代谢特征评估-2
血脂2项
4、代谢特征评估-3
肝功能2项
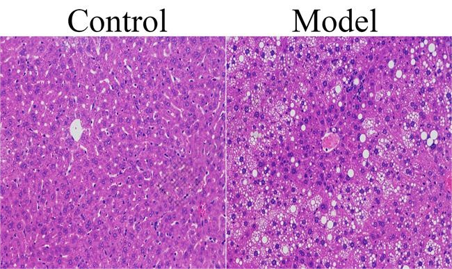
5、组织病理学分析-1
肝脏HE
6、组织病理学分析-2
肝脏油红O
7、小鼠非酒精性脂肪肝表型-1
肝脏脏器指数+肝脏大体照
8、组织病理学分析-2
肝脏masson
9、组织病理学分析-3
肝脏天狼猩红
10、组织病理学分析-4
肝脏IHC(α-SMA)
11、组织病理学分析-5
肝脏IF(F4/80)
三、实验流程
动物订购→高脂饲料喂养24w→监测体重血糖数据→模型鉴定→拍照取材
风险提示:丁香通仅作为第三方平台,为商家信息发布提供平台空间。用户咨询产品时请注意保护个人信息及财产安全,合理判断,谨慎选购商品,商家和用户对交易行为负责。对于医疗器械类产品,请先查证核实企业经营资质和医疗器械产品注册证情况。
文献和实验[1]Zhu H, Yu J, Luo J, Cai Z, Li L, Zheng Q. Development of a cross-species model to predict clinical outcomes based on efficacy in mouse models of non-alcoholic fatty liver disease. Clin Res Hepatol Gastroenterol. 2025 Nov;49(9):102702. doi: 10.1016/j.clinre.2025.102702. Epub 2025 Sep 29. PMID: 41033600.
脑梗是研究缺血性脑中风的经典动物模型。沿颈部正中开口,钝性分离皮下组织,游离出颈总动脉1.5cm,穿线备用,向远心端找到颈外侧动脉,游离涌现结扎,提起颈总备用线,在近心端,远心端用动脉夹夹住,在近心端动脉夹处,用5mL注射器针头刺破血管,稍微提起动脉夹,用镊子夹住线栓,从小口插入动脉后,去掉远心端动脉夹,然后用镊子夹住线栓,线栓插入到颈内距分叉处1.8-2.0cm,用备用线将颈总和线栓一起结扎住,最好是结扎双道,记录线栓插入时间,在将动脉夹另一边近心端颈总结扎住,去掉动脉夹,注意缝合时不要
心肌梗死是发达国家居民的主要致死因素之一,动物深度麻醉后,胸腔正中靠左0'5㎜剪开皮肤长约1.5CM,钝性分离肌肉,剪断第3 4根肋骨,止血钳关闭胸腔防止暴露时间太长,拿开止血钳后开口器打开胸腔暴露心脏,8-0带针缝合线结扎冠状动脉前降支,结扎后看见心尖变白,关闭胸腔,缝合,造模成功后前三天注射抗生素
从小鼠下肢膝盖到大腿内侧做一个大约1厘米长的切口,暴露肌肉。横向切开皮下脂肪组织,暴露神经和动静脉血管。 分离股动脉后,在靠近膝盖的远端位置将股动脉与股静脉分开。用8-0缝合线穿过远端股动脉下方,在股动脉近端下方穿一根8-0缝合线,用双打结阻塞近端股动脉,并结扎,最后用5-0缝合线关闭切口。
技术资料暂无技术资料 索取技术资料










