相关产品推荐更多 >
万千商家帮你免费找货
0 人在求购买到急需产品
- 详细信息
- 文献和实验
- 技术资料
- 抗体名:
Phospho-EGFR (Tyr1173) Rabbit mAb抗体
- 抗体英文名:
Phospho-EGFR (Tyr1173) Rabbit mAb
- 靶点:
EGFR
- 浓度:
0.3 mg/ml
- 应用范围:
ICC, IF, IHC-Fr, IHC-P, IP, WB
- 适应物种:
Human
- 保质期:
6-12个月
- 抗原来源:
详询
- 目录编号:
orb1564009
- 级别:
科研级
- 库存:
88
- 供应商:
biorbyt
- 标记物:
Unconjugated
- 克隆性:
Monoclonal
- 保存条件:
参考说明书
- 形态:
Liquid
- 亚型:
IgG
- 免疫原:
A synthetic phosphopeptide corresponding to residues surrounding Tyr1173 of human EGFR
- 规格:
20 ul
别名:EGFR; ERBB; ERBB1; HER1; Epidermal growth factor receptor; Proto-oncogene c-ErbB-1; Receptor tyrosine-protein kinase erbB-1
免疫原:A synthetic phosphopeptide corresponding to residues surrounding Tyr1173 of human EGFR
克隆性:R03-5C8
分子量:Calculated MW: 134 kDa; Observed MW: 175 kDa
应用稀释比例:WB: 1/500-1/1000 IHC: 1/50-1/100 IF: 1/50-1/200 IP: 1/20
防腐剂:50mM Tris-Glycine(pH 7.4), 0.15M NaCl, 40%Glycerol, 0.01% sodium azide and 0.05% rAlbumin.
纯化:Affinity Purified
保存说明:Maintain refrigerated at 2-8°C for up to 2 weeks. For long term storage store at -20°C in small aliquots to prevent freeze-thaw cycles.
UniProt ID:P00533
Note:For research use only.



风险提示:丁香通仅作为第三方平台,为商家信息发布提供平台空间。用户咨询产品时请注意保护个人信息及财产安全,合理判断,谨慎选购商品,商家和用户对交易行为负责。对于医疗器械类产品,请先查证核实企业经营资质和医疗器械产品注册证情况。
文献和实验【求助】干扰一个基因表达后,EGFR的表达及tyr1173磷酸化都降低,如何分析
zxlbaby 干扰一个基因表达后,EGFR的表达及tyr1173磷酸化都降低,如何分析?能说此基因具有调节EGFR的表达和磷酸化作用吗?还是磷酸化减少是因为表达减少?郁闷中。求助。 amygdala 用WB检测以后最好用条带扫描软件做一个量化统计分析,看看总EGFR和Tyr1173降低的比例是否一致,这样就可以知道是哪种情况了。 lilili1979 同意楼上的,可以考虑用磷酸化的/总蛋白
Using Phospho‐Motif Antibodies to Determine Kinase Substrates
the phosphorylation site; therefore, substrate?directed, phosphorylation?state?sensitive, motif?specific (?phospho?motif?) antibodies represent powerful tools to identify novel kinase substrates and to investigate mechanisms of substrate phosphorylation
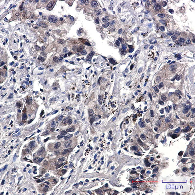
过程中,一抗应在封闭缓冲液 (TBS/0.3%Triton. X–100/5% NGS) 中稀释。抗体:Phospho–Akt (Ser473) (D9E) XP. Rabbit mAb #4060、Phospho–EGFReceptor (Tyr1173) (53A5) Rabbit mAb #4407样本:石蜡包埋人类乳腺肿瘤(上图)和 HCC827 异种移植物(下图)抗体稀释:SignalStain. 抗体稀释液(左)或 TBST/5%NGS(右)检测—检测系统传统的 IHC 检测
技术资料暂无技术资料 索取技术资料










