相关产品推荐更多 >
万千商家帮你免费找货
0 人在求购买到急需产品
- 详细信息
- 文献和实验
- 技术资料
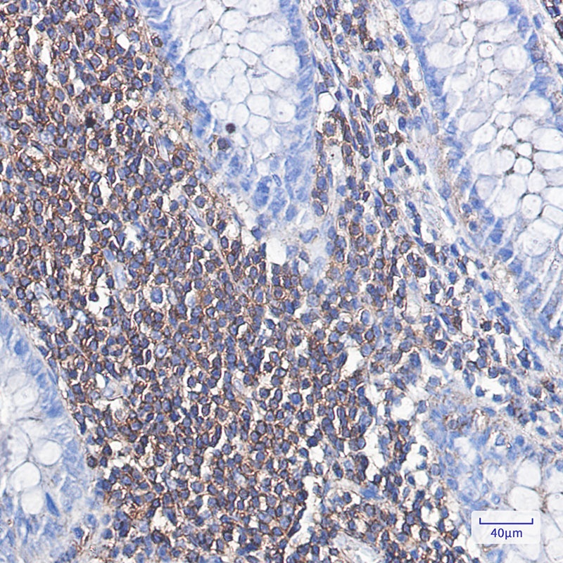
- 抗体名:
alpha Skeletal Muscle Actin Rabbit mAb抗体
- 抗体英文名:
alpha Skeletal Muscle Actin Rabbit mAb
- 靶点:
ACTA1
- 浓度:
0.3 mg/ml
- 应用范围:
IHC-P, IP, WB
- 宿主:
Rabbit
- 适应物种:
Human
- 保质期:
6-12个月
- 抗原来源:
详询
- 目录编号:
orb1565357
- 级别:
科研级
- 库存:
88
- 供应商:
biorbyt
- 标记物:
Unconjugated
- 克隆性:
Monoclonal
- 保存条件:
参考说明书
- 形态:
Liquid
- 亚型:
IgG
- 免疫原:
A synthetic peptide of human Actin
- 规格:
20 ul
别名:ACTA1; ACTA; Actin; alpha skeletal muscle; Alpha-actin-1
免疫原:A synthetic peptide of human Actin
克隆性:R07-8G7
分子量:Calculated MW: 42 kDa; Observed MW: 42 kDa
应用稀释比例:WB: 1/500-1/1000 IHC: 1/50-1/100 IP: 1/20
防腐剂:50mM Tris-Glycine(pH 7.4), 0.15M NaCl, 40% Glycerol, 0.01% Sodium azide and 0.05% rAlbumin
纯化:Affinity Purified
保存说明:Maintain refrigerated at 2-8°C for up to 2 weeks. For long term storage store at -20°C in small aliquots to prevent freeze-thaw cycles.
UniProt ID:P68133
Note:For research use only.



风险提示:丁香通仅作为第三方平台,为商家信息发布提供平台空间。用户咨询产品时请注意保护个人信息及财产安全,合理判断,谨慎选购商品,商家和用户对交易行为负责。对于医疗器械类产品,请先查证核实企业经营资质和医疗器械产品注册证情况。
文献和实验Preparation of Conventional Actin from Skeletal Muscle
Modified from Spudich & Watt, 1971, JBC 246:4866. 1. Mix 20 ml buffer G with each gm of muscle acetone powder. Extract with stirring on ice for 30 min. Use a big stir bar or overhead stirrer. Buffer G: 0.2 mM ATP, 0.5 mM DTT, 0.2 mM
Protein purification: skeletal muscle myosin
consists of an alpha-helical coiled-coil rod of 150 nm in length. The most important mechano-enzyme for muscle contraction. Material Source: rabbit skeletal muscle
Material 1. Source: rabbit skeletal muscle 2. Equipment: • mincer • glass-Teflon-homogenizer with pestle • sephacryl S-300 column (5 x 100 cm) • electrophoretic gels • centrifuge • sterile cheesecloth
技术资料暂无技术资料 索取技术资料











