相关产品推荐更多 >

VAMP8 Antibody (N-term) 抗体,orb1788191,Biorbyt
¥7384
IL10 Antibody抗体,orb1258241,biorbyt
¥10400
Histone H3 (Nuclear Loading Control) Antibody (BF405) 抗体,orb1593086,Biorbyt
¥4796
CHRNG Antibody - N-terminal region : Biotin 抗体,orb2081059,Biorbyt
¥8216
TRIM3 Antibody - N-terminal region : HRP 抗体,orb2134527,Biorbyt
¥7345
万千商家帮你免费找货
0 人在求购买到急需产品
- 详细信息
- 技术资料
- 抗体名:
CCR7 Recombinant Rabbit Monoclonal Antibody抗体
- 抗体英文名:
CCR7 Recombinant Rabbit Monoclonal Antibody
- 靶点:
CCR7
- 浓度:
1mg/ml
- 应用范围:
FC, ICC, IF, IHC-Fr, IHC-P, WB
- 宿主:
Rabbit
- 适应物种:
Human, Mouse, Rat
- 保质期:
6-12个月
- 抗原来源:
详询
- 目录编号:
orb1499378
- 级别:
科研级
- 库存:
88
- 供应商:
biorbyt
- 标记物:
Unconjugated
- 克隆性:
Recombinant
- 保存条件:
参考说明书
- 形态:
Liquid
- 亚型:
IgG
- 免疫原:
A synthesized peptide derived from human CCR7 (1-62aa)
- 规格:
25 ul
产品描述:CCR7 Recombinant Rabbit Monoclonal Antibody
别名:CCR7_HUMAN; BLR 2; BLR2; C C chemokine receptor type 7; C C CKR 7; CC chemokine receptor 7; CC chemokine receptor type 7; CC CKR 7; CCCKR7; CCR 7; CD 197; CD197; CD197 antigen; CDW197; Chemokine C C motif receptor 7; Chemokine C C receptor 7; Chemokine receptor 7-like protein; EBI 1; EBI1; Ebi1h; EBV Induced G Protein Coupled Receptor 1; Epstein Barr virus induced G protein coupled receptor; Epstein Barr virus induced gene 1; EVI 1; EVI1; Lymphocyte Specific G Protein Coupled Peptide Receptor; MGC108519; MIP 3 beta receptor; MIP3 beta Receptor.
免疫原:A synthesized peptide derived from human CCR7 (1-62aa)
预测反应性:Mouse, Rat
克隆性:8C1
分子量:42 kDa
应用稀释比例:WB=1:500-2000, IHC-P=1:100-500, IHC-F=1:100-500, ICC/IF=1:50-200, IF=1:100-500, Flow-Cyt=1ug/Test
防腐剂:0.01M TBS (pH7.4) with 1% rAlbumin, 0.02% Proclin300 and 50% Glycerol.
纯化:Affinity purified by Protein A
保存说明:Maintain refrigerated at 2-8°C for up to 2 weeks. For long term storage store at -20°C in small aliquots to prevent freeze-thaw cycles.
UniProt ID:P32248
Note:For research use only.



别名:CCR7_HUMAN; BLR 2; BLR2; C C chemokine receptor type 7; C C CKR 7; CC chemokine receptor 7; CC chemokine receptor type 7; CC CKR 7; CCCKR7; CCR 7; CD 197; CD197; CD197 antigen; CDW197; Chemokine C C motif receptor 7; Chemokine C C receptor 7; Chemokine receptor 7-like protein; EBI 1; EBI1; Ebi1h; EBV Induced G Protein Coupled Receptor 1; Epstein Barr virus induced G protein coupled receptor; Epstein Barr virus induced gene 1; EVI 1; EVI1; Lymphocyte Specific G Protein Coupled Peptide Receptor; MGC108519; MIP 3 beta receptor; MIP3 beta Receptor.
免疫原:A synthesized peptide derived from human CCR7 (1-62aa)
预测反应性:Mouse, Rat
克隆性:8C1
分子量:42 kDa
应用稀释比例:WB=1:500-2000, IHC-P=1:100-500, IHC-F=1:100-500, ICC/IF=1:50-200, IF=1:100-500, Flow-Cyt=1ug/Test
防腐剂:0.01M TBS (pH7.4) with 1% rAlbumin, 0.02% Proclin300 and 50% Glycerol.
纯化:Affinity purified by Protein A
保存说明:Maintain refrigerated at 2-8°C for up to 2 weeks. For long term storage store at -20°C in small aliquots to prevent freeze-thaw cycles.
UniProt ID:P32248
Note:For research use only.

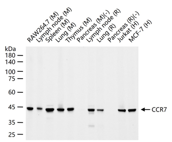
25 ug total protein per lane of various lysates probed with CCR7 monoclonal antibody, unconjugated (orb1499378) at 1:1000 dilution and 4°C overnight incubation. Followed by conjugated secondary antibody incubation at r.t. for 60 min.

Blank control (black line): Jurkat. Primary Antibody (green line): Mouse Anti-CCR7 antibody (orb1499378), Dilution: 1 ug/Test, Secondary Antibody (white blue line): Goat anti-Mouse IgG-AF488, Dilution: 0.5 ug/Test. Isotype control (orange line): Normal Rabbit IgG, Protocol, The cells were fixed with 4% PFA (10 min at room temperature) and then permeabilized with 90% ice-cold methanol for 20 min at -20°C, The cells were then incubated in 5% BSA to block non-specific protein-protein interactions for 30 min at room temperature. Cells stained with Primary Antibody for 30 min at room temperature. The secondary antibody used for 40 min at room temperature. Acquisition of 20000 events was performed.

ICC staining of CCR7 in Hela cells (green). Formalin fixed cells were permeabilized with 0.1% Triton X-100 in TBS for 10 minutes at room temperature and blocked with 1% Blocker BSA for 15 minutes at room temperature. Cells were probed with the primary antibody (orb1499378, 1/50) for 1 hour at room temperature, washed with PBS. Alexa Fluor®488 Goat anti-Rabbit IgG was used as the secondary antibody at 1/1000 dilution. The nuclear counter stain is DAPI (blue).
风险提示:丁香通仅作为第三方平台,为商家信息发布提供平台空间。用户咨询产品时请注意保护个人信息及财产安全,合理判断,谨慎选购商品,商家和用户对交易行为负责。对于医疗器械类产品,请先查证核实企业经营资质和医疗器械产品注册证情况。
技术资料暂无技术资料 索取技术资料
CCR7 Recombinant Rabbit Monoclonal Antibody抗体,orb1499378,biorbyt
¥2210





