相关产品推荐更多 >

Rabbit Anti-Mouse IgG (H&L) - Biotin 抗体,orb1786751,Biorbyt
¥803
TCCR Antibody抗体,orb1238839,biorbyt
¥3770
VDAC1 Antibody抗体,orb632900,biorbyt
¥2860
Anti-CDH1 / E-cadherin / CD324 Reference Antibody (Stem Centrx patent anti-Cadherin-1) 抗体,orb1818467,Biorbyt
¥7293
KCNJ18 Antibody (N-term) 抗体,orb1932752,Biorbyt
¥7293
万千商家帮你免费找货
0 人在求购买到急需产品
- 详细信息
- 技术资料
- 抗体名:
TIGIT Antibody [7E5]抗体
- 抗体英文名:
TIGIT Antibody [7E5]
- 靶点:
TIGIT
- 浓度:
1 mg/mL
- 应用范围:
ELISA, FC, ICC, IF, IHC-P
- 适应物种:
Human
- 保质期:
6-12个月
- 抗原来源:
详询
- 目录编号:
orb1240147
- 级别:
科研级
- 库存:
88
- 供应商:
biorbyt
- 标记物:
Unconjugated
- 克隆性:
Monoclonal
- 形态:
Liquid
- 亚型:
IgG2b
- 免疫原:
TIGIT antibody was raised against the extracellular domain of human TIGIT.
- 规格:
0.02 mg
产品描述:TIGIT Antibody [7E5]
别名:TIGIT Antibody: T-cell immunoreceptor with Ig and ITIM domains, VSIG9, VSTM3, WUCAM
免疫原:TIGIT antibody was raised against the extracellular domain of human TIGIT.
克隆性:[7E5]
分子量:Predicted: 26 kDa
应用注释:TIGIT antibody can be used for immunohistochemistry starting at 2 - 5 μg/mL. For immunofluorescence start at 20 μg/mL.Antibody validated: Immunohistochemistry in human samples; Immunocytochemistry in human samples; Immunofluorescence in human samples and Flow Cytometry in human samples. All other applications and species not yet tested.
防腐剂:TIGIT Antibody is supplied in PBS containing 0.02% sodium azide and 50% glycerol.
纯化:TIGIT Antibody is supplied as protein A purified IgG2b.
保存说明:Maintain refrigerated at 2-8°C for up to 2 weeks. For long term storage store at -20°C in small aliquots to prevent freeze-thaw cycles.
NCBI:NP_776160
UniProt ID:Q495A1
Note:For research use only.
![TIGIT Antibody [7E5]抗体,orb1240](https://img1.dxycdn.com/p/s14/2025/1204/154/4830464531373746991.gif)
![TIGIT Antibody [7E5]抗体,orb1240](https://img1.dxycdn.com/p/s14/2025/1204/984/6507172123373746991.gif)
![TIGIT Antibody [7E5]抗体,orb1240](https://img1.dxycdn.com/p/s14/2025/1204/398/4496078147373746991.gif)
![TIGIT Antibody [7E5]抗体,orb1240](https://img1.dxycdn.com/p/s14/2025/1204/315/4032673785673746991.gif)
![TIGIT Antibody [7E5]抗体,orb1240](https://img1.dxycdn.com/p/s14/2025/1204/905/8254987239273746991.gif)
![TIGIT Antibody [7E5]抗体,orb1240](https://img1.dxycdn.com/p/s14/2025/1204/255/4209824049273746991.jpg)
别名:TIGIT Antibody: T-cell immunoreceptor with Ig and ITIM domains, VSIG9, VSTM3, WUCAM
免疫原:TIGIT antibody was raised against the extracellular domain of human TIGIT.
克隆性:[7E5]
分子量:Predicted: 26 kDa
应用注释:TIGIT antibody can be used for immunohistochemistry starting at 2 - 5 μg/mL. For immunofluorescence start at 20 μg/mL.Antibody validated: Immunohistochemistry in human samples; Immunocytochemistry in human samples; Immunofluorescence in human samples and Flow Cytometry in human samples. All other applications and species not yet tested.
防腐剂:TIGIT Antibody is supplied in PBS containing 0.02% sodium azide and 50% glycerol.
纯化:TIGIT Antibody is supplied as protein A purified IgG2b.
保存说明:Maintain refrigerated at 2-8°C for up to 2 weeks. For long term storage store at -20°C in small aliquots to prevent freeze-thaw cycles.
NCBI:NP_776160
UniProt ID:Q495A1
Note:For research use only.
![TIGIT Antibody [7E5]抗体,orb1240](https://img1.dxycdn.com/p/s14/2025/1204/154/4830464531373746991.gif)
Immunocytochemistry of TIGIT in over expressing HEK293 cells using TIGIT antibody and control mouse IgG antibody (left corner box) at 1 μg/ml.
![TIGIT Antibody [7E5]抗体,orb1240](https://img1.dxycdn.com/p/s14/2025/1204/984/6507172123373746991.gif)
Immunofluorescence of TIGIT in over expressing HEK293 cells using TIGIT Antibody at 1 μg/ml. Green: TIGIT Antibody [7E5] (orb1240147) Blue: DAPI staining.
![TIGIT Antibody [7E5]抗体,orb1240](https://img1.dxycdn.com/p/s14/2025/1204/398/4496078147373746991.gif)
Immunofluorescence of TIGIT in human stomach carcinoma tissue using TIGIT Antibody at 5 μg/ml. Green: TIGIT Antibody [7E5] (orb1240147) Blue: DAPI staining
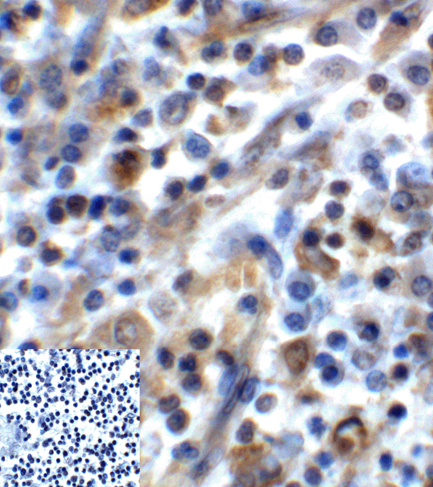
![TIGIT Antibody [7E5]抗体,orb1240](https://img1.dxycdn.com/p/s14/2025/1204/315/4032673785673746991.gif)
Immunohistochemistry of TIGIT in human stomach carcinoma tissue using TIGIT Antibody and control mouse IgG (corner box) at 2 μg/ml.
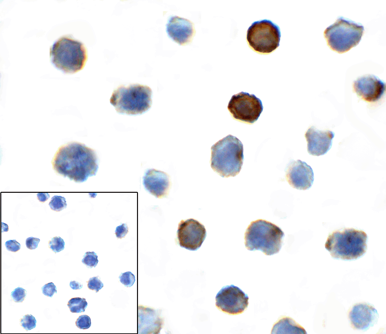
![TIGIT Antibody [7E5]抗体,orb1240](https://img1.dxycdn.com/p/s14/2025/1204/905/8254987239273746991.gif)
Flow cytometry analysis of TIGIT over expressing HEK293 cells using TIGIT antibody at 1 μg/ml. Blue: untransfected HEK293 cells. Yellow: TIGIT over expressing HEK293 cells.
![TIGIT Antibody [7E5]抗体,orb1240](https://img1.dxycdn.com/p/s14/2025/1204/255/4209824049273746991.jpg)
Titration curve analysis of TIGIT mAbs to detect recombinant TIGIT in ELISA with orb1240147, orb1240136, orb1240137, orb1240140, orb1240146 and orb1240115 antibodies at decreasing concentrations.
风险提示:丁香通仅作为第三方平台,为商家信息发布提供平台空间。用户咨询产品时请注意保护个人信息及财产安全,合理判断,谨慎选购商品,商家和用户对交易行为负责。对于医疗器械类产品,请先查证核实企业经营资质和医疗器械产品注册证情况。
技术资料暂无技术资料 索取技术资料
TIGIT Antibody [7E5]抗体,orb1240147,biorbyt
¥3770


![TIGIT Antibody [7E5]抗体,orb1240147,biorbyt](https://img1.dxycdn.com/p/s14/2025/1204/083/6393812890632146991.jpg)


