相关产品推荐更多 >
万千商家帮你免费找货
0 人在求购买到急需产品
- 详细信息
- 技术资料
- 抗体名:
TCCR Antibody抗体
- 抗体英文名:
TCCR Antibody
- 靶点:
IL27RA
- 浓度:
1 mg/ml
- 应用范围:
ELISA, IF, IHC-P, WB
- 适应物种:
Human
- 保质期:
6-12个月
- 抗原来源:
详询
- 目录编号:
orb1238839
- 级别:
科研级
- 库存:
88
- 供应商:
biorbyt
- 标记物:
Unconjugated
- 克隆性:
Polyclonal
- 形态:
Liquid
- 亚型:
IgG
- 免疫原:
TCCR antibody was raised against a synthetic peptide corresponding to amino acids near the amino terminus of human TCCR precursor.The immunogen is located within the first 50 amino acids of TCCR.
- 规格:
0.02 mg
产品描述:TCCR Antibody
别名:TCCR Antibody: CRL1, TCCR, WSX1, IL27R, IL-27RA, zcytor1, CRL1, UNQ296/PRO336, Interleukin-27 receptor subunit alpha, Cytokine receptor WSX-1, IL-27 receptor subunit alpha
免疫原:TCCR antibody was raised against a synthetic peptide corresponding to amino acids near the amino terminus of human TCCR precursor.The 免疫原 is located within the first 50 amino acids of TCCR.
预测反应性:Mouse
分子量:70 kDa
应用注释:TCCR antibody can be used for detection of TCCR by Western blot at 1 μg/mL. An approximately 70 kDa band can be detected. Antibody can also be used for immunohistochemistry starting at 10 μg/mL. For immunofluorescence start at 20 μg/mL.Antibody validated: Western Blot in human samples; Immunohistochemistry in human samples and Immunofluorescence in human samples. All other applications and species not yet tested.
防腐剂:TCCR Antibody is supplied in PBS containing 0.02% sodium azide.
纯化:TCCR Antibody is affinity chromatography purified via peptide column.
保存说明:Maintain refrigerated at 2-8°C for up to 2 weeks. For long term storage store at -20°C in small aliquots to prevent freeze-thaw cycles.
NCBI:NP_004834
UniProt ID:Q6UWB1
Note:For research use only.



别名:TCCR Antibody: CRL1, TCCR, WSX1, IL27R, IL-27RA, zcytor1, CRL1, UNQ296/PRO336, Interleukin-27 receptor subunit alpha, Cytokine receptor WSX-1, IL-27 receptor subunit alpha
免疫原:TCCR antibody was raised against a synthetic peptide corresponding to amino acids near the amino terminus of human TCCR precursor.The 免疫原 is located within the first 50 amino acids of TCCR.
预测反应性:Mouse
分子量:70 kDa
应用注释:TCCR antibody can be used for detection of TCCR by Western blot at 1 μg/mL. An approximately 70 kDa band can be detected. Antibody can also be used for immunohistochemistry starting at 10 μg/mL. For immunofluorescence start at 20 μg/mL.Antibody validated: Western Blot in human samples; Immunohistochemistry in human samples and Immunofluorescence in human samples. All other applications and species not yet tested.
防腐剂:TCCR Antibody is supplied in PBS containing 0.02% sodium azide.
纯化:TCCR Antibody is affinity chromatography purified via peptide column.
保存说明:Maintain refrigerated at 2-8°C for up to 2 weeks. For long term storage store at -20°C in small aliquots to prevent freeze-thaw cycles.
NCBI:NP_004834
UniProt ID:Q6UWB1
Note:For research use only.

Western blot analysis of TCCR expression in human spleen tissue lysates with TCCR antibody at 1 µg/ml.

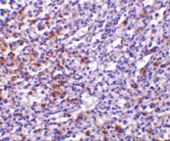
Immunohistochemistry of TCCR in human spleen tissue with TCCR antibody at 10 µg/mL.

Immunofluorescence of TCCR in A549 cells with TCCR antibody at 20 µg/mL.
风险提示:丁香通仅作为第三方平台,为商家信息发布提供平台空间。用户咨询产品时请注意保护个人信息及财产安全,合理判断,谨慎选购商品,商家和用户对交易行为负责。对于医疗器械类产品,请先查证核实企业经营资质和医疗器械产品注册证情况。
技术资料暂无技术资料 索取技术资料
TCCR Antibody抗体,orb1238839,biorbyt
¥3770










