相关产品推荐更多 >
万千商家帮你免费找货
0 人在求购买到急需产品
- 详细信息
- 技术资料
- 抗体名:
DR5 Antibody抗体
- 抗体英文名:
DR5 Antibody
- 靶点:
TNFRSF10B
- 浓度:
1 mg/ml
- 应用范围:
ELISA, IF, IHC-P, WB
- 适应物种:
Human, Mouse, Rat
- 保质期:
6-12个月
- 抗原来源:
详询
- 目录编号:
orb1239348
- 级别:
科研级
- 库存:
88
- 供应商:
biorbyt
- 标记物:
Unconjugated
- 克隆性:
Polyclonal
- 形态:
Liquid
- 亚型:
IgG
- 免疫原:
DR5 antibody was raised against a peptide corresponding to 20 amino acids near the carboxy terminus of human DR5 precursor.The immunogen is located within the last 50 amino acids of DR5.
- 规格:
0.02 mg
产品描述:DR5 Antibody
别名:DR5 Antibody: DR5, CD262, KILLER, TRICK2, TRICKB, ZTNFR9, TRAILR2, TRICK2A, TRICK2B, TRAIL-R2, KILLER/DR5, DR5, UNQ160/PRO186, Tumor necrosis factor receptor superfamily member 10B, Death receptor 5, TRAIL receptor 2
免疫原:DR5 antibody was raised against a peptide corresponding to 20 amino acids near the carboxy terminus of human DR5 precursor.The 免疫原 is located within the last 50 amino acids of DR5.
分子量:Predicted: 48kD and 45kDObserved: 48kD and 45kD
应用注释:WB: 0.5-2 μg/mL; IHC-P: 5 μg/mL; IF: 5-10 μg/mL.Antibody validated: Western Blot in human, mouse and rat samples; Immunohistochemistry in mouse samples; Immunocytochemistry in human samples and Immunofluorescence in human, mouse and rat samples. All other applications and species not yet tested.
防腐剂:DR5 Antibody is supplied in PBS containing 0.02% sodium azide.
纯化:DR5 Antibody is affinity chromatography purified via peptide column.
保存说明:Maintain refrigerated at 2-8°C for up to 2 weeks. For long term storage store at -20°C in small aliquots to prevent freeze-thaw cycles.
NCBI:AF012535
UniProt ID:O14763
Note:For research use only.










别名:DR5 Antibody: DR5, CD262, KILLER, TRICK2, TRICKB, ZTNFR9, TRAILR2, TRICK2A, TRICK2B, TRAIL-R2, KILLER/DR5, DR5, UNQ160/PRO186, Tumor necrosis factor receptor superfamily member 10B, Death receptor 5, TRAIL receptor 2
免疫原:DR5 antibody was raised against a peptide corresponding to 20 amino acids near the carboxy terminus of human DR5 precursor.The 免疫原 is located within the last 50 amino acids of DR5.
分子量:Predicted: 48kD and 45kDObserved: 48kD and 45kD
应用注释:WB: 0.5-2 μg/mL; IHC-P: 5 μg/mL; IF: 5-10 μg/mL.Antibody validated: Western Blot in human, mouse and rat samples; Immunohistochemistry in mouse samples; Immunocytochemistry in human samples and Immunofluorescence in human, mouse and rat samples. All other applications and species not yet tested.
防腐剂:DR5 Antibody is supplied in PBS containing 0.02% sodium azide.
纯化:DR5 Antibody is affinity chromatography purified via peptide column.
保存说明:Maintain refrigerated at 2-8°C for up to 2 weeks. For long term storage store at -20°C in small aliquots to prevent freeze-thaw cycles.
NCBI:AF012535
UniProt ID:O14763
Note:For research use only.

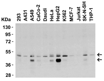
Western Blot Validation in Human Cell Lines. Loading: 15 µg of lysates per lane. Antibodies: DR5 orb1239348, (0.5 µg/mL), 1h incubation at RT in 5% NFDM/TBST. Secondary: Goat anti-rabbit IgG HRP conjugate at 1:10000 dilution.

Western Blot Validation in Human HepG2 Cells. Loading: 15 µg of lysates per lane. Antibodies: DR5 orb1239348, 1h incubation at RT in 5% NFDM/TBST. Secondary: Goat anti-rabbit IgG HRP conjugate at 1:10000 dilution. Lane 1: 1 µg/mL, Lane 2: 2 µg/mL, Lane 3: 4 µg/mL.

Western Blot Validation in Mouse and Rat Cell Lines. Loading: 15 µg of lysates per lane. Antibodies: DR5 orb1239348, (2 µg/mL), 1h incubation at RT in 5% NFDM/TBST. Secondary: Goat anti-rabbit IgG HRP.

Western Blot Validation in Mouse Cell Lines. Loading: 15 µg of lysates per lane. Antibodies: DR5 orb1239348, (1 µg/mL), 1h incubation at RT in 5% NFDM/TBST. Secondary: Goat anti-rabbit IgG HRP conjugate at 1:10000 dilution.

Western Blot Validation in Mouse Heart. Loading: 15 µg of lysatesper lane. Antibodies: DR5 orb1239348, (1 µg/mL), 1h incubation at RT in 5% NFDM/TBST. Secondary: Goat anti-rabbit IgG HRP conjugate at 1:10000 dilution.

Western Blot Validation in Rat Skeletal Muscle. Loading: 15 µg of lysate per lane. Antibodies: DR5 orb1239348, (1 µg/mL), 1h incubation at RT in 5% NFDM/TBST. Secondary: Goat anti-rabbit IgG HRP conjugate at 1:10000 dilution.

Immunofluorescence Validation of DR5 in Human HepG2 Cells. Immunofluorescent analysis of 4% Fixative-fixed human HepG2 cells labeling DR5 with orb1239348 at 5 µg/mL, followed by goat anti-rabbit IgG secondary antibody at 1/500 dilution (green) and DAPI (blue).

Immunofluorescence Validation of DR5 in Human Testis. Immunofluorescent analysis of 4% Fixative-fixed human testis tissue labeling DR5 with orb1239348 at 10 µg/mL, followed by goat anti-rabbit IgG secondary antibody at 1/500 dilution (green) and DAPI (blue).

Immunofluorescence Validation of DR5 in Mouse Pancreas. Immunofluorescent analysis of 4% Fixative-fixed mouse pancreas tissue labeling DR5 with orb1239348 at 10 µg/mL, followed by goat anti-rabbit IgG secondary antibody at 1/500 dilution (green) and DAPI (blue).

Immunofluorescence Validation of DR5 in Rat Brain. Immunofluorescent analysis of 4% Fixative-fixed rat brain tissue labeling DR5 with orb1239348 at 5 µg/mL, followed by goat anti-rabbit IgG secondary antibody at 1/500 dilution (green) and DAPI (blue).
风险提示:丁香通仅作为第三方平台,为商家信息发布提供平台空间。用户咨询产品时请注意保护个人信息及财产安全,合理判断,谨慎选购商品,商家和用户对交易行为负责。对于医疗器械类产品,请先查证核实企业经营资质和医疗器械产品注册证情况。
技术资料暂无技术资料 索取技术资料
DR5 Antibody抗体,orb1239348,biorbyt
¥3770










