相关产品推荐更多 >
万千商家帮你免费找货
0 人在求购买到急需产品
- 详细信息
- 技术资料
- 抗体名:
NANOG Antibody抗体
- 抗体英文名:
NANOG Antibody
- 靶点:
NANOG
- 浓度:
1 mg/mL
- 应用范围:
ELISA, ICC, IF, IHC-P, WB
- 适应物种:
Human, Mouse, Rat
- 保质期:
6-12个月
- 抗原来源:
详询
- 目录编号:
orb1239398
- 级别:
科研级
- 库存:
88
- 供应商:
biorbyt
- 标记物:
Unconjugated
- 克隆性:
Polyclonal
- 形态:
Liquid
- 亚型:
IgG
- 免疫原:
NANOG antibody was raised against a 19 amino acid synthetic peptide near the center of human NANOG.The immunogen is located within amino acids 130 - 180 of NANOG.
- 规格:
0.02 mg
产品描述:NANOG Antibody
别名:NANOG Antibody: Homeobox protein NANOG, Homeobox transcription factor Nanog, hNanog
免疫原:NANOG antibody was raised against a 19 amino acid synthetic peptide near the center of human NANOG.The 免疫原 is located within amino acids 130 - 180 of NANOG.
预测反应性:Bovine, Gallus
分子量:Predicted: 35 kD Observed: 35 kD
应用注释:WB: 1-2 μg/mL; ICC/IF: 20 μg/mL; IHC: 1-5 μg/mL. Antibody validated: Western Blot in human, mouse and rat samples; Immunohistochemistry in human, mouse and rat samples and Immunofluorescence in human samples. All other applications and species not yet tested.
防腐剂:NANOG Antibody is supplied in PBS containing 0.02% sodium azide.
纯化:NANOG Antibody is affinity chromatography purified via peptide column.
保存说明:Maintain refrigerated at 2-8°C for up to 2 weeks. For long term storage store at -20°C in small aliquots to prevent freeze-thaw cycles.
NCBI:EAW88651
UniProt ID:Q9H9S0
Note:For research use only.






别名:NANOG Antibody: Homeobox protein NANOG, Homeobox transcription factor Nanog, hNanog
免疫原:NANOG antibody was raised against a 19 amino acid synthetic peptide near the center of human NANOG.The 免疫原 is located within amino acids 130 - 180 of NANOG.
预测反应性:Bovine, Gallus
分子量:Predicted: 35 kD Observed: 35 kD
应用注释:WB: 1-2 μg/mL; ICC/IF: 20 μg/mL; IHC: 1-5 μg/mL. Antibody validated: Western Blot in human, mouse and rat samples; Immunohistochemistry in human, mouse and rat samples and Immunofluorescence in human samples. All other applications and species not yet tested.
防腐剂:NANOG Antibody is supplied in PBS containing 0.02% sodium azide.
纯化:NANOG Antibody is affinity chromatography purified via peptide column.
保存说明:Maintain refrigerated at 2-8°C for up to 2 weeks. For long term storage store at -20°C in small aliquots to prevent freeze-thaw cycles.
NCBI:EAW88651
UniProt ID:Q9H9S0
Note:For research use only.

Immunoflouorescence Validation of NANOG in HeLa Cells. Immunofluorescent analysis of PFA-fixed HeLa cells labeling NANOG with orb1239398 at 20 µg/mL, followed by goat anti-rabbit IgG secondary antibody at 1/1000 dilution (red) and DAPI staining (blue). Alpha tubulin was stained with anti-alpha tubulin antibody following by goat anti-mouse IgG secondary antibody (green). Images were captured with confocal microscopy.

WB Validation in HeLa Cells. Loading: 15 µg of lysate. Antibodies: NANOG orb1239398, 2 µg/mL, 1 h incubation at RT in 8% NFDM/TBST. Secondary: Goat Anti-Rabbit IgG HRP conjugate at 1:10000 dilution.

Western Blot Validation in Mouse and Rat Testis. Loading: 15 µg of lysates per lane. Antibodies: NANOG orb1239398, 2 µg/mL, 1 h incubation at RT in 8% NFDM/TBST. Secondary: Goat anti-rabbit IgG HRP conjugate at 1:10000 dilution.

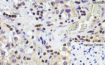
Immunohistochemistry Validation of NANOG in Human Testis. Immunohistochemical analysis of paraffin-embedded human testis tissue using anti-NANOG antibody (orb1239398) at 5 µg/mL. Tissue was fixed with formaldehyde and blocked with 10% serum for 1 h at RT; antigen retrieval was by heat mediation with a citrate buffer (pH6). Samples were incubated with primary antibody overnight at 4°C. A goat anti-rabbit IgG H&L (HRP) at 1/250 was used as secondary. Counter stained with Hematoxylin.

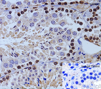
Immunohistochemistry Validation of NANOG in Mouse Testis. Immunohistochemical analysis of paraffin-embedded mouse testis tissue using anti-NANOG antibody (orb1239398) at 2 µg/mL. Tissue was fixed with formaldehyde and blocked with 10% serum for 1 h at RT; antigen retrieval was by heat mediation with a citrate buffer (pH6). Samples were incubated with primary antibody overnight at 4°C. A goat anti-rabbit IgG H&L (HRP) at 1/250 was used as secondary. Counter stained with Hematoxylin.

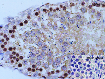
Immunohistochemistry Validation of NANOG in Rat Testis. Immunohistochemical analysis of paraffin-embedded rat testis tissue using anti-NANOG antibody (orb1239398) at 2 µg/mL. Tissue was fixed with formaldehyde and blocked with 10% serum for 1 h at RT; antigen retrieval was by heat mediation with a citrate buffer (pH6). Samples were incubated with primary antibody overnight at 4°C. A goat anti-rabbit IgG H&L (HRP) at 1/250 was used as secondary. Counter stained with Hematoxylin.
风险提示:丁香通仅作为第三方平台,为商家信息发布提供平台空间。用户咨询产品时请注意保护个人信息及财产安全,合理判断,谨慎选购商品,商家和用户对交易行为负责。对于医疗器械类产品,请先查证核实企业经营资质和医疗器械产品注册证情况。
技术资料暂无技术资料 索取技术资料
NANOG Antibody抗体,orb1239398,biorbyt
¥3770







![ENTPD3 antibody [N3C3]抗体,orb556163,biorbyt](https://img1.dxycdn.com/p/s14/2025/1204/381/8001351760443146991.jpg!wh200)


