相关产品推荐更多 >
万千商家帮你免费找货
0 人在求购买到急需产品
- 详细信息
- 文献和实验
- 技术资料
- 抗体名:
YWHAQ Antibody抗体
- 抗体英文名:
YWHAQ Antibody
- 靶点:
YWHAQ
- 浓度:
batch dependent
- 应用范围:
IF, IHC, WB
- 适应物种:
Human, Mouse, Rat
- 保质期:
6-12个月
- 抗原来源:
详询
- 目录编号:
orb1258110
- 级别:
科研级
- 库存:
88
- 供应商:
biorbyt
- 标记物:
Unconjugated
- 克隆性:
Polyclonal
- 形态:
Liquid
- 亚型:
IgG
- 免疫原:
Recombinant fusion protein containing a sequence corresponding to amino acids 1-245 of human YWHAQ (NP_006817.1).
- 规格:
100 ul
别名:YWHAQ, 1C5, HS1, 14-3-3
免疫原:Recombinant fusion protein containing a sequence corresponding to amino acids 1-245 of human YWHAQ (NP_006817.1).
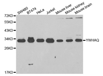
分子量:Observed: 32kDa
应用注释:WB: 1:500 - 1:2000IHC: 1:50 - 1:100IF: 1:50 - 1:100
防腐剂:Liquid
纯化:Affinity 纯化
保存说明:Maintain refrigerated at 2-8°C for up to 2 weeks. For long term storage store at -20°C in small aliquots to prevent freeze-thaw cycles.
UniProt ID:P27348
Note:For research use only.


风险提示:丁香通仅作为第三方平台,为商家信息发布提供平台空间。用户咨询产品时请注意保护个人信息及财产安全,合理判断,谨慎选购商品,商家和用户对交易行为负责。对于医疗器械类产品,请先查证核实企业经营资质和医疗器械产品注册证情况。
文献和实验12, TCF3, TCF7, TCF7L1, TCF7L2, TCF8, TGFB2, TGFBR3, TIAL1, TLX1, TM4SF2, TNFRSF17, TNFRSF8, TNK1, TOP1, TXK, TYMS, VAV2, VHL, WEE1, WT1, YWHAQ, ZAP70, ZNF145, ZNF42, ZNF593, ZNFN1A1. 请勿重复发贴!
[资源] 所有的看家基因(housekeeping genes)列表+引物设计服务
sapiens replication protein A2, 32kDa (RPA2), mRNA 537 NM_004356 Homo sapiens CD81 antigen (target of antiproliferative antibody 1) (CD81), mRNA 3638 NM_001743 Homo sapiens calmodulin 2 (phosphorylase kinase, delta) (CALM2), mRNA 4675 NM_004231
所有的看家基因(housekeeping genes)的列表+引物设计服务
sapiens requiem, apoptosis response zinc finger gene (REQ), mRNA 784 NM_006826 Homo sapiens tyrosine 3-monooxygenase/tryptophan 5-monooxygenase activation protein, theta polypeptide (YWHAQ), mRNA 1917
技术资料暂无技术资料 索取技术资料










