相关产品推荐更多 >
万千商家帮你免费找货
0 人在求购买到急需产品
- 详细信息
- 技术资料
- 抗体名:
AREB6/ZEB1 Antibody (monoclonal, 8B12D7)抗体
- 抗体英文名:
AREB6/ZEB1 Antibody (monoclonal, 8B12D7)
- 浓度:
Adding 0.2 ml of distilled water will yield a concentration of 500 μg/ml.
- 应用范围:
ICC, IF, IHC, WB
- 宿主:
Mouse
- 适应物种:
Human, Mouse, Rat
- 保质期:
6-12个月
- 抗原来源:
详询
- 目录编号:
orb1184754
- 级别:
科研级
- 库存:
88
- 供应商:
biorbyt
- 标记物:
Unconjugated
- 克隆性:
Monoclonal
- 形态:
Lyophilized
- 亚型:
Mouse IgG2b
- 免疫原:
A synthetic peptide corresponding to a sequence in the middle region of human AREB6/ZEB1.
- 规格:
100 ug
产品描述:Anti-AREB6/ZEB1 Antibody (monoclonal, 8B12D7). Tested in IF, IHC, ICC, WB applications. This antibody reacts with Human, Mouse, Rat.
别名:Aldehyde dehydrogenase, mitochondrial; ALDH class 2; ALDH-E2; ALDHI; ALDH2; ALDM
免疫原:A synthetic peptide corresponding to a sequence in the middle region of human AREB6/ZEB1.
交叉反应性:No cross-reactivity with other proteins.
克隆性:8B12D7
分子量:200 kDa
应用注释:Western blot, 0.25-0.5 μg/ml, Human, Mouse, Rat Immunohistochemistry(Paraffin-embedded Section), 2-5 μg/ml, Human, Mouse, Rat Immunocytochemistry/Immunofluorescence, 5 μg/ml, Human Immunofluorescence, 5 μg/ml, Human. Adding 0.2 ml of distilled water will yield a concentration of 500 μg/ml
纯化:Immunogen affinity purified.
保存说明:Maintain refrigerated at 2-8°C for up to 2 weeks. For long term storage store at -20°C in small aliquots to prevent freeze-thaw cycles.
UniProt ID:P37275
Note:For research use only.










别名:Aldehyde dehydrogenase, mitochondrial; ALDH class 2; ALDH-E2; ALDHI; ALDH2; ALDM
免疫原:A synthetic peptide corresponding to a sequence in the middle region of human AREB6/ZEB1.
交叉反应性:No cross-reactivity with other proteins.
克隆性:8B12D7
分子量:200 kDa
应用注释:Western blot, 0.25-0.5 μg/ml, Human, Mouse, Rat Immunohistochemistry(Paraffin-embedded Section), 2-5 μg/ml, Human, Mouse, Rat Immunocytochemistry/Immunofluorescence, 5 μg/ml, Human Immunofluorescence, 5 μg/ml, Human. Adding 0.2 ml of distilled water will yield a concentration of 500 μg/ml
纯化:Immunogen affinity purified.
保存说明:Maintain refrigerated at 2-8°C for up to 2 weeks. For long term storage store at -20°C in small aliquots to prevent freeze-thaw cycles.
UniProt ID:P37275
Note:For research use only.

IF analysis of AREB6/ZEB1 using anti-AREB6/ZEB1 antibody. AREB6/ZEB1 was detected in an immunocytochemical section of U87 cells. Enzyme antigen retrieval was performed using IHC enzyme antigen retrieval reagent for 15 mins. The cells were blocked with 10% goat serum. And then incubated with 5 µg/mL mouse anti-AREB6/ZEB1 Antibody overnight at 4°C. DyLight®550 Conjugated Goat Anti-Mouse IgG was used as secondary antibody at 1:500 dilution and incubated for 30 minutes at 37°C. Visualize using a fluorescence microscope and filter sets appropriate for the label used.

IF analysis of AREB6/ZEB1 using anti-AREB6/ZEB1 antibody. AREB6/ZEB1 was detected in a paraffin-embedded section of human glioma tissue. Heat mediated antigen retrieval was performed in EDTA buffer (pH8.0, epitope retrieval solution). The tissue section was blocked with 10% goat serum. The tissue section was then incubated with 5 µg/mL mouse anti-AREB6/ZEB1 Antibody overnight at 4°C. Biotin conjugated goat anti-mouse IgG was used as secondary antibody and incubated for 30 minutes at 37°C. The tissue section was developed using DyLight®550 Conjugated Avidin. Visualize using a fluorescence microscope and filter sets appropriate for the label used.

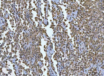
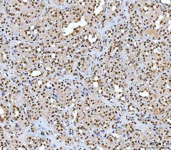
IHC analysis of AREB6/ZEB1 using anti-AREB6/ZEB1 antibody. AREB6/ZEB1 was detected in a paraffin-embedded section of human breast cancer tissue. Heat mediated antigen retrieval was performed in EDTA buffer (pH8.0, epitope retrieval solution). The tissue section was blocked with 10% goat serum. The tissue section was then incubated with 2 µg/ml mouse anti-AREB6/ZEB1 Antibody overnight at 4°C. Peroxidase Conjugated Goat Anti-mouse IgG was used as secondary antibody and incubated for 30 minutes at 37°C. The tissue section was developed using HRP Conjugated Mouse IgG Super Vision Assay Kit with DAB as the chromogen.

IHC analysis of AREB6/ZEB1 using anti-AREB6/ZEB1 antibody. AREB6/ZEB1 was detected in a paraffin-embedded section of human colorectal adenocarcinoma tissue. Heat mediated antigen retrieval was performed in EDTA buffer (pH8.0, epitope retrieval solution). The tissue section was blocked with 10% goat serum. The tissue section was then incubated with 2 µg/ml mouse anti-AREB6/ZEB1 Antibody overnight at 4°C. Peroxidase Conjugated Goat Anti-mouse IgG was used as secondary antibody and incubated for 30 minutes at 37°C. The tissue section was developed using HRP Conjugated Mouse IgG Super Vision Assay Kit with DAB as the chromogen.

IHC analysis of AREB6/ZEB1 using anti-AREB6/ZEB1 antibody. AREB6/ZEB1 was detected in a paraffin-embedded section of human glioblastoma tissue. Heat mediated antigen retrieval was performed in EDTA buffer (pH8.0, epitope retrieval solution). The tissue section was blocked with 10% goat serum. The tissue section was then incubated with 2 µg/ml mouse anti-AREB6/ZEB1 Antibody overnight at 4°C. Peroxidase Conjugated Goat Anti-mouse IgG was used as secondary antibody and incubated for 30 minutes at 37°C. The tissue section was developed using HRP Conjugated Mouse IgG Super Vision Assay Kit with DAB as the chromogen.

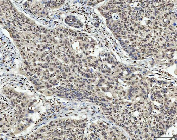
IHC analysis of AREB6/ZEB1 using anti-AREB6/ZEB1 antibody. AREB6/ZEB1 was detected in a paraffin-embedded section of human laryngeal squamous cell carcinoma tissue. Heat mediated antigen retrieval was performed in EDTA buffer (pH8.0, epitope retrieval solution). The tissue section was blocked with 10% goat serum. The tissue section was then incubated with 2 µg/ml mouse anti-AREB6/ZEB1 Antibody overnight at 4°C. Peroxidase Conjugated Goat Anti-mouse IgG was used as secondary antibody and incubated for 30 minutes at 37°C. The tissue section was developed using HRP Conjugated Mouse IgG Super Vision Assay Kit with DAB as the chromogen.

IHC analysis of AREB6/ZEB1 using anti-AREB6/ZEB1 antibody. AREB6/ZEB1 was detected in a paraffin-embedded section of human lung adenocarcinoma tissue. Heat mediated antigen retrieval was performed in EDTA buffer (pH8.0, epitope retrieval solution). The tissue section was blocked with 10% goat serum. The tissue section was then incubated with 2 µg/ml mouse anti-AREB6/ZEB1 Antibody overnight at 4°C. Peroxidase Conjugated Goat Anti-mouse IgG was used as secondary antibody and incubated for 30 minutes at 37°C. The tissue section was developed using HRP Conjugated Mouse IgG Super Vision Assay Kit with DAB as the chromogen.

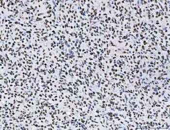
IHC analysis of AREB6/ZEB1 using anti-AREB6/ZEB1 antibody. AREB6/ZEB1 was detected in a paraffin-embedded section of human testicular germ cell tumor tissue. Heat mediated antigen retrieval was performed in EDTA buffer (pH8.0, epitope retrieval solution). The tissue section was blocked with 10% goat serum. The tissue section was then incubated with 2 µg/ml mouse anti-AREB6/ZEB1 Antibody overnight at 4°C. Peroxidase Conjugated Goat Anti-mouse IgG was used as secondary antibody and incubated for 30 minutes at 37°C. The tissue section was developed using HRP Conjugated Mouse IgG Super Vision Assay Kit with DAB as the chromogen.

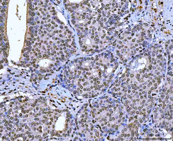
IHC analysis of AREB6/ZEB1 using anti-AREB6/ZEB1 antibody. AREB6/ZEB1 was detected in a paraffin-embedded section of human thyroid cancer tissue. Heat mediated antigen retrieval was performed in EDTA buffer (pH8.0, epitope retrieval solution). The tissue section was blocked with 10% goat serum. The tissue section was then incubated with 2 µg/ml mouse anti-AREB6/ZEB1 Antibody overnight at 4°C. Peroxidase Conjugated Goat Anti-mouse IgG was used as secondary antibody and incubated for 30 minutes at 37°C. The tissue section was developed using HRP Conjugated Mouse IgG Super Vision Assay Kit with DAB as the chromogen.

IHC analysis of AREB6/ZEB1 using anti-AREB6/ZEB1 antibody. AREB6/ZEB1 was detected in a paraffin-embedded section of mouse brain tissue. Heat mediated antigen retrieval was performed in EDTA buffer (pH8.0, epitope retrieval solution). The tissue section was blocked with 10% goat serum. The tissue section was then incubated with 2 µg/ml mouse anti-AREB6/ZEB1 Antibody overnight at 4°C. Peroxidase Conjugated Goat Anti-mouse IgG was used as secondary antibody and incubated for 30 minutes at 37°C. The tissue section was developed using HRP Conjugated Mouse IgG Super Vision Assay Kit with DAB as the chromogen.
风险提示:丁香通仅作为第三方平台,为商家信息发布提供平台空间。用户咨询产品时请注意保护个人信息及财产安全,合理判断,谨慎选购商品,商家和用户对交易行为负责。对于医疗器械类产品,请先查证核实企业经营资质和医疗器械产品注册证情况。
技术资料暂无技术资料 索取技术资料
AREB6/ZEB1 Antibody (monoclonal, 8B12D7)抗体,orb1184754,biorbyt
¥6500










