相关产品推荐更多 >

ERCC5 Antibody - N-terminal region : Biotin 抗体,orb2106955,Biorbyt
¥8216
Phospho-Bad (Ser112) Rabbit mAb Antibody 抗体,orb1922404,Biorbyt
¥1243
Vitronectin Antibody抗体,orb1474093,biorbyt
¥1560
BUB3 Rabbit mAb Antibody 抗体,orb1923893,Biorbyt
¥1243
LPL Antibody - C-terminal region : FITC 抗体,orb2097561,Biorbyt
¥8216
万千商家帮你免费找货
0 人在求购买到急需产品
- 详细信息
- 文献和实验
- 技术资料
- 抗体名:
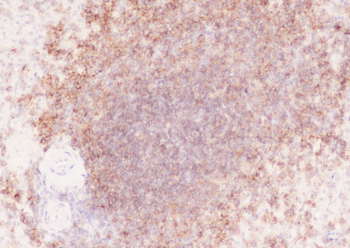
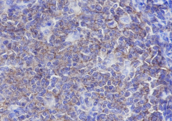
CD19 Recombinant Rabbit Monoclonal Antibody抗体
- 抗体英文名:
CD19 Recombinant Rabbit Monoclonal Antibody
- 靶点:
CD19
- 浓度:
1mg/ml
- 应用范围:
FC, ICC, IF, IHC-Fr, IHC-P, WB
- 宿主:
Rabbit
- 适应物种:
Human
- 保质期:
6-12个月
- 抗原来源:
详询
- 目录编号:
orb1151969
- 级别:
科研级
- 库存:
88
- 供应商:
biorbyt
- 标记物:
Unconjugated
- 克隆性:
Recombinant
- 形态:
Liquid
- 亚型:
IgG
- 免疫原:
KLH conjugated synthetic peptide derived from human CD19
- 规格:
25 ul
别名:Antibody deficiency due to defect in CD19, included; AW495831; B lymphocyte antigen CD19; B lymphocyte surface antigen B4; B4; CD 19; CD19 antigen; CD19 molecule; Cd19 protein; Differentiation Antigen CD19; Leu 12; Leu12; Lymphocyte Surface Antigen; MGC109570; MGC12802; T-cell surface antigen Leu-12; CD19_HUMAN.
免疫原:KLH conjugated synthetic peptide derived from human CD19
分子量:95 kDa
应用稀释比例:WB=1:500-2000, IHC-P=1:200-1000, IHC-F=1:200-1000, ICC/IF=1:50-200, IF=1:200-1000, Flow-Cyt=1:50-100
防腐剂:0.01M TBS (pH7.4) with 1% rAlbumin, 0.02% Proclin300 and 50% Glycerol.
纯化:Affinity purified by Protein A
保存说明:Maintain refrigerated at 2-8°C for up to 2 weeks. For long term storage store at -20°C in small aliquots to prevent freeze-thaw cycles.
UniProt ID:P15391
Note:For research use only.







风险提示:丁香通仅作为第三方平台,为商家信息发布提供平台空间。用户咨询产品时请注意保护个人信息及财产安全,合理判断,谨慎选购商品,商家和用户对交易行为负责。对于医疗器械类产品,请先查证核实企业经营资质和医疗器械产品注册证情况。
文献和实验到 PVDF 膜上,同时减少蛋白不必要降解,这对于最终获得清晰、可信结果也是需要考虑因素。抗体信息:1.ACC1, Recombinant Rabbit monoclonal IgG. HuaAn. HuaAn biotechnology , inc.2.ATGL, Mouse mAb IgG1, Cat#:RT1058. HuaAn biotechnology , inc.3.p-PERK(Thr981), Rabbit Polyclonal IgG primary antibodies, Cat
我准备做凋亡过程中CASPASE 3的变化,用WESTERN检测。我准备买SANTA CRUZ的抗体。有两种,一种是单抗,另一种是多抗。具体如下: 1.caspase-3 (E-8): sc-7272 SOURCE Caspase-3 (E-8) is a mouse monoclonal IgG2a antibody corresponding to amino acids 1-277 representing the full length precursor form
The OP9-DL1 System: Generation of T-Lymphocytes from Embryonic or Hematopoietic Stem Cells In Vitro
al. 2006b ). MATERIALS Reagents Anti-CD24 monoclonal antibody (mAb) (J11d clone) (for Protocol 3) Use either culture supernatant that contains anti-CD24 mAb or purified anti-CD24 mAb (see Step 55). BDPharmLyse (red blood cell lysing
技术资料暂无技术资料 索取技术资料






