相关产品推荐更多 >

NR1H4 Antibody (BF488) 抗体,orb1583229,Biorbyt
¥4796
CCR7 Recombinant Rabbit Monoclonal Antibody抗体,orb1499378,biorbyt
¥2210
WDR43 Antibody抗体,orb1264165,biorbyt
¥11440
regulator of chromosome condensation 1 Antibody 抗体,orb1741741,Biorbyt
¥7735
SERPINE1 Antibody - N-terminal region : FITC 抗体,orb2115660,Biorbyt
¥8216
万千商家帮你免费找货
0 人在求购买到急需产品
- 详细信息
- 技术资料
- 抗体名:
MEK-1/2 (phospho Ser218/222) rabbit pAb抗体
- 抗体英文名:
MEK-1/2 (phospho Ser218/222) rabbit pAb
- 浓度:
1 mg/ml
- 应用范围:
ELISA, IHC-P, WB
- 适应物种:
Human, Mouse, Rat
- 保质期:
6-12个月
- 抗原来源:
详询
- 目录编号:
orb764230
- 级别:
科研级
- 库存:
88
- 供应商:
biorbyt
- 标记物:
Unconjugated
- 克隆性:
Polyclonal
- 亚型:
IgG
- 免疫原:
The antiserum was produced against synthesized peptide derived from human MEK1/2 around the phosphorylation site of Ser217. AA range:189-238
- 规格:
50 ul
产品描述:Rabbit polyclonal antibody to MEK-1/2 (phospho-Ser218/222)
别名:Anti-MAP2K1 antibody, anti-MEK1 antibody, anti-PRKMK1 antibody, anti-Dual specificity mitogen-activated protein kinase kinase 1 antibody, anti-MAP kinase kinase 1 antibody, anti-MAPKK 1 antibody, anti-MKK1 antibody, anti-ERK activator kinase 1 antibody, anti-MAPK/ERK kinase 1 antibody, anti-MEK 1 antibody, anti-MAP2K2 antibody, anti-MEK2 antibody, anti-MKK2 antibody, anti-PRKMK2 antibody, anti-Dual antibody
免疫原:The antiserum was produced against synthesized peptide derived from human MEK1/2 around the phosphorylation site of Ser217. AA range:189-238
分子量:48
应用稀释比例:Western Blot: 1/500 - 1/2000. Immunohistochemistry: 1/100 - 1/300. ELISA: 1/5000. Not yet tested in other applications.
防腐剂:PBS with 0.02% sodium azide and 50% glycerol pH 7.4.
纯化:The antibody was affinity-purified from rabbit antiserum by affinity-chromatography using epitope-specific immunogen.
来源:Rabbit
保存说明:Maintain refrigerated at 2-8°C for up to 2 weeks. For long term storage store at -20°C in small aliquots to prevent freeze-thaw cycles.
Note:For research use only.




别名:Anti-MAP2K1 antibody, anti-MEK1 antibody, anti-PRKMK1 antibody, anti-Dual specificity mitogen-activated protein kinase kinase 1 antibody, anti-MAP kinase kinase 1 antibody, anti-MAPKK 1 antibody, anti-MKK1 antibody, anti-ERK activator kinase 1 antibody, anti-MAPK/ERK kinase 1 antibody, anti-MEK 1 antibody, anti-MAP2K2 antibody, anti-MEK2 antibody, anti-MKK2 antibody, anti-PRKMK2 antibody, anti-Dual antibody
免疫原:The antiserum was produced against synthesized peptide derived from human MEK1/2 around the phosphorylation site of Ser217. AA range:189-238
分子量:48
应用稀释比例:Western Blot: 1/500 - 1/2000. Immunohistochemistry: 1/100 - 1/300. ELISA: 1/5000. Not yet tested in other applications.
防腐剂:PBS with 0.02% sodium azide and 50% glycerol pH 7.4.
纯化:The antibody was affinity-purified from rabbit antiserum by affinity-chromatography using epitope-specific immunogen.
来源:Rabbit
保存说明:Maintain refrigerated at 2-8°C for up to 2 weeks. For long term storage store at -20°C in small aliquots to prevent freeze-thaw cycles.
Note:For research use only.

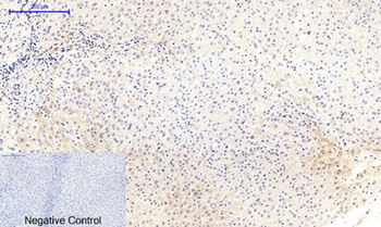
Immunohistochemical analysis of paraffin-embedded Human-liver tissue. 1, MEK-1/2 (phospho Ser218/222) Polyclonal Antibody was diluted at 1:200 (4°C, overnight). 2, Sodium citrate pH 6.0 was used for antibody retrieval (>98°C, 20min). 3, Secondary antibody was diluted at 1:200 (room temperature, 30min). Negative control was used by secondary antibody only.

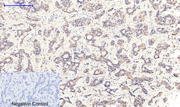
Immunohistochemical analysis of paraffin-embedded Human-liver-cancer tissue. 1, MEK-1/2 (phospho Ser218/222) Polyclonal Antibody was diluted at 1:200 (4°C, overnight). 2, Sodium citrate pH 6.0 was used for antibody retrieval (>98°C, 20min). 3, Secondary antibody was diluted at 1:200 (room temperature, 30min). Negative control was used by secondary antibody only.

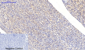
Immunohistochemical analysis of paraffin-embedded Rat-kidney tissue. 1, MEK-1/2 (phospho Ser218/222) Polyclonal Antibody was diluted at 1:200 (4°C, overnight). 2, Sodium citrate pH 6.0 was used for antibody retrieval (>98°C, 20min). 3, Secondary antibody was diluted at 1:200 (room temperature, 30min). Negative control was used by secondary antibody only.

Immunohistochemical analysis of paraffin-embedded Rat-brain tissue. 1, MEK-1/2 (phospho Ser218/222) Polyclonal Antibody was diluted at 1:200 (4°C, overnight). 2, Sodium citrate pH 6.0 was used for antibody retrieval (>98°C, 20min). 3, Secondary antibody was diluted at 1:200 (room temperature, 30min). Negative control was used by secondary antibody only.
风险提示:丁香通仅作为第三方平台,为商家信息发布提供平台空间。用户咨询产品时请注意保护个人信息及财产安全,合理判断,谨慎选购商品,商家和用户对交易行为负责。对于医疗器械类产品,请先查证核实企业经营资质和医疗器械产品注册证情况。
技术资料暂无技术资料 索取技术资料
MEK-1/2 (phospho Ser218/222) rabbit pAb抗体,orb764230,biorbyt
¥3250





