相关产品推荐更多 >
万千商家帮你免费找货
0 人在求购买到急需产品
- 详细信息
- 技术资料
- 抗体名:
MAVS Antibody抗体
- 抗体英文名:
MAVS Antibody
- 靶点:
MAVS
- 应用范围:
ELISA, IHC, WB
- 宿主:
Rabbit
- 适应物种:
Human, Mouse, Rat
- 保质期:
6-12个月
- 抗原来源:
详询
- 目录编号:
orb756615
- 级别:
科研级
- 库存:
88
- 供应商:
biorbyt
- 标记物:
Unconjugated
- 克隆性:
Polyclonal
- 形态:
liquid
- 亚型:
IgG
- 免疫原:
mitochondrial antiviral signaling protein
- 规格:
50 ug
产品描述:Rabbit polyclonal antibody to MAVS
别名:Anti-CARD adapter inducing interferon beta antibody, anti-Interferon beta promoter stimulator protein 1 antibody, anti-Cardif antibody, anti-Putative NF-kappa-B-activating protein 031N antibody, anti-Virus-induced-signaling adapter antibody
免疫原:mitochondrial antiviral signaling protein
分子量:40kDa,56kDa,70kDa
应用稀释比例:WB: 1:500-1:2000;IHC: 1:50-1:500
纯度:≥95% as determined by SDS-PAGE
纯化:Immunogen affinity purified
保存说明:Maintain refrigerated at 2-8°C for up to 2 weeks. For long term storage store at -20°C in small aliquots to prevent freeze-thaw cycles.
UniProt ID:Q7Z434
Note:For research use only.


别名:Anti-CARD adapter inducing interferon beta antibody, anti-Interferon beta promoter stimulator protein 1 antibody, anti-Cardif antibody, anti-Putative NF-kappa-B-activating protein 031N antibody, anti-Virus-induced-signaling adapter antibody
免疫原:mitochondrial antiviral signaling protein
分子量:40kDa,56kDa,70kDa
应用稀释比例:WB: 1:500-1:2000;IHC: 1:50-1:500
纯度:≥95% as determined by SDS-PAGE
纯化:Immunogen affinity purified
保存说明:Maintain refrigerated at 2-8°C for up to 2 weeks. For long term storage store at -20°C in small aliquots to prevent freeze-thaw cycles.
UniProt ID:Q7Z434
Note:For research use only.

rat kidney were subjected to SDS PAGE followed by western blot with orb756615 (MAVS antibody) at dilution of 1:1000.

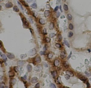
Immunohistochemistry of paraffin-embedded mouse brain tissue slide using orb756615 (MAVS Antibody) at dilution of 1:100.
风险提示:丁香通仅作为第三方平台,为商家信息发布提供平台空间。用户咨询产品时请注意保护个人信息及财产安全,合理判断,谨慎选购商品,商家和用户对交易行为负责。对于医疗器械类产品,请先查证核实企业经营资质和医疗器械产品注册证情况。
技术资料暂无技术资料 索取技术资料
MAVS Antibody抗体,orb756615,biorbyt
¥2600










