相关产品推荐更多 >
万千商家帮你免费找货
0 人在求购买到急需产品
- 详细信息
- 文献和实验
- 技术资料
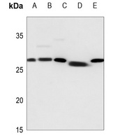
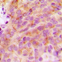
- 抗体名:
14-3-3 zeta Antibody抗体
- 抗体英文名:
14-3-3 zeta Antibody
- 应用范围:
IF, IHC, WB
- 宿主:
Rabbit
- 适应物种:
Bovine, Gallus, Human, Mouse, Porcine, Rat, Sheep
- 保质期:
6-12个月
- 抗原来源:
详询
- 目录编号:
orb224041
- 级别:
科研级
- 库存:
88
- 供应商:
biorbyt
- 标记物:
Unconjugated
- 克隆性:
Polyclonal
- 形态:
Liquid in 0.42% Potassium phosphate, 0.87% Sodium chloride, pH 7.3, 30% glycerol, and 0.01% sodium azide.
- 免疫原:
KLH-conjugated synthetic peptide encompassing a sequence within the C-term region of human 14-3-3 zeta. The exact sequence is proprietary.
- 规格:
30 ul
别名:14-3-3 protein zeta/delta; Protein kinase C inhibitor protein 1; KCIP-1
免疫原:KLH-conjugated synthetic peptide encompassing a sequence within the C-term region of human 14-3-3 zeta. The exact sequence is proprietary.
应用稀释比例:WB: 1:500-1:1000, IHC-P: 1:100-1:200, IF/ICC: 1:100-1:500
纯化:The antibody was purified by immunogen affinity chromatography.
保存说明:Maintain refrigerated at 2-8°C for up to 2 weeks. For long term storage store at -20°C in small aliquots to prevent freeze-thaw cycles.
Entrez:25578, 22631, 7534
UniProt ID:P63101, P63102, P63104
Note:For research use only.



风险提示:丁香通仅作为第三方平台,为商家信息发布提供平台空间。用户咨询产品时请注意保护个人信息及财产安全,合理判断,谨慎选购商品,商家和用户对交易行为负责。对于医疗器械类产品,请先查证核实企业经营资质和医疗器械产品注册证情况。
文献和实验The human and bovine 14-3-3 eta protein mRNAs are highly conservedEvolutionary conservation of the 14-3-3 proteinExpression and structural analysis of 14-3-3 proteinsCrystal structure of the zeta isoform of the 14-3-3 proteinStructure of a 14
Introduction of human 14-3-3 proteins
terminus of GPIb-alpha,as indicated by antibody inhibition and direct binding of 14-3-3zeta to synthetic GPIb-alpha cytoplasmic domain peptides.The 14-3-3zeta binds to recombinant wild type GPIb-IX but not to the GPIb-alpha mutants lacking C-terminal
, 28304) Prime-It II Random Primer Labeling Kit (Stratagene, 300385) [alpha-32P]dCTP (ICN) Salmon Sperm DNA (Stratagene, 201190) SDS solution, 20% w/v (Bio-Rad, 161-0418) Zeta-Probe Genomic Tested Blotting Membrane (nylon) (Bio-Rad, 162-0196) Gel Blot
技术资料暂无技术资料 索取技术资料










