相关产品推荐更多 >
万千商家帮你免费找货
0 人在求购买到急需产品
- 详细信息
- 技术资料
- 抗体名:
NCKX1 Antibody抗体
- 抗体英文名:
NCKX1 Antibody
- 应用范围:
IF, WB
- 宿主:
Rabbit
- 适应物种:
Human, Monkey, Mouse, Rat
- 保质期:
6-12个月
- 抗原来源:
详询
- 目录编号:
orb214876
- 级别:
科研级
- 库存:
88
- 供应商:
biorbyt
- 标记物:
Unconjugated
- 克隆性:
Polyclonal
- 形态:
Liquid in 0.42% Potassium phosphate, 0.87% Sodium chloride, pH 7.3, 30% glycerol, and 0.01% sodium azide.
- 免疫原:
KLH-conjugated synthetic peptide encompassing a sequence within the center region of human NCKX1. The exact sequence is proprietary.
- 规格:
30 ul
产品描述:The NCKX1 Antibody is suitable for IF, WB. It is a Polyclonal, Unconjugated antibody which raised against KLH-conjugated synthetic peptide encompassing a sequence within the center region of human NCKX1. The exact sequence is proprietary. Purification: The antibody was purified by immunogen affinity chromatography.
别名:KIAA0702; NCKX1; Sodium/potassium/calcium exchanger 1; Na(+)/K(+)/Ca(2+)-exchange protein 1; Retinal rod Na-Ca+K exchanger; Solute carrier family 24 member 1
免疫原:KLH-conjugated synthetic peptide encompassing a sequence within the center region of human NCKX1. The exact sequence is proprietary.
应用稀释比例:WB: 1-500-1-1000, IF/ICC: 1-100-1-500
纯化:The antibody was purified by immunogen affinity chromatography.
保存说明:Maintain refrigerated at 2-8°C for up to 2 weeks. For long term storage store at -20°C in small aliquots to prevent freeze-thaw cycles.
Entrez:9187
UniProt ID:O60721
Note:For research use only.


别名:KIAA0702; NCKX1; Sodium/potassium/calcium exchanger 1; Na(+)/K(+)/Ca(2+)-exchange protein 1; Retinal rod Na-Ca+K exchanger; Solute carrier family 24 member 1
免疫原:KLH-conjugated synthetic peptide encompassing a sequence within the center region of human NCKX1. The exact sequence is proprietary.
应用稀释比例:WB: 1-500-1-1000, IF/ICC: 1-100-1-500
纯化:The antibody was purified by immunogen affinity chromatography.
保存说明:Maintain refrigerated at 2-8°C for up to 2 weeks. For long term storage store at -20°C in small aliquots to prevent freeze-thaw cycles.
Entrez:9187
UniProt ID:O60721
Note:For research use only.

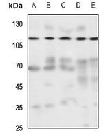
Western blot analysis of NCKX1 expression in Hela (A), H446 (B), H1688 (C), mouse testis (D), rat testis (E) whole cell lysates. (Predicted band size: 121 kD; Observed band size: 121 kD)

Immunofluorescent analysis of NCKX1 staining in HeLa cells. Formalin-fixed cells were permeabilized with 0.1% Triton X-100 in TBS for 5-10 minutes and blocked with 3% BSA-PBS for 30 minutes at room temperature. Cells were probed with the primary antibody in 3% BSA-PBS and incubated overnight at 4 °C in a humidified chamber. Cells were washed with PBST and incubated with a DyLight 594-conjugated secondary antibody (red) in PBS at room temperature in the dark. DAPI was used to stain the cell nuclei (blue).
风险提示:丁香通仅作为第三方平台,为商家信息发布提供平台空间。用户咨询产品时请注意保护个人信息及财产安全,合理判断,谨慎选购商品,商家和用户对交易行为负责。对于医疗器械类产品,请先查证核实企业经营资质和医疗器械产品注册证情况。
技术资料暂无技术资料 索取技术资料
NCKX1 Antibody抗体,orb214876,biorbyt
¥1560








![PSMC3 antibody [N1C2]抗体,orb556624,biorbyt](https://img1.dxycdn.com/p/s14/2025/1204/381/8001351760443146991.jpg!wh200)

