相关产品推荐更多 >
万千商家帮你免费找货
0 人在求购买到急需产品
- 详细信息
- 技术资料
- 抗体名:
PSMC3 antibody [N1C2]抗体
- 抗体英文名:
PSMC3 antibody [N1C2]
- 靶点:
PSMC3
- 浓度:
1 mg/ml
- 应用范围:
ICC, IHC, IHC-P, WB
- 宿主:
Rabbit
- 适应物种:
Human, Zebrafish
- 保质期:
6-12个月
- 抗原来源:
详询
- 目录编号:
orb556624
- 级别:
科研级
- 库存:
88
- 供应商:
biorbyt
- 标记物:
Unconjugated
- 克隆性:
Polyclonal
- 形态:
Liquid: 0.1M Tris, 0.1M Glycine, 10% Glycerol (pH7). 0.01% Thimerosal was added as a preservative.
- 亚型:
IgG
- 免疫原:
Recombinant protein encompassing a sequence within the center region of human PSMC3. The exact sequence is proprietary.
- 规格:
100 ul
产品描述:Rabbit polyclonal antibody to PSMC3
别名:proteasome 26S subunit, ATPase 3 , TBP1
免疫原:Recombinant protein encompassing a sequence within the center region of human PSMC3. The exact sequence is proprietary.
分子量:49
应用稀释比例:WB: 1:5000-1:20000 , IF: 1:100-1:1000 , IHC-P: 1:100-1:1000
应用注释:Positive control: Molt-4
纯度:Purified by antigen-affinity chromatography.
防腐剂:0.01% Thimerosal. 0.1M Tris-Glycine (pH7), 10% Glycerol
纯化:Purified by antigen-affinity chromatography.
保存说明:Store as concentrated solution. Centrifuge briefly prior to opening vial. For short-term storage (1-2 weeks), store at 4°C. For long-term storage, aliquot and store at -20°lC or below. Avoid multiple freeze-thaw cycles.
UniProt ID:P17980
Note:For research use only.
![PSMC3 antibody [N1C2]抗体,orb556](https://img1.dxycdn.com/p/s14/2025/1204/201/6712067861154756991.jpg)
![PSMC3 antibody [N1C2]抗体,orb556](https://img1.dxycdn.com/p/s14/2025/1204/100/4264976752154756991.jpg)
![PSMC3 antibody [N1C2]抗体,orb556](https://img1.dxycdn.com/p/s14/2025/1204/491/0656247864154756991.jpg)
别名:proteasome 26S subunit, ATPase 3 , TBP1
免疫原:Recombinant protein encompassing a sequence within the center region of human PSMC3. The exact sequence is proprietary.
分子量:49
应用稀释比例:WB: 1:5000-1:20000 , IF: 1:100-1:1000 , IHC-P: 1:100-1:1000
应用注释:Positive control: Molt-4
纯度:Purified by antigen-affinity chromatography.
防腐剂:0.01% Thimerosal. 0.1M Tris-Glycine (pH7), 10% Glycerol
纯化:Purified by antigen-affinity chromatography.
保存说明:Store as concentrated solution. Centrifuge briefly prior to opening vial. For short-term storage (1-2 weeks), store at 4°C. For long-term storage, aliquot and store at -20°lC or below. Avoid multiple freeze-thaw cycles.
UniProt ID:P17980
Note:For research use only.
![PSMC3 antibody [N1C2]抗体,orb556](https://img1.dxycdn.com/p/s14/2025/1204/201/6712067861154756991.jpg)
Immunofluorescence analysis of A549 cells using PSMC3 antibody
![PSMC3 antibody [N1C2]抗体,orb556](https://img1.dxycdn.com/p/s14/2025/1204/100/4264976752154756991.jpg)
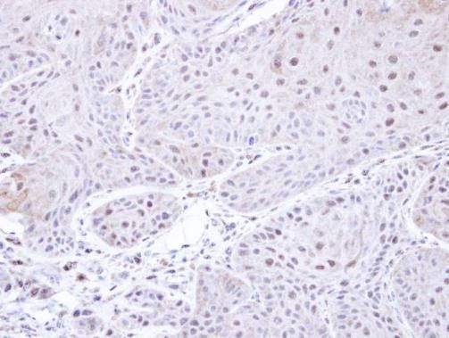
Immunohistochemical staining of Cal27 Xenograft using PSMC3 antibody
![PSMC3 antibody [N1C2]抗体,orb556](https://img1.dxycdn.com/p/s14/2025/1204/491/0656247864154756991.jpg)
Western blot analysis of MOLT4 cells using PSMC3 antibody
风险提示:丁香通仅作为第三方平台,为商家信息发布提供平台空间。用户咨询产品时请注意保护个人信息及财产安全,合理判断,谨慎选购商品,商家和用户对交易行为负责。对于医疗器械类产品,请先查证核实企业经营资质和医疗器械产品注册证情况。
技术资料暂无技术资料 索取技术资料
PSMC3 antibody [N1C2]抗体,orb556624,biorbyt
¥6890


![PSMC3 antibody [N1C2]抗体,orb556624,biorbyt](https://img1.dxycdn.com/p/s14/2025/1204/381/8001351760443146991.jpg)







