相关产品推荐更多 >
万千商家帮你免费找货
0 人在求购买到急需产品
- 详细信息
- 技术资料
- 抗体名:
SOX2 antibody抗体
- 抗体英文名:
SOX2 antibody
- 靶点:
SOX2
- 浓度:
- 100 μg (in 200 μl): 0.5 mg/ml- 200 μg (in 400 μl): 0.5 mg/ml
- 应用范围:
IHC-P, WB
- 宿主:
Rabbit
- 适应物种:
Human, Mouse, Rat
- 保质期:
6-12个月
- 抗原来源:
详询
- 目录编号:
orb33646
- 级别:
科研级
- 库存:
88
- 供应商:
biorbyt
- 标记物:
Unconjugated
- 克隆性:
Polyclonal
- 形态:
10 mM PBS, 0.02% sodium azide
- 亚型:
IgG
- 免疫原:
KLH conjugated synthetic peptide derived from human SOX2. Please contact us for the exact immunogen sequence. The peptide is available as orb12925.
- 规格:
100 ug
产品描述:SOX2 antibody
别名:Anti-Transcription factor SOX-2 antibody
免疫原:KLH conjugated synthetic peptide derived from human SOX2. Please contact us for the exact 免疫原 sequence. The peptide is available as orb12925.
分子量:34 kDa
应用稀释比例:WB: 1:100-500, IHC-P: 1:100-500
纯度:Polyclonal antibodies are purified by peptide affinity chromatography
保存说明:Maintain refrigerated at 2-8°C for up to 2 weeks. For long term storage store at -20°C in small aliquots to prevent freeze-thaw cycles.
NCBI:11, 003106, 003097, 31
Entrez:6657
UniProt ID:P48431
Note:For research use only.









别名:Anti-Transcription factor SOX-2 antibody
免疫原:KLH conjugated synthetic peptide derived from human SOX2. Please contact us for the exact 免疫原 sequence. The peptide is available as orb12925.
分子量:34 kDa
应用稀释比例:WB: 1:100-500, IHC-P: 1:100-500
纯度:Polyclonal antibodies are purified by peptide affinity chromatography
保存说明:Maintain refrigerated at 2-8°C for up to 2 weeks. For long term storage store at -20°C in small aliquots to prevent freeze-thaw cycles.
NCBI:11, 003106, 003097, 31
Entrez:6657
UniProt ID:P48431
Note:For research use only.

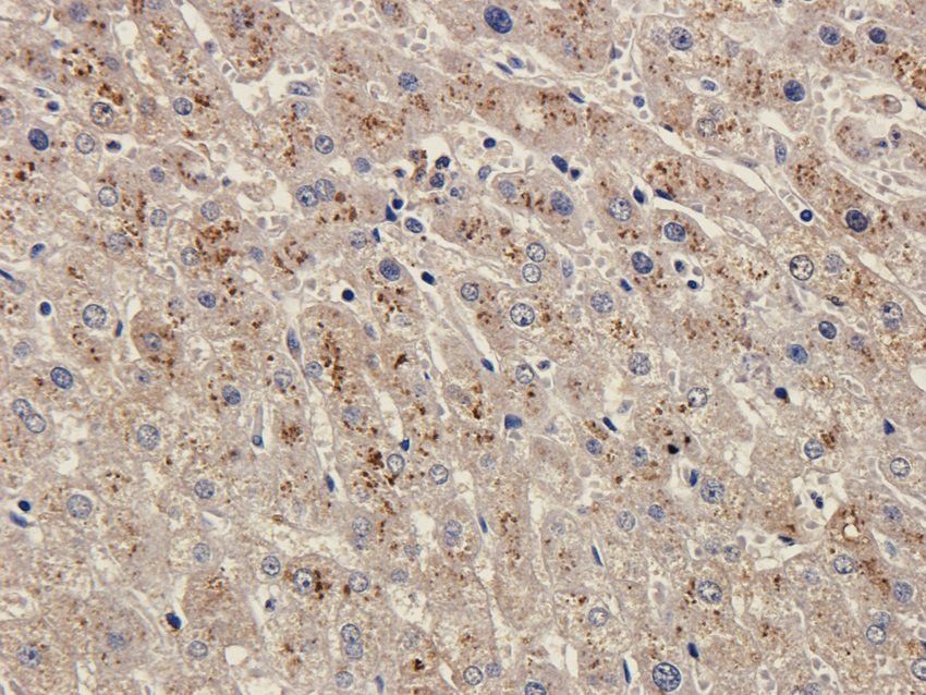
Immunohistochemical staining of human liver tissue using SOX2 antibody (2.5 ug/ml)

Immunohistochemical staining of human stomach tissue using anti-SOX2 (2.5 ug/ml)

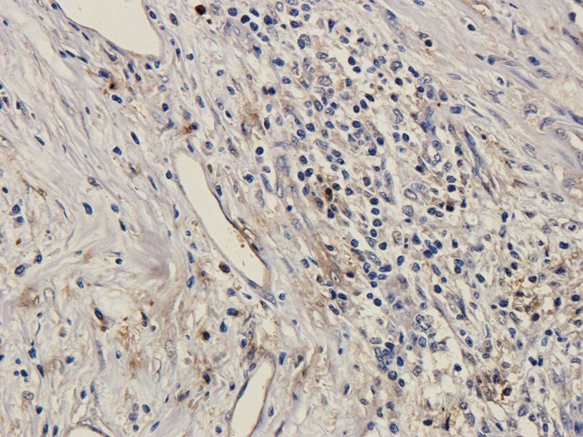
Immunohistochemical staining of paraffin embedded human prostate cancer tissue using anti-SOX2 (2.5 ug/ml)

IHC-P image of human liver cancer tissue using SOX2 antibody (2.5 ug/ml)

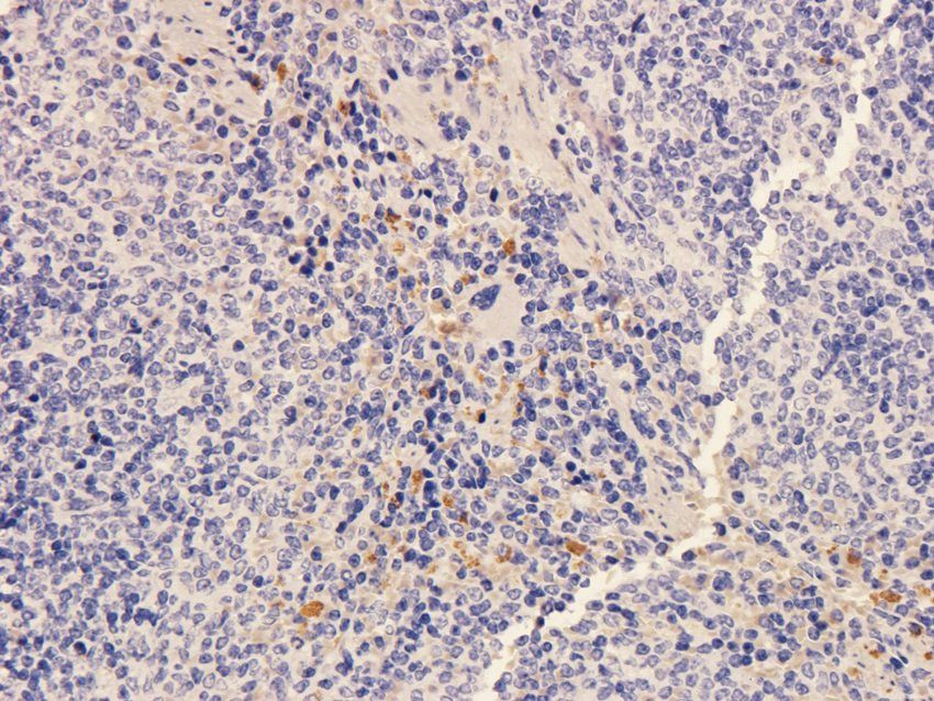
IHC-P staining of mouse spleen tissue using SOX2 antibody (2.5 ug/ml)

IHC-P staining of rat spleen tissue using SOX2 antibody (2.5 ug/ml)

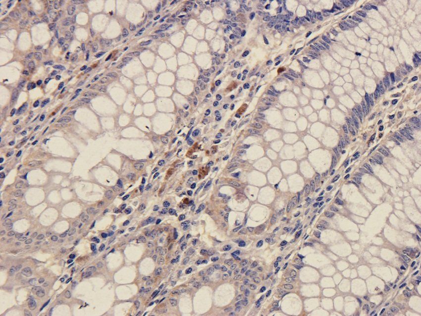
Immunohistochemical staining of human colon tissue using anti-SOX2 (2.5 ug/ml)

Western blot analysis of mouse brain (lane 1), mouse lung (lane 2), human lung cancer (lane 3), rat stomach (lane 4), human breast cancer (lane 5) using SOX2 antibody (1 ug/ml)

Immunohistochemical staining of human stomach cancer tissue using SOX2 antibody (2.5 ug/ml)
风险提示:丁香通仅作为第三方平台,为商家信息发布提供平台空间。用户咨询产品时请注意保护个人信息及财产安全,合理判断,谨慎选购商品,商家和用户对交易行为负责。对于医疗器械类产品,请先查证核实企业经营资质和医疗器械产品注册证情况。
技术资料暂无技术资料 索取技术资料
SOX2 antibody抗体,orb33646,biorbyt
¥3640










