相关产品推荐更多 >
万千商家帮你免费找货
0 人在求购买到急需产品
- 详细信息
- 技术资料
- 抗体名:
USP3 Antibody (N-term)抗体
- 抗体英文名:
USP3 Antibody (N-term)
- 靶点:
USP3
- 应用范围:
IHC-P, WB
- 宿主:
Rabbit
- 适应物种:
Human
- 保质期:
6-12个月
- 抗原来源:
详询
- 目录编号:
orb33726
- 级别:
科研级
- 库存:
88
- 供应商:
biorbyt
- 标记物:
Unconjugated
- 克隆性:
Polyclonal
- 保存条件:
参考说明书
- 形态:
Purified polyclonal antibody supplied in PBS with 0.09% (W/V) sodium azide. This antibody is prepared by Saturated Ammonium Sulfate (SAS) precipitation followed by dialysis against PBS.
- 亚型:
Rabbit IgG
- 免疫原:
Synthetic Peptide
- 规格:
80 ul
产品描述:Purified rabbit polyclonal antibody.
别名:Ubiquitin carboxyl-terminal hydrolase 3, Deubiquitinating enzyme 3, Ubiquitin thioesterase 3, Ubiquitin-specific-processing protease 3, USP3
免疫原:Synthetic Peptide
克隆性:RB4205/4206
分子量:58897
应用稀释比例:IHC-P: 1:50-100, WB: 1:1000
保存说明:Maintain refrigerated at 2-8°C for up to 2 weeks. For long term storage store at -20°C in small aliquots to prevent freeze-thaw cycles
NCBI:NP_006528.2, NP_001243631.1
UniProt ID:Q9Y6I4
Note:For research use only.


别名:Ubiquitin carboxyl-terminal hydrolase 3, Deubiquitinating enzyme 3, Ubiquitin thioesterase 3, Ubiquitin-specific-processing protease 3, USP3
免疫原:Synthetic Peptide
克隆性:RB4205/4206
分子量:58897
应用稀释比例:IHC-P: 1:50-100, WB: 1:1000
保存说明:Maintain refrigerated at 2-8°C for up to 2 weeks. For long term storage store at -20°C in small aliquots to prevent freeze-thaw cycles
NCBI:NP_006528.2, NP_001243631.1
UniProt ID:Q9Y6I4
Note:For research use only.

Western blot analysis of anti-USP3 Antibody (N-term) in 293 cell line lysates (35 ug/lane). USP3 (arrow) was detected using the purified Pab.

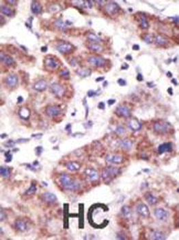
Formalin-fixed and paraffin-embedded human cancer tissue reacted with the primary antibody, which was peroxidase-conjugated to the secondary antibody, followed by DAB staining. This data demonstrates the use of this antibody for immunohistochemistry; clinical relevance has not been evaluated. BC = breast carcinoma; HC = hepatocarcinoma.
风险提示:丁香通仅作为第三方平台,为商家信息发布提供平台空间。用户咨询产品时请注意保护个人信息及财产安全,合理判断,谨慎选购商品,商家和用户对交易行为负责。对于医疗器械类产品,请先查证核实企业经营资质和医疗器械产品注册证情况。
技术资料暂无技术资料 索取技术资料
USP3 Antibody (N-term)抗体,orb33726,biorbyt
¥3900










