相关产品推荐更多 >
万千商家帮你免费找货
0 人在求购买到急需产品
- 详细信息
- 技术资料
- 抗体名:
CD48 Antibody 抗体
- 抗体英文名:
CD48 Antibody
- 靶点:
CD48
- 浓度:
250 µg/ml
- 应用范围:
ICC, IHC, WB
- 宿主:
Rabbit
- 适应物种:
Mouse
- 保质期:
6-12个月
- 抗原来源:
详询
- 目录编号:
orb1784565
- 级别:
科研
- 库存:
99
- 供应商:
Biorbyt
- 标记物:
Unconjugated
- 克隆性:
RECOMBINANT
- 保存条件:
Shelf Life: 1 year from date of receipt, Storage: 2 - 8°C
- 形态:
Whole IgG
- 免疫原:
residues 23-216 (ECD)
- 规格:
100 ul (50+ tests)
CD48 Antibody
产品名:CD48 Antibody
货号:orb1784565
产品中文名:CD48 Antibody 抗体
产品详情链接:https://www.biorbyt.com/cd48-antibody-orb1784565.html
Detection of mouse CD48 by western blot. Samples: Whole cell lysate (25 µg) from 70Z/3, WEHI-231, CTLL-2, A20, and EL4 cells prepared using NETN lysis buffer. Antibody: Rabbit anti-CD48 recombinant monoclonal antibody (orb1784565) used at 1:1000. Secondary: HRP-conjugated goat anti-rabbit IgG. Detection: Chemiluminescence with an exposure time of 3 seconds. Lower Panel: Rabbit anti-Actin recombinant monoclonal antibody.
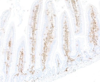
Detection of mouse CD48 by immunohistochemistry. Sample: FFPE section of mouse gut. Antibody: Rabbit anti-CD48 recombinant monoclonal antibody (orb1784565). Secondary: HRP-conjugated goat anti-rabbit IgG.
Detection of mouse CD48 by immunocytochemistry. Sample: FFPE section of WEHI-231 cells. Antibody: Rabbit anti-CD48 recombinant monoclonal antibody (orb1784565). Secondary: HRP-conjugated goat anti-rabbit IgG.
风险提示:丁香通仅作为第三方平台,为商家信息发布提供平台空间。用户咨询产品时请注意保护个人信息及财产安全,合理判断,谨慎选购商品,商家和用户对交易行为负责。对于医疗器械类产品,请先查证核实企业经营资质和医疗器械产品注册证情况。
技术资料暂无技术资料 索取技术资料
CD48 Antibody 抗体,orb1784565,Biorbyt
¥9035










