产品封面图

CD4 Recombinant Rabbit Monoclo

nal Antibody抗体,orb612230,biorbyt
收藏
  • ¥2600
  • biorbyt已认证
  • orb612230
  • 英国
  • 2025年12月04日
  • FC, IF, IHC-Fr, IHC-P, WB
  • Rabbit
  • Human
avatar
品牌商
13钻石会员
  • 企业认证

    点击 QQ 联系

    • 详细信息
    • 文献和实验
    • 技术资料
    • 抗体名

      CD4 Recombinant Rabbit Monoclonal Antibody抗体

    • 抗体英文名

      CD4 Recombinant Rabbit Monoclonal Antibody

    • 靶点

      CD4

    • 浓度

      1mg/ml

    • 应用范围

      FC, IF, IHC-Fr, IHC-P, WB

    • 宿主

      Rabbit

    • 适应物种

      Human

    • 保质期

      6-12个月

    • 抗原来源

      详询

    • 目录编号

      orb612230

    • 级别

      科研级

    • 库存

      88

    • 供应商

      biorbyt

    • 标记物

      Unconjugated

    • 克隆性

      Recombinant

    • 形态

      Liquid

    • 亚型

      IgG

    • 免疫原

      A synthesized peptide derived from human CD4 (200-400aa)

    • 规格

      25 ul

    产品描述:CD4 Recombinant Rabbit Monoclonal Antibody

    别名:CD4(L3T4); CD4 antigen(p55); CD4 Antigen; CD4 molecule; CD4 Receptor; CD4+Lymphocyte deficiency, included; CD4mut; L3T4; Leu3; Ly-4; Lymphocyte antigen CD4; MGC165891; p55; T Cell Antigen T4; T cell antigen T4/LEU3; T cell differentiation antigen L3T4; T cell OKT4 deficiency, included; T cell surface antigen T4/Leu 3; T cell surface antigen T4/Leu3; T Cell Surface Glycoprotein CD4; W3/25; W3/25 antigen; T-cell surface glycoprotein CD4 isoform 1 precursor; CD4_Human.

    免疫原:A synthesized peptide derived from human CD4 (200-400aa)

    克隆性:65H6

    分子量:48 kDa

    应用稀释比例:WB=1:500-2000, IHC-P=1:100-500, IHC-F=1:100-500, IF=1:100-500, Flow-Cyt=1ug/Test

    防腐剂:0.01M TBS (pH7.4) with 1% rAlbumin, 0.02% Proclin300 and 50% Glycerol.

    纯化:Affinity purified by Protein A

    保存说明:Maintain refrigerated at 2-8°C for up to 2 weeks. For long term storage store at -20°C in small aliquots to prevent freeze-thaw cycles.

    UniProt ID:P01730

    Note:For research use only.

    产品细节图片1
    Sample: Lane 1: Human Jurkat cell lysates, Primary: Anti-CD4 (orb612230) at 1/1000 dilution, Secondary: IRDye800CW Goat Anti-Rabbit IgG at 1/20000 dilution, Predicted band size: 48 kDa, Observed band size: 56 kDa.

    产品细节图片2
    Sample: Lane 1: U937 (Human) Cell Lysate at 30 ug, Lane 2: Jurkat (Human) Cell Lysate at 30 ug, Primary: Anti-CD4 (orb612230) at 1/1000 dilution, Secondary: IRDye800CW Goat Anti-Rabbit IgG at 1/20000 dilution, Predicted band size: 55 kD, Observed band size: 52 kD.

    产品细节图片3
    Blank control: Jurkat. Primary Antibody (green line): Rabbit Anti-CD4 antibody (orb612230), dilution: 1 ug/Test, Secondary Antibody (white blue line): Goat anti-rabbit IgG-AF488, dilution: 0.5 ug/Test. Isotype control (orange line): Normal Rabbit IgG, Protocol, The cells were incubated in 5% BSA to block non-specific protein-protein interactions for 30 min at room temperature. Cells stained with Primary Antibody for 30 min at room temperature. The secondary antibody used for 40 min at room temperature. Acquisition of 20000 events was performed.

    产品细节图片4
    Cell line: Jurkat, Fixative: 4% Fixative, Permeabilization: 90% methanol, Primary ab, dilution: 1:100, Secondary ab: Goat anti Rabbit IgG, Unlabelled control: The cell without incubation, with primary antibody and secondary antibody (Black line). Isotype control: Rabbit monoclonal IgG (Blue line). Comment: Line red is the positive signal for orb612230.

    产品细节图片5
    Fixative-fixed, paraffin embedded (human appendix), Antigen retrieval by boiling in sodium citrate buffer (pH6.0) for 15 min, Block endogenous peroxidase by 3% hydrogen peroxide for 20 minutes, Blocking buffer (normal goat serum) at 37°C for 30 min, Antibody incubation with (CD4) Monoclonal Antibody, Unconjugated (orb612230) at 1:100 overnight at 4°C, followed by operating according to SP Kit (Rabbit) instructionsand DAB staining.

    产品细节图片6
    Fixative-fixed, paraffin embedded (human colon carcinoma), Antigen retrieval by boiling in sodium citrate buffer (pH6.0) for 15 min, Block endogenous peroxidase by 3% hydrogen peroxide for 20 minutes, Blocking buffer (normal goat serum) at 37°C for 30 min, Antibody incubation with (CD4) Monoclonal Antibody, Unconjugated (orb612230) at 1:100 overnight at 4°C, followed by operating according to SP Kit (Rabbit) instructionsand DAB staining.

    产品细节图片7
    Fixative-fixed, paraffin embedded (human gastric carcinoma), Antigen retrieval by boiling in sodium citrate buffer (pH6.0) for 15 min, Block endogenous peroxidase by 3% hydrogen peroxide for 20 minutes, Blocking buffer (normal goat serum) at 37°C for 30 min, Antibody incubation with (CD4) Monoclonal Antibody, Unconjugated (orb612230) at 1:100 overnight at 4°C, followed by operating according to SP Kit (Rabbit) instructionsand DAB staining.

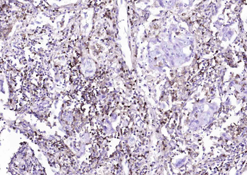
    产品细节图片8
    Fixative-fixed, paraffin embedded (human lung carcinoma), Antigen retrieval by boiling in sodium citrate buffer (pH6.0) for 15 min, Block endogenous peroxidase by 3% hydrogen peroxide for 20 minutes, Blocking buffer (normal goat serum) at 37°C for 30 min, Antibody incubation with (CD4) Monoclonal Antibody, Unconjugated (orb612230) at 1:100 overnight at 4°C, followed by operating according to SP Kit (Rabbit) instructionsand DAB staining.

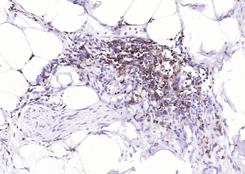
    产品细节图片9
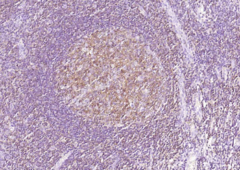
    Fixative-fixed, paraffin embedded (human spleen), Antigen retrieval by boiling in sodium citrate buffer (pH6.0) for 15 min, Block endogenous peroxidase by 3% hydrogen peroxide for 20 minutes, Blocking buffer (normal goat serum) at 37°C for 30 min, Antibody incubation with (CD4) Monoclonal Antibody, Unconjugated (orb612230) at 1:100 overnight at 4°C, followed by operating according to SP Kit (Rabbit) instructionsand DAB staining.

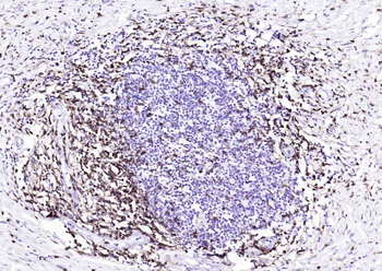
    产品细节图片10
    Fixative-fixed, paraffin embedded (human tonsil), Antigen retrieval by boiling in sodium citrate buffer (pH6.0) for 15 min, Block endogenous peroxidase by 3% hydrogen peroxide for 20 minutes, Blocking buffer (normal goat serum) at 37°C for 30 min, Antibody incubation with (CD4) Monoclonal Antibody, Unconjugated (orb612230) at 1:100 overnight at 4°C, followed by operating according to SP Kit (Rabbit) instructionsand DAB staining.

    风险提示:丁香通仅作为第三方平台,为商家信息发布提供平台空间。用户咨询产品时请注意保护个人信息及财产安全,合理判断,谨慎选购商品,商家和用户对交易行为负责。对于医疗器械类产品,请先查证核实企业经营资质和医疗器械产品注册证情况。

    图标文献和实验
    相关实验
    • 如何做出一手漂亮的 WB 结果?

      到 PVDF 膜上,同时减少蛋白不必要降解,这对于最终获得清晰、可信结果也是需要考虑因素。抗体信息:1.ACC1, Recombinant Rabbit monoclonal IgG. HuaAn. HuaAn biotechnology , inc.2.ATGL, Mouse mAb IgG1, Cat#:RT1058. HuaAn biotechnology , inc.3.p-PERK(Thr981), Rabbit Polyclonal IgG primary antibodies, Cat

    • 请教CASPASE 3抗体的选择?急

      我准备做凋亡过程中CASPASE 3的变化,用WESTERN检测。我准备买SANTA CRUZ的抗体。有两种,一种是单抗,另一种是多抗。具体如下: 1.caspase-3 (E-8): sc-7272 SOURCE Caspase-3 (E-8) is a mouse monoclonal IgG2a antibody corresponding to amino acids 1-277 representing the full length precursor form

    • [分享] HIV分子免疫学(PDF格式)电子书下载

      Approaches to the Identification of Novel Epitopes Christian Brander, and Philip J. R. Goulder Clinical Trials of HIV Vaccines Barney S. Graham Recombinant HIV Sequences: Their Role in the Global Epidemic Martine Peeters The Characterization of HIV

    图标技术资料

    暂无技术资料 索取技术资料

    同类产品报价

    产品名称
    产品价格
    公司名称
    报价日期
    ¥8710
    武汉博欧特生物科技有限公司
    2025年12月08日询价
    ¥1800
    爱必信(上海)生物科技有限公司
    2025年06月20日询价
    询价
    上海优宁维生物科技股份有限公司
    2025年11月25日询价
    ¥7683.98
    深圳欣博盛生物科技有限公司
    2025年07月10日询价
    询价
    赛默飞世尔科技
    2025年07月12日询价
    CD4 Recombinant Rabbit Monoclonal Antibody抗体,orb612230,biorbyt
    ¥2600