相关产品推荐更多 >
万千商家帮你免费找货
0 人在求购买到急需产品
- 详细信息
- 技术资料
- 抗体名:
Cytokeratin 5 Recombinant Rabbit Monoclonal Antibody抗体
- 抗体英文名:
Cytokeratin 5 Recombinant Rabbit Monoclonal Antibody
- 靶点:
KRT5
- 浓度:
1mg/ml
- 应用范围:
ICC, IF, IHC-Fr, IHC-P, WB
- 宿主:
Rabbit
- 适应物种:
Human, Mouse, Rat
- 保质期:
6-12个月
- 抗原来源:
详询
- 目录编号:
orb559074
- 级别:
科研级
- 库存:
88
- 供应商:
biorbyt
- 标记物:
Unconjugated
- 克隆性:
Recombinant
- 形态:
Liquid
- 亚型:
IgG
- 免疫原:
A synthesized peptide derived from human Cytokeratin 5 (550-590aa)
- 规格:
50 ul
产品描述:Cytokeratin 5 Recombinant Rabbit Monoclonal Antibody
别名:Active () Monoclonal Antibody Primary Antibody Unconjugated Rabbit Cytokeratin 5 Unmodified "WB(1:1000-2000)ICC(1:50-200); IHC(1:50-200); "
免疫原:A synthesized peptide derived from human Cytokeratin 5 (550-590aa)
预测反应性:Rat
克隆性:2H5
分子量:64 kDa
应用稀释比例:WB=1:1000-5000, IHC-P=1:500-2000, IHC-F=1:200-1000, ICC/IF=1:100-500, IF=1:200-1000
防腐剂:0.01M TBS (pH7.4) with 1% rAlbumin, 0.02% Proclin300 and 50% Glycerol.
纯化:Affinity purified by Protein A
保存说明:Maintain refrigerated at 2-8°C for up to 2 weeks. For long term storage store at -20°C in small aliquots to prevent freeze-thaw cycles.
UniProt ID:P13647
Note:For research use only.






别名:Active () Monoclonal Antibody Primary Antibody Unconjugated Rabbit Cytokeratin 5 Unmodified "WB(1:1000-2000)ICC(1:50-200); IHC(1:50-200); "
免疫原:A synthesized peptide derived from human Cytokeratin 5 (550-590aa)
预测反应性:Rat
克隆性:2H5
分子量:64 kDa
应用稀释比例:WB=1:1000-5000, IHC-P=1:500-2000, IHC-F=1:200-1000, ICC/IF=1:100-500, IF=1:200-1000
防腐剂:0.01M TBS (pH7.4) with 1% rAlbumin, 0.02% Proclin300 and 50% Glycerol.
纯化:Affinity purified by Protein A
保存说明:Maintain refrigerated at 2-8°C for up to 2 weeks. For long term storage store at -20°C in small aliquots to prevent freeze-thaw cycles.
UniProt ID:P13647
Note:For research use only.

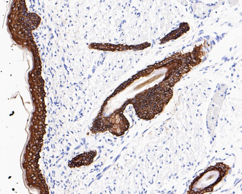
paraffin embedded (Human skin cancer), Antigen retrieval by boiling in sodium citrate buffer (pH6.0) for 15 min, Block endogenous peroxidase by 3% hydrogen peroxide for 20 minutes, Blocking buffer (normal goat serum) at 37°C for 30 min, Antibody incubation with (Cytokeratin 5) Polyclonal Antibody, Unconjugated (orb559074) at 1:200 overnight at 4°C, followed by operating according to SP Kit (Rabbit) instructionsand DAB staining.

Fixative-fixed, paraffin embedded (human skin), Antigen retrieval by boiling in sodium citrate buffer (pH6.0) for 15 min, Block endogenous peroxidase by 3% hydrogen peroxide for 20 minutes, Blocking buffer (normal goat serum) at 37°C for 30 min, Antibody incubation with (Cytokeratin 5) Monoclonal Antibody, Unconjugated (orb559074) at 1:50 overnight at 4°C, followed by operating according to SP Kit (Rabbit) instructionsand DAB staining.

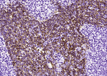
Fixative-fixed, paraffin embedded (human tonsil), Antigen retrieval by boiling in sodium citrate buffer (pH6.0) for 15 min, Block endogenous peroxidase by 3% hydrogen peroxide for 20 minutes, Blocking buffer (normal goat serum) at 37°C for 30 min, Antibody incubation with (Cytokeratin 5) Polyclonal Antibody, Unconjugated (orb559074) at 1:200 overnight at 4°C, followed by operating according to SP Kit (Rabbit) instructionsand DAB staining.

Fixative-fixed, paraffin embedded (mouse skin), Antigen retrieval by boiling in sodium citrate buffer (pH6.0) for 15 min, Block endogenous peroxidase by 3% hydrogen peroxide for 20 minutes, Blocking buffer (normal goat serum) at 37°C for 30 min, Antibody incubation with (Cytokeratin 5) Polyclonal Antibody, Unconjugated (orb559074) at 1:200 overnight at 4°C, followed by operating according to SP Kit (Rabbit) instructionsand DAB staining.

Fixative-fixed, paraffin embedded (mouse trachea), Antigen retrieval by boiling in sodium citrate buffer (pH6.0) for 15 min, Block endogenous peroxidase by 3% hydrogen peroxide for 20 minutes, Blocking buffer (normal goat serum) at 37°C for 30 min, Antibody incubation with (Cytokeratin 5) Polyclonal Antibody, Unconjugated (orb559074) at 1:200 overnight at 4°C, followed by operating according to SP Kit (Rabbit) instructionsand DAB staining.

Sample: Lane 1: human A431 cell lysates, Primary: Anti-Cytokeratin 5 (orb559074) at 1/500 dilution, Secondary: Goat Anti-Rabbit IgG - HRP at 1/5000 dilution, Predicted band size: 64 kD, Observed band size: 62 kD.
风险提示:丁香通仅作为第三方平台,为商家信息发布提供平台空间。用户咨询产品时请注意保护个人信息及财产安全,合理判断,谨慎选购商品,商家和用户对交易行为负责。对于医疗器械类产品,请先查证核实企业经营资质和医疗器械产品注册证情况。
技术资料暂无技术资料 索取技术资料
Cytokeratin 5 Recombinant Rabbit Monoclonal Antibody抗体,orb559074,biorbyt
¥4160










