相关产品推荐更多 >
万千商家帮你免费找货
0 人在求购买到急需产品
- 详细信息
- 技术资料
- 抗体名:
Patched Rabbit Polyclonal Antibody抗体
- 抗体英文名:
Patched Rabbit Polyclonal Antibody
- 靶点:
PTCH1
- 浓度:
1mg/ml
- 应用范围:
IF, IHC-Fr, IHC-P
- 宿主:
Rabbit
- 适应物种:
Human, Mouse
- 保质期:
6-12个月
- 抗原来源:
详询
- 目录编号:
orb526520
- 级别:
科研级
- 库存:
88
- 供应商:
biorbyt
- 标记物:
Unconjugated
- 克隆性:
Polyclonal
- 形态:
Liquid
- 亚型:
IgG
- 免疫原:
KLH conjugated synthetic peptide derived from human Patched (1351-1447/1447aa)
- 规格:
50 ul
产品描述:Patched Rabbit Polyclonal Antibody
别名:Protein patched homolog 1; PTCH; PTC1; A230106A15Rik; BCNS; FLJ26746; FLJ42602; Holoprosencephaly 7; HPE7; mes; NBCCS; OTTHUMP00000021709; OTTHUMP00000021710; Patched; Patched(Drosophila) homolog; Patched 1; Patched homolog(Drosophila); Patched homolog 1(Drosophila); Patched homolog 1; Patched protein homolog 1; PTC; PTC1; PTCH; PTCH protein+12b; PTCH protein+4'; PTCH protein-10; PTCH protein; PTCH1; PTCH1 protein; PTCH11; Ptch2; ; Patched/PTCH; PTC1_HUMAN.
免疫原:KLH conjugated synthetic peptide derived from human Patched (1351-1447/1447aa)
预测反应性:Bovine, Canine, Equine, Gallus, Porcine, Rat, Sheep
分子量:161 kDa
应用稀释比例:IHC-P=1:100-500, IHC-F=1:100-500, IF=1:100-500
防腐剂:0.01M TBS (pH7.4) with 1% rAlbumin, 0.02% Proclin300 and 50% Glycerol.
纯化:Affinity purified by Protein A
保存说明:Maintain refrigerated at 2-8°C for up to 2 weeks. For long term storage store at -20°C in small aliquots to prevent freeze-thaw cycles.
UniProt ID:Q13635
Note:For research use only.


别名:Protein patched homolog 1; PTCH; PTC1; A230106A15Rik; BCNS; FLJ26746; FLJ42602; Holoprosencephaly 7; HPE7; mes; NBCCS; OTTHUMP00000021709; OTTHUMP00000021710; Patched; Patched(Drosophila) homolog; Patched 1; Patched homolog(Drosophila); Patched homolog 1(Drosophila); Patched homolog 1; Patched protein homolog 1; PTC; PTC1; PTCH; PTCH protein+12b; PTCH protein+4'; PTCH protein-10; PTCH protein; PTCH1; PTCH1 protein; PTCH11; Ptch2; ; Patched/PTCH; PTC1_HUMAN.
免疫原:KLH conjugated synthetic peptide derived from human Patched (1351-1447/1447aa)
预测反应性:Bovine, Canine, Equine, Gallus, Porcine, Rat, Sheep
分子量:161 kDa
应用稀释比例:IHC-P=1:100-500, IHC-F=1:100-500, IF=1:100-500
防腐剂:0.01M TBS (pH7.4) with 1% rAlbumin, 0.02% Proclin300 and 50% Glycerol.
纯化:Affinity purified by Protein A
保存说明:Maintain refrigerated at 2-8°C for up to 2 weeks. For long term storage store at -20°C in small aliquots to prevent freeze-thaw cycles.
UniProt ID:Q13635
Note:For research use only.

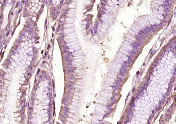
paraffin embedded (human gastric carcinoma), Antigen retrieval by boiling in sodium citrate buffer (pH6.0) for 15 min, Block endogenous peroxidase by 3% hydrogen peroxide for 20 minutes, Blocking buffer (normal goat serum) at 37°C for 30 min, Antibody incubation with (Patched) Polyclonal Antibody, Unconjugated (orb526520) at 1:400 overnight at 4°C, followed by operating according to SP Kit (Rabbit) instructionsand DAB staining.

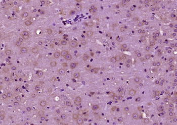
Fixative-fixed, paraffin embedded (mouse brain tissue), Antigen retrieval by boiling in sodium citrate buffer (pH6.0) for 15 min, Block endogenous peroxidase by 3% hydrogen peroxide for 20 minutes, Blocking buffer (normal goat serum) at 37°C for 30 min, Antibody incubation with (Patched) Polyclonal Antibody, Unconjugated (orb526520) at 1:400 overnight at 4°C, followed by operating according to SP Kit (Rabbit) instructionsand DAB staining.
风险提示:丁香通仅作为第三方平台,为商家信息发布提供平台空间。用户咨询产品时请注意保护个人信息及财产安全,合理判断,谨慎选购商品,商家和用户对交易行为负责。对于医疗器械类产品,请先查证核实企业经营资质和医疗器械产品注册证情况。
技术资料暂无技术资料 索取技术资料
Patched Rabbit Polyclonal Antibody抗体,orb526520,biorbyt
¥3120










