相关产品推荐更多 >
万千商家帮你免费找货
0 人在求购买到急需产品
- 详细信息
- 技术资料
- 抗体名:
Patched Rabbit Polyclonal Antibody抗体
- 抗体英文名:
Patched Rabbit Polyclonal Antibody
- 靶点:
PTCH1
- 浓度:
1mg/ml
- 应用范围:
ELISA, ICC, IF, IHC-Fr, IHC-P, WB
- 宿主:
Rabbit
- 适应物种:
Human, Mouse
- 保质期:
6-12个月
- 抗原来源:
详询
- 目录编号:
orb11316
- 级别:
科研级
- 库存:
88
- 供应商:
biorbyt
- 标记物:
Unconjugated
- 克隆性:
Polyclonal
- 保存条件:
参考产品说明书
- 形态:
Liquid
- 亚型:
IgG
- 免疫原:
KLH conjugated synthetic peptide derived from human Patched/PTCH (581-680/1447aa)
- 规格:
50 ul
产品描述:Patched Rabbit Polyclonal Antibody
别名:Protein patched homolog 1; PTCH; PTC1; A230106A15Rik; BCNS; FLJ26746; FLJ42602; Holoprosencephaly 7; HPE7; mes; NBCCS; OTTHUMP00000021709; OTTHUMP00000021710; Patched; Patched(Drosophila) homolog; Patched 1; Patched homolog(Drosophila); Patched homolog 1(Drosophila); Patched homolog 1; Patched protein homolog 1; PTC; PTC1; PTCH; PTCH protein+12b; PTCH protein+4'; PTCH protein-10; PTCH protein; PTCH1; PTCH1 protein; PTCH11; Ptch2; ; Patched/PTCH; PTC1_HUMAN.
免疫原:KLH conjugated synthetic peptide derived from human Patched/PTCH (581-680/1447aa)
预测反应性:Bovine, Equine, Gallus, Rabbit, Rat
分子量:161 kDa
应用稀释比例:WB=1:500-2000, IHC-P=1:100-500, IHC-F=1:100-500, ICC/IF=1:100-500, IF=1:100-500, ELISA=1:5000-10000
防腐剂:0.01M TBS (pH7.4) with 1% rAlbumin, 0.02% Proclin300 and 50% Glycerol.
纯化:Affinity purified by Protein A
保存说明:Maintain refrigerated at 2-8°C for up to 2 weeks. For long term storage store at -20°C in small aliquots to prevent freeze-thaw cycles.
UniProt ID:Q13635
Note:For research use only.


别名:Protein patched homolog 1; PTCH; PTC1; A230106A15Rik; BCNS; FLJ26746; FLJ42602; Holoprosencephaly 7; HPE7; mes; NBCCS; OTTHUMP00000021709; OTTHUMP00000021710; Patched; Patched(Drosophila) homolog; Patched 1; Patched homolog(Drosophila); Patched homolog 1(Drosophila); Patched homolog 1; Patched protein homolog 1; PTC; PTC1; PTCH; PTCH protein+12b; PTCH protein+4'; PTCH protein-10; PTCH protein; PTCH1; PTCH1 protein; PTCH11; Ptch2; ; Patched/PTCH; PTC1_HUMAN.
免疫原:KLH conjugated synthetic peptide derived from human Patched/PTCH (581-680/1447aa)
预测反应性:Bovine, Equine, Gallus, Rabbit, Rat
分子量:161 kDa
应用稀释比例:WB=1:500-2000, IHC-P=1:100-500, IHC-F=1:100-500, ICC/IF=1:100-500, IF=1:100-500, ELISA=1:5000-10000
防腐剂:0.01M TBS (pH7.4) with 1% rAlbumin, 0.02% Proclin300 and 50% Glycerol.
纯化:Affinity purified by Protein A
保存说明:Maintain refrigerated at 2-8°C for up to 2 weeks. For long term storage store at -20°C in small aliquots to prevent freeze-thaw cycles.
UniProt ID:Q13635
Note:For research use only.

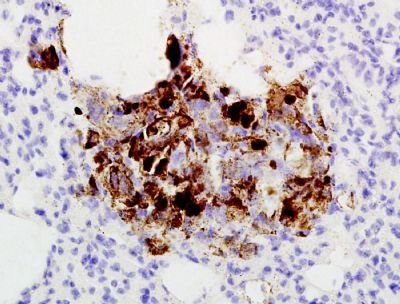
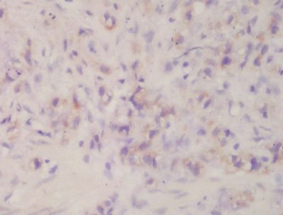
Immunohistochemical staining of mouse lung tissue using Patched-PTCH antibody.

Immunohistochemical staining of Human carcinoma tissue using Patched-PTCH antibody.
风险提示:丁香通仅作为第三方平台,为商家信息发布提供平台空间。用户咨询产品时请注意保护个人信息及财产安全,合理判断,谨慎选购商品,商家和用户对交易行为负责。对于医疗器械类产品,请先查证核实企业经营资质和医疗器械产品注册证情况。
技术资料暂无技术资料 索取技术资料
Patched Rabbit Polyclonal Antibody抗体,orb11316,biorbyt
¥3120










