相关产品推荐更多 >
万千商家帮你免费找货
0 人在求购买到急需产品
- 详细信息
- 文献和实验
- 技术资料
- 抗体名:
PLIN2 Antibody抗体
- 抗体英文名:
PLIN2 Antibody
- 靶点:
PLIN2
- 应用范围:
ELISA, IHC, WB
- 宿主:
Mouse
- 适应物种:
Human
- 保质期:
6-12个月
- 抗原来源:
详询
- 目录编号:
orb394670
- 级别:
科研级
- 库存:
88
- 供应商:
biorbyt
- 标记物:
Unconjugated
- 克隆性:
Monoclonal
- 形态:
liquid
- 亚型:
IgG1
- 免疫原:
adipose differentiation-related protein
- 规格:
50 ug
产品描述:Mouse monoclonal antibody to ADRP.
别名:ADFP, Adipophilin, ADRP, Perilipin 2, PLIN2
免疫原:adipose differentiation-related protein
分子量:48 kDa
应用稀释比例:WB: 1:500-1:2000; IHC: 1:50-1:500
纯度:≥95% as determined by SDS-PAGE
纯化:Protein A+G purified
保存说明:Maintain refrigerated at 2-8°C for up to 2 weeks. For long term storage store at -20°C in small aliquots to prevent freeze-thaw cycles.
UniProt ID:Q99541
Note:For research use only.


别名:ADFP, Adipophilin, ADRP, Perilipin 2, PLIN2
免疫原:adipose differentiation-related protein
分子量:48 kDa
应用稀释比例:WB: 1:500-1:2000; IHC: 1:50-1:500
纯度:≥95% as determined by SDS-PAGE
纯化:Protein A+G purified
保存说明:Maintain refrigerated at 2-8°C for up to 2 weeks. For long term storage store at -20°C in small aliquots to prevent freeze-thaw cycles.
UniProt ID:Q99541
Note:For research use only.

human adipose tissue were subjected to SDS PAGE followed by western blot with orb394670 (ADRP Antibody) at dilution of 1:1000.

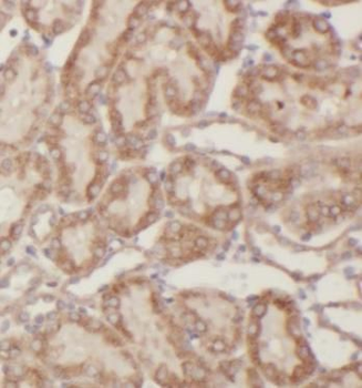
Immunohistochemistry of paraffin-embedded human renal cell carcinoma tissue slide using orb394670 (ADRP Antibody) at dilution of 1:200 heat mediated antigen retrieved with Tris-EDTA buffer (pH9).
风险提示:丁香通仅作为第三方平台,为商家信息发布提供平台空间。用户咨询产品时请注意保护个人信息及财产安全,合理判断,谨慎选购商品,商家和用户对交易行为负责。对于医疗器械类产品,请先查证核实企业经营资质和医疗器械产品注册证情况。
文献和实验相关实验
为什么营养不良也会得脂肪肝?Mol Cell:北大朱健课题组揭示必需氨基酸抵御脂肪肝病的作用机制
生命科学联合中心朱健课题组在 Molecular Cell 在线发表了题为 Amelioration of hepatic steatosis by dietary essential amino acid-induced ubiquitination 的研究论文。利用果蝇幼虫绛色细胞作为研究系统,他们发现必需氨基酸摄入不足是造成营养不良人群患上脂肪肝病的「罪魁祸首」。当必需氨基酸匮乏时,肝细胞中的 E3 泛素连接酶 Ubr1 会失活,不能催化脂滴保护蛋白 Plin2 的多聚泛素化降解。Plin2 蛋白
技术资料暂无技术资料 索取技术资料
PLIN2 Antibody抗体,orb394670,biorbyt
¥2860










