相关产品推荐更多 >
万千商家帮你免费找货
0 人在求购买到急需产品
- 详细信息
- 文献和实验
- 技术资料
- 抗体名:
PLIN2 Antibody抗体
- 抗体英文名:
PLIN2 Antibody
- 靶点:
PLIN2
- 浓度:
Approximately 1mg/ml (varies from batch to batch). Please inquire for precise concentration.
- 应用范围:
IHC
- 宿主:
Mouse
- 适应物种:
Human
- 保质期:
6-12个月
- 抗原来源:
详询
- 目录编号:
orb153489
- 级别:
科研级
- 库存:
88
- 供应商:
biorbyt
- 标记物:
Unconjugated
- 克隆性:
Monoclonal
- 亚型:
Mouse IgG1
- 免疫原:
Purified recombinant fragment of human PLIN2 (AA: 286-437) expressed in E. Coli.
- 规格:
100 ul
产品描述:Mouse monoclonal antibody to PLIN2
别名:ADFP; ADRP
免疫原:Purified recombinant fragment of human PLIN2 (AA: 286-437) expressed in E. Coli.
克隆性:2C5A3
分子量:48kDa
应用稀释比例:IHC: 1/200 - 1/1000; ELISA: 1/10000
防腐剂:Purified antibody in PBS with 0.05% sodium azide
保存说明:Maintain refrigerated at 2-8°C for up to 2 weeks. For long term storage store at -20°C in small aliquots to prevent freeze-thaw cycles.
Entrez:123
UniProt ID:Q99541
Note:For research use only.





别名:ADFP; ADRP
免疫原:Purified recombinant fragment of human PLIN2 (AA: 286-437) expressed in E. Coli.
克隆性:2C5A3
分子量:48kDa
应用稀释比例:IHC: 1/200 - 1/1000; ELISA: 1/10000
防腐剂:Purified antibody in PBS with 0.05% sodium azide
保存说明:Maintain refrigerated at 2-8°C for up to 2 weeks. For long term storage store at -20°C in small aliquots to prevent freeze-thaw cycles.
Entrez:123
UniProt ID:Q99541
Note:For research use only.

Line graph illustrates about the Ag-Ab reactions using different concentrations of antigen and serial dilutions of PLIN2 antibody

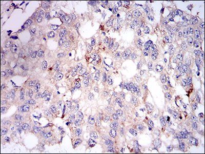
Immunohistochemical analysis of formalin-fixed and paraffin-embedded liver cancer tissues using PLIN2 antibody

Immunohistochemical analysis of formalin-fixed and paraffin-embedded esophageal cancer tissues using PLIN2 antibody

Western blot analysis of human PLIN2 using PLIN2 antibody

Western blot analysis of HEK293 (Lane 1) HEK293 (Lane 2) cell lysate using PLIN2 antibody
风险提示:丁香通仅作为第三方平台,为商家信息发布提供平台空间。用户咨询产品时请注意保护个人信息及财产安全,合理判断,谨慎选购商品,商家和用户对交易行为负责。对于医疗器械类产品,请先查证核实企业经营资质和医疗器械产品注册证情况。
文献和实验相关实验
为什么营养不良也会得脂肪肝?Mol Cell:北大朱健课题组揭示必需氨基酸抵御脂肪肝病的作用机制
生命科学联合中心朱健课题组在 Molecular Cell 在线发表了题为 Amelioration of hepatic steatosis by dietary essential amino acid-induced ubiquitination 的研究论文。利用果蝇幼虫绛色细胞作为研究系统,他们发现必需氨基酸摄入不足是造成营养不良人群患上脂肪肝病的「罪魁祸首」。当必需氨基酸匮乏时,肝细胞中的 E3 泛素连接酶 Ubr1 会失活,不能催化脂滴保护蛋白 Plin2 的多聚泛素化降解。Plin2 蛋白
技术资料暂无技术资料 索取技术资料
PLIN2 Antibody抗体,orb153489,biorbyt
¥4550











