相关产品推荐更多 >

IL5RA Antibody - N-terminal region : Biotin 抗体,orb2093476,Biorbyt
¥8216
FRA1/FOSL1 Rabbit Polyclonal Antibody抗体,orb500657,biorbyt
¥3120
PTEN Antibody抗体,orb1239176,biorbyt
¥3770
KMT5B Antibody - C-terminal region : FITC 抗体,orb2134783,Biorbyt
¥7345
Mouse IgG2a heavy chain Antibody (HRP) 抗体,orb1735547,Biorbyt
¥9178
万千商家帮你免费找货
0 人在求购买到急需产品
- 详细信息
- 文献和实验
- 技术资料
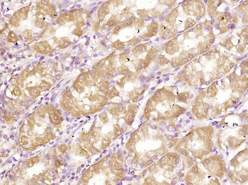
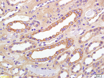
- 抗体名:
Phospho-IGF1R (Tyr980) Rabbit Polyclonal Antibody抗体
- 抗体英文名:
Phospho-IGF1R (Tyr980) Rabbit Polyclonal Antibody
- 靶点:
IGF1R
- 浓度:
1mg/ml
- 应用范围:
FC, IF, IHC-Fr, IHC-P
- 宿主:
Rabbit
- 适应物种:
Human, Mouse
- 保质期:
6-12个月
- 抗原来源:
详询
- 目录编号:
orb5503
- 级别:
科研级
- 库存:
88
- 供应商:
biorbyt
- 标记物:
Unconjugated
- 克隆性:
Polyclonal
- 形态:
Liquid
- 亚型:
IgG
- 免疫原:
KLH conjugated Synthesised phosphopeptide derived from human IGF1R around the phosphorylation site of Tyr980 PE(p-Y)FS
- 规格:
50 ul
别名:IGF1 Receptor(phospho Y980); p-IGF1 Receptor(phospho Y980); IGF1R(phospho-Tyr980); IGF1R(phospho-Y980); p-IGF1R(Tyr980); p-IGF1R(Y980); IGF1R(phospho Tyr980); Insulin-like growth factor 1 receptor; CD221; CD221 antigen; IGF1 Receptor; IGF 1 receptor; IGF 1R; IGF I receptor; IGFIRC; Insulin like growth factor 1 receptor precursor; JTK13; MGC142170; MGC142172; Insulin-like growth factor 1 receptor beta chain; IGF 1 receptor; IGF-1R; IGF I receptor; IGF-I receptor; IGF-IR; IGF1R_HUMAN.
免疫原:KLH conjugated Synthesised phosphopeptide derived from human IGF1R around the phosphorylation site of Tyr980 PE(p-Y)FS
预测反应性:Rat
分子量:150 kDa
应用稀释比例:IHC-P=1:100-500, IHC-F=1:100-500, IF=1:100-500, Flow-Cyt=1μg/Test
防腐剂:0.01M TBS (pH7.4) with 1% rAlbumin, 0.02% Proclin300 and 50% Glycerol.
纯化:Affinity purified by Protein A
保存说明:Maintain refrigerated at 2-8°C for up to 2 weeks. For long term storage store at -20°C in small aliquots to prevent freeze-thaw cycles.
UniProt ID:P08069
Note:For research use only.





风险提示:丁香通仅作为第三方平台,为商家信息发布提供平台空间。用户咨询产品时请注意保护个人信息及财产安全,合理判断,谨慎选购商品,商家和用户对交易行为负责。对于医疗器械类产品,请先查证核实企业经营资质和医疗器械产品注册证情况。
文献和实验dongreyuan 有的抗体名称上面写着Ab-33,比如,β-catenin(Ab-33)antibody,请问,Ab-33是什么意思? bettyzyj 这个抗体是非磷酸化的抗体non-phospho-antibody ,33 代表的是基因位点 dongreyuan 谢谢了 yhwangcams bettyzyj wrote
。所以,我们建议使用微波炉或高压锅加热煮沸以达到最佳抗原修复效果。抗体:Phospho–Stat3 (Tyr705)(D3A7) XP. Rabbit mAb #9145样本:石蜡包埋人类肺部肿瘤样本煮沸设备:浴锅 (左),微波炉 (中),高压锅 (右)免疫染色—封闭在 IHC–P 中,我们建议在室温下在含有 Tween20 的 TBST 缓冲液和 5% 正常山羊血清 (NGS) 中封闭样品,时长 1 小时,以防止非特异性背景染色。在进行 IHC–F 时,在含有 0.3% Triton. X–100 的 1X
used in accordance withmanufacturer recommendationsSignalStain?DAB Substrate Kit #8059:IHC analysis of paraffin-embedded human breastcarcinoma using Phospho-Stat3 (Tyr705) (D3A7) XP? Rabbit mAb #9145. Chromogenicdetection was performed using #8059 (left
技术资料暂无技术资料 索取技术资料






