相关产品推荐更多 >
万千商家帮你免费找货
0 人在求购买到急需产品
- 详细信息
- 文献和实验
- 技术资料
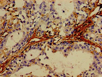
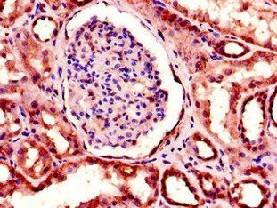
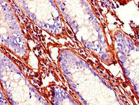
- 抗体名:
TNF Antibody抗体
- 抗体英文名:
TNF Antibody
- 靶点:
TNF
- 应用范围:
ELISA, IF, IHC, WB
- 宿主:
Rabbit
- 适应物种:
Human
- 保质期:
6-12个月
- 抗原来源:
详询
- 目录编号:
orb239747
- 级别:
科研级
- 库存:
88
- 供应商:
biorbyt
- 标记物:
Unconjugated
- 克隆性:
Polyclonal
- 形态:
Liquid
- 亚型:
IgG
- 免疫原:
Recombinant Human Tumor necrosis factor protein (77-233AA)
- 规格:
50 ug
别名:anti Cachectin TNF-alpha Tumor necrosis factor ligand superfamily member 2 TNF TNFA antibody, anti TNFSF2 antibody
免疫原:Recombinant Human Tumor necrosis factor protein (77-233AA)
应用稀释比例:WB:1:500-1:5000, IHC-P:1:20-1:200, IF:1:50-1:200
防腐剂: 0.03% Proclin 300. Constituents: 50% Glycerol
纯化:>95%, Protein G purified
保存说明:Maintain refrigerated at 2-8°C for up to 2 weeks. For long term storage store at -20°C in small aliquots to prevent freeze-thaw cycles.
Pubmed:31356903
UniProt ID:P01375
Note:For research use only.






风险提示:丁香通仅作为第三方平台,为商家信息发布提供平台空间。用户咨询产品时请注意保护个人信息及财产安全,合理判断,谨慎选购商品,商家和用户对交易行为负责。对于医疗器械类产品,请先查证核实企业经营资质和医疗器械产品注册证情况。
文献和实验Detection of TNF and TNF Receptor mRNA in Cells and Tissues
We describe a semiquantitative reverse transcriptase polymerase chain reaction (RT-PCR) technique for the quantification of the messenger RNA of human and murine tumor necrosis factor α (TNFα) and related receptors. This protocol can be adapted
Polymorphisms in the promoter of the tumor necrosis factor alpha (TNFα) gene have been reported to affect the transcription rate and the release of this cytokine. Among the best studied, the −238 and −308 polymorphisms have been associated
TNF in Experimental Diseases of the CNS
Tumor necrosis factor α (TNFα) is a crucial mediator involved in the communications between immune and nervous systems in physiological conditions, and its relevance is amplified during disease. Considered originally detrimental and a target
技术资料暂无技术资料 索取技术资料











