相关产品推荐更多 >
万千商家帮你免费找货
0 人在求购买到急需产品
- 详细信息
- 文献和实验
- 技术资料
- 抗体名:
Phospho-BTK (Tyr223) Rabbit Polyclonal Antibody抗体
- 抗体英文名:
Phospho-BTK (Tyr223) Rabbit Polyclonal Antibody
- 靶点:
BTK
- 浓度:
1mg/ml
- 应用范围:
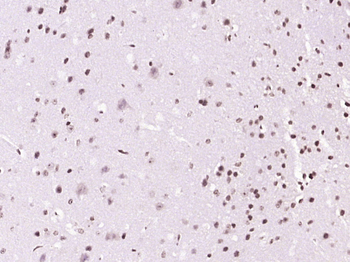
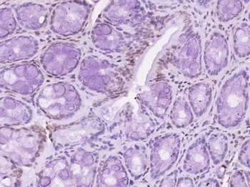
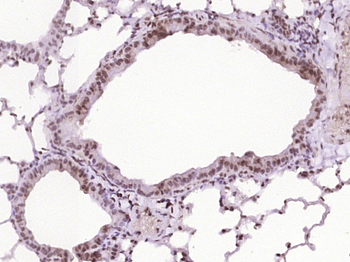
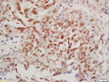
ELISA, FC, IF, IHC-Fr, IHC-P
- 宿主:
Rabbit
- 适应物种:
Human, Mouse, Rabbit
- 保质期:
6-12个月
- 抗原来源:
详询
- 目录编号:
orb5651
- 级别:
科研级
- 库存:
88
- 供应商:
biorbyt
- 标记物:
Unconjugated
- 克隆性:
Polyclonal
- 形态:
Liquid
- 亚型:
IgG
- 免疫原:
KLH conjugated Synthesised phosphopeptide derived from human Btk around the phosphorylation site of Tyr223 AL(p-Y)DY
- 规格:
50 ul
别名:BTK(phospho Y223); p-BTK(phospho Y223); Agammaglobulinaemia tyrosine kinase; AGMX 1; AGMX1; AT; ATK; B cell progenitor kinase; B-cell progenitor kinase; BPK; Bruton agammaglobulinemia tyrosine kinase; Bruton tyrosine kinase; Bruton’s Tyrosine Kinase; Btk; BTK_HUMAN; IMD 1; IMD1; MGC126261; MGC126262; OTTHUMP00000063593; PSCTK 1; PSCTK1; Tyrosine protein kinase BTK; Tyrosine-protein kinase BTK; XLA.
免疫原:KLH conjugated Synthesised phosphopeptide derived from human Btk around the phosphorylation site of Tyr223 AL(p-Y)DY
预测反应性:Bovine, Equine, Porcine, Rat
分子量:76 kDa
应用稀释比例:IHC-P=1:100-500, IHC-F=1:100-500, IF=1:100-500, Flow-Cyt=1ug/test, ELISA=1:5000-10000
防腐剂:0.01M TBS (pH7.4) with 1% rAlbumin, 0.02% Proclin300 and 50% Glycerol.
纯化:Affinity purified by Protein A
保存说明:Maintain refrigerated at 2-8°C for up to 2 weeks. For long term storage store at -20°C in small aliquots to prevent freeze-thaw cycles.
UniProt ID:Q06187
Note:For research use only.







风险提示:丁香通仅作为第三方平台,为商家信息发布提供平台空间。用户咨询产品时请注意保护个人信息及财产安全,合理判断,谨慎选购商品,商家和用户对交易行为负责。对于医疗器械类产品,请先查证核实企业经营资质和医疗器械产品注册证情况。
文献和实验dongreyuan 有的抗体名称上面写着Ab-33,比如,β-catenin(Ab-33)antibody,请问,Ab-33是什么意思? bettyzyj 这个抗体是非磷酸化的抗体non-phospho-antibody ,33 代表的是基因位点 dongreyuan 谢谢了 yhwangcams bettyzyj wrote
。所以,我们建议使用微波炉或高压锅加热煮沸以达到最佳抗原修复效果。抗体:Phospho–Stat3 (Tyr705)(D3A7) XP. Rabbit mAb #9145样本:石蜡包埋人类肺部肿瘤样本煮沸设备:浴锅 (左),微波炉 (中),高压锅 (右)免疫染色—封闭在 IHC–P 中,我们建议在室温下在含有 Tween20 的 TBST 缓冲液和 5% 正常山羊血清 (NGS) 中封闭样品,时长 1 小时,以防止非特异性背景染色。在进行 IHC–F 时,在含有 0.3% Triton. X–100 的 1X
used in accordance withmanufacturer recommendationsSignalStain?DAB Substrate Kit #8059:IHC analysis of paraffin-embedded human breastcarcinoma using Phospho-Stat3 (Tyr705) (D3A7) XP? Rabbit mAb #9145. Chromogenicdetection was performed using #8059 (left
技术资料暂无技术资料 索取技术资料











