相关产品推荐更多 >

LRAT Antibody抗体,orb1256874,biorbyt
¥10400
IGF1R Antibody (PerCP) 抗体,orb1583220,Biorbyt
¥4796
Integrin beta 1 Recombinant Rabbit Monoclonal Antibody抗体,orb1499403,biorbyt
¥2210
Anti-PD-L1 (Extracellular region) M051 Antibody 抗体,orb1822065,Biorbyt
¥7280
TGM2 Antibody - N-terminal region : FITC 抗体,orb2115651,Biorbyt
¥8216
万千商家帮你免费找货
0 人在求购买到急需产品
- 详细信息
- 文献和实验
- 技术资料
- 抗体名:
SRD5A2 Rabbit Polyclonal Antibody抗体
- 抗体英文名:
SRD5A2 Rabbit Polyclonal Antibody
- 靶点:
SRD5A2
- 浓度:
1mg/ml
- 应用范围:
ELISA, IF, IHC-Fr, IHC-P
- 宿主:
Rabbit
- 适应物种:
Human
- 保质期:
6-12个月
- 抗原来源:
详询
- 目录编号:
orb100170
- 级别:
科研级
- 库存:
88
- 供应商:
biorbyt
- 标记物:
Unconjugated
- 克隆性:
Polyclonal
- 形态:
Liquid
- 亚型:
IgG
- 免疫原:
KLH conjugated synthetic peptide derived from human SRD5A2 (201-254/254aa)
- 规格:
50 ul
产品描述:SRD5A2 Rabbit Polyclonal Antibody
别名:5 alpha SR2; EC; SR type 2; Steroid 5 alpha reductase 2; 3 oxo 5 alpha steroid 4 dehydrogenase 2; 3-oxo-5-alpha-steroid 4-dehydrogenase 2; 5 alpha-SR2; 5ART2; e II 5 alpha reductase; EC; MGC138457; Micropenis, included; S5A2_HUMAN; S5AR 2; SR type 2; SRD5A2; Steroid 5 alpha reductase 2; Steroid 5-alpha-reductase 2; Steroid-5-alpha-reductase, alpha polypeptide 2(3-oxo-5 alpha-steroid delta 4-dehydrogenase alpha 2); Type II 5-alpha reductase.
免疫原:KLH conjugated synthetic peptide derived from human SRD5A2 (201-254/254aa)
预测反应性:Equine, Human, Mouse, Porcine, Rat
分子量:28 kDa
应用稀释比例:IHC-P=1:100-500, IHC-F=1:100-500, IF=1:100-500, ELISA=1:5000-10000
防腐剂:0.01M TBS (pH7.4) with 1% rAlbumin, 0.02% Proclin300 and 50% Glycerol.
纯化:Affinity purified by Protein A
保存说明:Maintain refrigerated at 2-8°C for up to 2 weeks. For long term storage store at -20°C in small aliquots to prevent freeze-thaw cycles.
UniProt ID:P31213
Note:For research use only.


别名:5 alpha SR2; EC; SR type 2; Steroid 5 alpha reductase 2; 3 oxo 5 alpha steroid 4 dehydrogenase 2; 3-oxo-5-alpha-steroid 4-dehydrogenase 2; 5 alpha-SR2; 5ART2; e II 5 alpha reductase; EC; MGC138457; Micropenis, included; S5A2_HUMAN; S5AR 2; SR type 2; SRD5A2; Steroid 5 alpha reductase 2; Steroid 5-alpha-reductase 2; Steroid-5-alpha-reductase, alpha polypeptide 2(3-oxo-5 alpha-steroid delta 4-dehydrogenase alpha 2); Type II 5-alpha reductase.
免疫原:KLH conjugated synthetic peptide derived from human SRD5A2 (201-254/254aa)
预测反应性:Equine, Human, Mouse, Porcine, Rat
分子量:28 kDa
应用稀释比例:IHC-P=1:100-500, IHC-F=1:100-500, IF=1:100-500, ELISA=1:5000-10000
防腐剂:0.01M TBS (pH7.4) with 1% rAlbumin, 0.02% Proclin300 and 50% Glycerol.
纯化:Affinity purified by Protein A
保存说明:Maintain refrigerated at 2-8°C for up to 2 weeks. For long term storage store at -20°C in small aliquots to prevent freeze-thaw cycles.
UniProt ID:P31213
Note:For research use only.

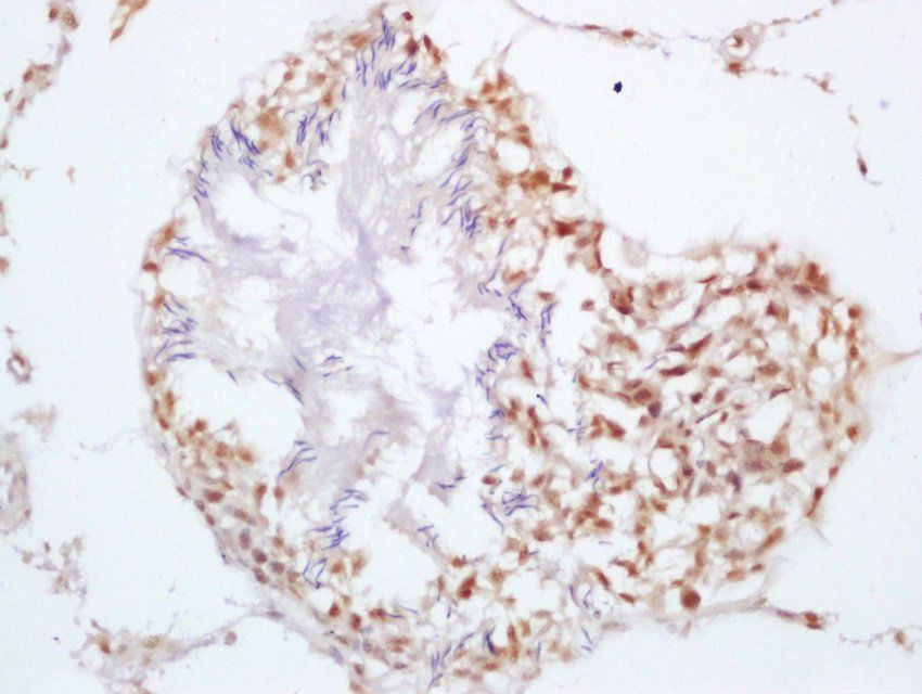
Immunohistochemical staining of rat testis tissue using SRD5A2 antibody

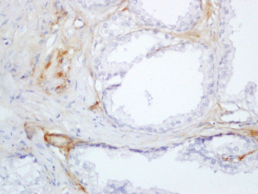
Immunohistochemical analysis of formalin-fixed and paraffin-embedded human prostate carcinoma tissue using SRD5A2 antibody
风险提示:丁香通仅作为第三方平台,为商家信息发布提供平台空间。用户咨询产品时请注意保护个人信息及财产安全,合理判断,谨慎选购商品,商家和用户对交易行为负责。对于医疗器械类产品,请先查证核实企业经营资质和医疗器械产品注册证情况。
文献和实验该产品被引用文献
Dong Sup Lee,Young Hyo Choi,Hee Youn Kim,Seung Ho Yang,Jun Sung Koh,Jin Bong Choi The effect of finasteride on the male rat brain Research Square, (2023)
技术资料暂无技术资料 索取技术资料
文献支持
SRD5A2 Rabbit Polyclonal Antibody抗体,orb100170,biorbyt
¥3120





