相关产品推荐更多 >
万千商家帮你免费找货
0 人在求购买到急需产品
- 详细信息
- 技术资料
- 抗体名:
Integrin beta 1 Recombinant Rabbit Monoclonal Antibody抗体
- 抗体英文名:
Integrin beta 1 Recombinant Rabbit Monoclonal Antibody
- 靶点:
ITGB1
- 浓度:
1mg/ml
- 应用范围:
IF, IHC-Fr, IHC-P, WB
- 宿主:
Rabbit
- 适应物种:
Human
- 保质期:
6-12个月
- 抗原来源:
详询
- 目录编号:
orb1499403
- 级别:
科研级
- 库存:
88
- 供应商:
biorbyt
- 标记物:
Unconjugated
- 克隆性:
Recombinant
- 保存条件:
参考说明书
- 形态:
Liquid
- 亚型:
IgG
- 免疫原:
A synthesized peptide derived from human Integrin beta 1 (70-100aa)
- 规格:
25 ul
产品描述:Integrin beta 1 Recombinant Rabbit Monoclonal Antibody
别名:Integrin beta-1; beta 1 subunit; CD 29; CD-29; CD29; CD29 antigen; Fibrinogen Receptor beta subunit; Fibronectin receptor subunit beta; Fibronectin receptor, beta subunit; FNRB; GPIIA; GP IIa; Integrin VLA 4 subunit beta; ITGB; ITGB1; ITGB 1; MDF2; MSK12; Very Late Activation Protein beta Polypeptide; Glycoprotein IIa; Integrin VLA 4 subunit beta; integrin VLA-4 beta subunit; ITB1_HUMAN; very late activation protein, beta polypeptide; VLA BETA; VLA-4 subunit beta; VLA-BETA; VLAB; VLAbeta; Integrin β1.
免疫原:A synthesized peptide derived from human Integrin beta 1 (70-100aa)
预测反应性:Rat
克隆性:2A5
分子量:88 kDa
应用稀释比例:WB=1:500-2000, IHC-P=1:50-200, IHC-F=1:50-200, IF=1:50-200
防腐剂:0.01M TBS (pH7.4) with 1% rAlbumin, 0.02% Proclin300 and 50% Glycerol.
纯化:Affinity purified by Protein A
保存说明:Maintain refrigerated at 2-8°C for up to 2 weeks. For long term storage store at -20°C in small aliquots to prevent freeze-thaw cycles.
UniProt ID:P05556
Note:For research use only.






别名:Integrin beta-1; beta 1 subunit; CD 29; CD-29; CD29; CD29 antigen; Fibrinogen Receptor beta subunit; Fibronectin receptor subunit beta; Fibronectin receptor, beta subunit; FNRB; GPIIA; GP IIa; Integrin VLA 4 subunit beta; ITGB; ITGB1; ITGB 1; MDF2; MSK12; Very Late Activation Protein beta Polypeptide; Glycoprotein IIa; Integrin VLA 4 subunit beta; integrin VLA-4 beta subunit; ITB1_HUMAN; very late activation protein, beta polypeptide; VLA BETA; VLA-4 subunit beta; VLA-BETA; VLAB; VLAbeta; Integrin β1.
免疫原:A synthesized peptide derived from human Integrin beta 1 (70-100aa)
预测反应性:Rat
克隆性:2A5
分子量:88 kDa
应用稀释比例:WB=1:500-2000, IHC-P=1:50-200, IHC-F=1:50-200, IF=1:50-200
防腐剂:0.01M TBS (pH7.4) with 1% rAlbumin, 0.02% Proclin300 and 50% Glycerol.
纯化:Affinity purified by Protein A
保存说明:Maintain refrigerated at 2-8°C for up to 2 weeks. For long term storage store at -20°C in small aliquots to prevent freeze-thaw cycles.
UniProt ID:P05556
Note:For research use only.

Blocking buffer: 5% NFDM/TBST, Primary Ab Dilution: 1:2000, Primary Ab incubation condition: 2 hours at room temperature, Secondary Ab: Goat Anti-Rabbit IgG H&L (HRP), Lysate: 1: A431, 2: U87-MG, Protein loading quantity: 20 µg, Exposure time: 10 s, Predicted MW: 88 kDa, Observed MW: 120, 130 kDa.

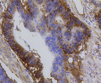
Immunohistochemical analysis of paraffin-embedded human colon carcinoma tissue using anti-Integrin beta 1 antibody. The section was pre-treated using heat mediated antigen retrieval with Tris-EDTA buffer (pH 8.0-8.4) for 20 minutes. The tissues were blocked in 5% BSA for 30 minutes at room temperature, washed with ddH2O and PBS, and then probed with the primary antibody (orb1499403, 1/50) for 30 minutes at room temperature. The detection was performed using an HRP conjugated compact polymer system. DAB was used as the chromogen. Tissues were counterstained with hematoxylin and mounted with DPX.

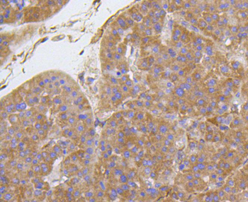
Immunohistochemical analysis of paraffin-embedded human liver carcinoma tissue using anti-Integrin beta 1 antibody. The section was pre-treated using heat mediated antigen retrieval with Tris-EDTA buffer (pH 8.0-8.4) for 20 minutes. The tissues were blocked in 5% BSA for 30 minutes at room temperature, washed with ddH2O and PBS, and then probed with the primary antibody (orb1499403, 1/50) for 30 minutes at room temperature. The detection was performed using an HRP conjugated compact polymer system. DAB was used as the chromogen. Tissues were counterstained with hematoxylin and mounted with DPX.

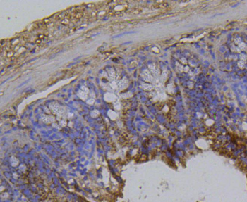
Immunohistochemical analysis of paraffin-embedded mouse colon tissue using anti-Integrin beta 1 antibody. The section was pre-treated using heat mediated antigen retrieval with Tris-EDTA buffer (pH 8.0-8.4) for 20 minutes. The tissues were blocked in 5% BSA for 30 minutes at room temperature, washed with ddH2O and PBS, and then probed with the primary antibody (orb1499403, 1/50) for 30 minutes at room temperature. The detection was performed using an HRP conjugated compact polymer system. DAB was used as the chromogen. Tissues were counterstained with hematoxylin and mounted with DPX.

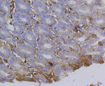
Immunohistochemical analysis of paraffin-embedded mouse stomach tissue using anti-Integrin beta 1 antibody. The section was pre-treated using heat mediated antigen retrieval with Tris-EDTA buffer (pH 8.0-8.4) for 20 minutes. The tissues were blocked in 5% BSA for 30 minutes at room temperature, washed with ddH2O and PBS, and then probed with the primary antibody (orb1499403, 1/50) for 30 minutes at room temperature. The detection was performed using an HRP conjugated compact polymer system. DAB was used as the chromogen. Tissues were counterstained with hematoxylin and mounted with DPX.

Western blot analysis of Integrin beta 1 on different lysates. Proteins were transferred to a PVDF membrane and blocked with 5% BSA in PBS for 1 hour at room temperature. The primary antibody (orb1499403, 1/1000) was used in 5% BSA at room temperature for 2 hours. Goat Anti-Rabbit IgG - HRP Secondary Antibody (HA1001) at 1:5000 dilution was used for 1 hour at room temperature. Positive control: Lane 1: CRC cell lysate, Lane 2: HepG2 cell lysate.
风险提示:丁香通仅作为第三方平台,为商家信息发布提供平台空间。用户咨询产品时请注意保护个人信息及财产安全,合理判断,谨慎选购商品,商家和用户对交易行为负责。对于医疗器械类产品,请先查证核实企业经营资质和医疗器械产品注册证情况。
技术资料暂无技术资料 索取技术资料
Integrin beta 1 Recombinant Rabbit Monoclonal Antibody抗体,orb1499403,biorbyt
¥2210










