产品描述:Phospho-IKB alpha (Tyr305) Rabbit Polyclonal Antibody
别名:IKB alpha(phospho Y305); p-IKB alpha(phospho Y305); NFKBIA(phospho Y305); Inhibitor of KB alpha; I kappa B alpha; I(Kappa)B(alpha); IkappaBalpha; IKBA; IKBalpha; IkB-alpha; MAD 3; MAD3; Major histocompatibility complex enhancer binding protein MAD3; NF kappa B inhibitor alpha; NFKBI; NFKBIA; Nuclear factor of kappa light chain gene enhancer in B cells; Nuclear factor of kappa light polypeptide gene enhancer in B cells inhibitor alpha; IKBA_HUMAN.
免疫原:KLH conjugated Synthesised phosphopeptide derived from human IKB alpha around the phosphorylation site of Tyr305 LP(p-Y)DD
预测反应性:Bovine, Porcine, Rabbit, Sheep
分子量:35 kDa
应用稀释比例:WB=1:500-2000, IHC-P=1:100-500, IHC-F=1:100-500, IF=1:100-500, Flow-Cyt=1μg/Test
防腐剂:0.01M TBS (pH7.4) with 1% rAlbumin, 0.02% Proclin300 and 50% Glycerol.
纯化:Affinity purified by Protein A
保存说明:Maintain refrigerated at 2-8°C for up to 2 weeks. For long term storage store at -20°C in small aliquots to prevent freeze-thaw cycles.
UniProt ID:P25963
Note:For research use only.
Blank control (blue line): Hela (fixed with 70% methanol (Overnight at 4°C) and then permeabilized with 90% ice-cold methanol for 20 min at -20°C). Primary Antibody (green line): Rabbit Anti-phospho-IKB alpha (Tyr305) antibody (orb5523), dilution: 1 µg/10^6 cells, Isotype Control Antibody (orange line): Rabbit IgG. Secondary Antibody (white blue line): Goat anti-rabbit IgG-PE, dilution: 1 µg/Test.
Blank control (blue line): Jurkat (fixed with 2% Fixative (10 min), then permeabilized with 90% ice-cold methanol for 30 min on ice). Primary Antibody (green line): Rabbit Anti-phospho-IKB alpha (Tyr305) antibody (orb5523), dilution: 1 µg/10^6 cells, Isotype Control Antibody (orange line): Rabbit IgG. Secondary Antibody (white blue line): Goat anti-rabbit IgG-FITC, dilution: 1 µg/Test.

Blank control: Hela. Primary Antibody (green line): Rabbit Anti-phospho-IKB alpha (Tyr305) antibody (orb5523), dilution: 1 µg/10^6 cells, Isotype Control Antibody (orange line): Rabbit IgG. Secondary Antibody: Goat anti-rabbit IgG-AF647, dilution: 1 µg/Test. Protocol, The cells were fixed with 4% PFA (10 min at room temperature) and then permeabilized with 90% ice-cold methanol for 20 min at -20°C. The cells were then incubated in 5% BSA to block non-specific protein-protein interactions for 30 min at room temperature. Cells stained with Primary Antibody for 30 min at room temperature. The secondary antibody used for 40 min at room temperature. Acquisition of 20000 events was performed.

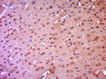
Fixative-fixed, paraffin embedded (mouse brain), Antigen retrieval by boiling in sodium citrate buffer (pH6.0) for 15 min, Block endogenous peroxidase by 3% hydrogen peroxide for 20 minutes, Blocking buffer (normal goat serum) at 37°C for 30 min, Antibody incubation with (phospho-IKB alpha (Tyr305)) Polyclonal Antibody, Unconjugated (orb5523) at 1:400 overnight at 4°C, followed by a conjugated secondary antibody for 20 minutes and DAB staining.
Fixative-fixed, paraffin embedded (Mouse liver), Antigen retrieval by boiling in sodium citrate buffer (pH6.0) for 15 min, Block endogenous peroxidase by 3% hydrogen peroxide for 20 minutes, Blocking buffer (normal goat serum) at 37°C for 30 min, Antibody incubation with (p-IKB alpha (Tyr305)) Polyclonal Antibody, Unconjugated (orb5523) at 1:400 overnight at 4°C, followed by operating according to SP Kit (Rabbit) instructionsand DAB staining.
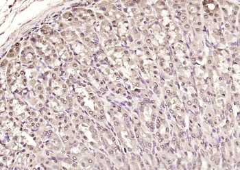
Fixative-fixed, paraffin embedded (rat adrenal gland), Antigen retrieval by boiling in sodium citrate buffer (pH6.0) for 15 min, Block endogenous peroxidase by 3% hydrogen peroxide for 20 minutes, Blocking buffer (normal goat serum) at 37°C for 30 min, Antibody incubation with (phospho-IKB alpha (Tyr305)) Polyclonal Antibody, Unconjugated (orb5523) at 1:200 overnight at 4°C, followed by operating according to SP Kit (Rabbit) instructionsand DAB staining.
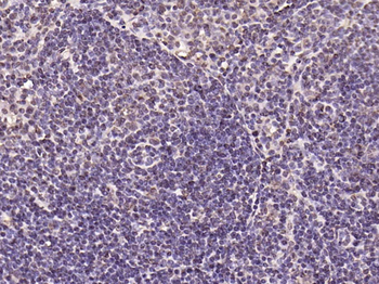
Fixative-fixed, paraffin embedded (rat lymphoid), Antigen retrieval by boiling in sodium citrate buffer (pH6.0) for 15 min, Block endogenous peroxidase by 3% hydrogen peroxide for 20 minutes, Blocking buffer (normal goat serum) at 37°C for 30 min, Antibody incubation with (phospho-IKB alpha (Tyr305)) Polyclonal Antibody, Unconjugated (orb5523) at 1:200 overnight at 4°C, followed by operating according to SP Kit (Rabbit) instructionsand DAB staining.
Fixative-fixed, paraffin embedded (rat stomach), Antigen retrieval by boiling in sodium citrate buffer (pH6.0) for 15 min, Block endogenous peroxidase by 3% hydrogen peroxide for 20 minutes, Blocking buffer (normal goat serum) at 37°C for 30 min, Antibody incubation with (phospho-IKB alpha (Tyr305)) Polyclonal Antibody, Unconjugated (orb5523) at 1:200 overnight at 4°C, followed by operating according to SP Kit (Rabbit) instructionsand DAB staining.
Fixative-fixed, paraffin embedded (rat stomach), Antigen retrieval by boiling in sodium citrate buffer (pH6.0) for 15 min, Block endogenous peroxidase by 3% hydrogen peroxide for 20 minutes, Blocking buffer (normal goat serum) at 37°C for 30 min, Antibody incubation with (phospho-IKB alpha (Tyr305)) Polyclonal Antibody, Unconjugated (orb5523) at 1:200 overnight at 4°C, followed by operating according to SP Kit (Rabbit) instructionsand DAB staining.
Sample: 293T Cell (Human) Lysate at 40 ug, Primary: Anti-p-NFKBIA (Tyr305) (orb5523) at 1/300 dilution, Secondary: IRDye800CW Goat Anti-Rabbit IgG at 1/20000 dilution, Predicted band size: 35 kD, Observed band size: 38 kD.