相关产品推荐更多 >

HP Antibody抗体,orb1270670,biorbyt
¥11440
H2AX Rabbit Polyclonal Antibody抗体,orb13454,biorbyt
¥3120
KLF4 Antibody - N-terminal region : Biotin 抗体,orb2133086,Biorbyt
¥7345
CD162 Antibody / P selectin glycoprotein ligand 1 / PSGL-1 抗体,orb1825634,Biorbyt
¥9932
CHRDL2 Rabbit Polyclonal Antibody抗体,orb4902,biorbyt
¥3120
万千商家帮你免费找货
0 人在求购买到急需产品
- 详细信息
- 技术资料
- 抗体名:
Aldolase A Rabbit Polyclonal Antibody抗体
- 抗体英文名:
Aldolase A Rabbit Polyclonal Antibody
- 靶点:
ALDOA
- 浓度:
1mg/ml
- 应用范围:
FC, IF, IHC-Fr, IHC-P, WB
- 宿主:
Rabbit
- 适应物种:
Mouse, Rat
- 保质期:
6-12个月
- 抗原来源:
详询
- 目录编号:
orb13243
- 级别:
科研级
- 库存:
88
- 供应商:
biorbyt
- 标记物:
Unconjugated
- 克隆性:
Polyclonal
- 保存条件:
参考产品说明书
- 形态:
Liquid
- 亚型:
IgG
- 免疫原:
KLH conjugated synthetic peptide derived from human Aldolase A (261-364/364aa)
- 规格:
50 ul
产品描述:Aldolase A Rabbit Polyclonal Antibody
别名:ALDA; Aldo1; ALDOA; ALDOA_HUMAN; Aldolase 1; Aldolase A; Aldolase A fructose bisphosphatase; Aldolase A fructose bisphosphate; FRUCTOALDOLASE A; Fructose 1 6 bisphosphate triosephosphate lyase; Fructose bisphosphate aldolase A; Fructose bisphosphate aldolase; FRUCTOSE-1, 6-BISPHOSPHATE ALDOLASE A; Fructose-bisphosphate aldolase A; Fructose-bisphosphate aldolase A Muscle-type; GSD12; Lung cancer antigen NY LU 1; Lung cancer antigen NY-LU-1; MGC10942; MGC17716; MGC17767; Muscle type aldolase; Muscle-type aldolase; RNALDOG5.
免疫原:KLH conjugated synthetic peptide derived from human Aldolase A (261-364/364aa)
预测反应性:Equine, Human, Rabbit
分子量:39 kDa
应用稀释比例:WB=1:500-2000, IHC-P=1:100-500, IHC-F=1:100-500, IF=1:100-500, Flow-Cyt=1μg /test
防腐剂:0.01M TBS (pH7.4) with 1% rAlbumin, 0.02% Proclin300 and 50% Glycerol.
纯化:Affinity purified by Protein A
保存说明:Maintain refrigerated at 2-8°C for up to 2 weeks. For long term storage store at -20°C in small aliquots to prevent freeze-thaw cycles.
UniProt ID:P04075
Note:For research use only.



别名:ALDA; Aldo1; ALDOA; ALDOA_HUMAN; Aldolase 1; Aldolase A; Aldolase A fructose bisphosphatase; Aldolase A fructose bisphosphate; FRUCTOALDOLASE A; Fructose 1 6 bisphosphate triosephosphate lyase; Fructose bisphosphate aldolase A; Fructose bisphosphate aldolase; FRUCTOSE-1, 6-BISPHOSPHATE ALDOLASE A; Fructose-bisphosphate aldolase A; Fructose-bisphosphate aldolase A Muscle-type; GSD12; Lung cancer antigen NY LU 1; Lung cancer antigen NY-LU-1; MGC10942; MGC17716; MGC17767; Muscle type aldolase; Muscle-type aldolase; RNALDOG5.
免疫原:KLH conjugated synthetic peptide derived from human Aldolase A (261-364/364aa)
预测反应性:Equine, Human, Rabbit
分子量:39 kDa
应用稀释比例:WB=1:500-2000, IHC-P=1:100-500, IHC-F=1:100-500, IF=1:100-500, Flow-Cyt=1μg /test
防腐剂:0.01M TBS (pH7.4) with 1% rAlbumin, 0.02% Proclin300 and 50% Glycerol.
纯化:Affinity purified by Protein A
保存说明:Maintain refrigerated at 2-8°C for up to 2 weeks. For long term storage store at -20°C in small aliquots to prevent freeze-thaw cycles.
UniProt ID:P04075
Note:For research use only.

Blank control (blue): Mouse spleen (fixed with 2% Fixative (10 min), then permeabilized with 90% ice-cold methanol for 30 min on ice). Primary Antibody: Rabbit Anti-UCP-1 antibody, Dilution: 1 µg in 100 µl 1X PBS containing 0.5% BSA. Isotype Control Antibody: Rabbit IgG (orange), used under the same conditions. Secondary Antibody: Goat anti-rabbit IgG-PE (white blue), Dilution: 1:200 in 1X PBS containing 0.5% BSA.

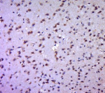
Fixative-fixed, paraffin embedded (mouse brain tissue), Antigen retrieval by boiling in sodium citrate buffer (pH6.0) for 15 min, Block endogenous peroxidase by 3% hydrogen peroxide for 20 minutes, Blocking buffer (normal goat serum) at 37°C for 30 min, Antibody incubation with (Aldolase A) Polyclonal Antibody, Unconjugated (orb13243) at 1:400 overnight at 4°C, followed by a conjugated secondary for 20 minutes and DAB staining.

Sample: Lane 1: Mouse Muscle tissue lysates, Lane 2: Rat Muscle tissue lysates, Primary: Anti-Aldolase A (orb13243) at 1/1000 dilution, Secondary: IRDye800CW Goat Anti-Rabbit IgG at 1/20000 dilution, Predicted band size: 39 kDa, Observed band size: 42 kDa.
风险提示:丁香通仅作为第三方平台,为商家信息发布提供平台空间。用户咨询产品时请注意保护个人信息及财产安全,合理判断,谨慎选购商品,商家和用户对交易行为负责。对于医疗器械类产品,请先查证核实企业经营资质和医疗器械产品注册证情况。
技术资料暂无技术资料 索取技术资料
Aldolase A Rabbit Polyclonal Antibody抗体,orb13243,biorbyt
¥3120






