相关产品推荐更多 >
万千商家帮你免费找货
0 人在求购买到急需产品
- 详细信息
- 技术资料
- 抗体名:
DFFB Rabbit Polyclonal Antibody抗体
- 抗体英文名:
DFFB Rabbit Polyclonal Antibody
- 靶点:
DFFB
- 浓度:
1mg/ml
- 应用范围:
IF, IHC-Fr, IHC-P
- 宿主:
Rabbit
- 适应物种:
Mouse, Rat
- 保质期:
6-12个月
- 抗原来源:
详询
- 目录编号:
orb10216
- 级别:
科研级
- 库存:
88
- 供应商:
biorbyt
- 标记物:
Unconjugated
- 克隆性:
Polyclonal
- 保存条件:
参考产品说明书
- 形态:
Liquid
- 亚型:
IgG
- 免疫原:
KLH conjugated synthetic peptide derived from mouse DFF-40 beta (201-260/344aa)
- 规格:
50 ul
产品描述:DFFB Rabbit Polyclonal Antibody
别名:CAD; 5730477D02Rik; Caldesmon; Caspase activated deoxyribonuclease; Caspase activated DNase; Caspase activated nuclease; Caspase-activated deoxyribonuclease; Caspase-activated DNase; Caspase-activated nuclease; CDM; CPAN; Deoxyribonuclease III, caspase activated; DFF 40; DFF-40; DFF2; DFF40; DFFB_HUMAN; Didff; DNA fragmentation factor 40 kDa subunit; DNA fragmentation factor subunit beta; DNA fragmentation factor, 40 Da, beta polypeptide(caspase activated DNase); DNA fragmentation factor, 40 kD beta subunit; DNA fragmentation factor, 40 kD, beta polypeptide; DNA fragmentation factor, 40kDa, beta polypeptide(caspase activated DNase); DNA fragmentation factor, 40kDa, beta polypeptide(caspase-activated DNase); DNAation factor, beta subunit; OTTHUMP00000003633.
免疫原:KLH conjugated synthetic peptide derived from mouse DFF-40 beta (201-260/344aa)
预测反应性:Guinea pig, Rabbit
分子量:40 kDa
应用稀释比例:IHC-P=1:100-500, IHC-F=1:100-500, IF=1:100-500
防腐剂:0.01M TBS (pH7.4) with 1% rAlbumin, 0.02% Proclin300 and 50% Glycerol.
纯化:Affinity purified by Protein A
保存说明:Maintain refrigerated at 2-8°C for up to 2 weeks. For long term storage store at -20°C in small aliquots to prevent freeze-thaw cycles.
UniProt ID:O54788
Note:For research use only.



别名:CAD; 5730477D02Rik; Caldesmon; Caspase activated deoxyribonuclease; Caspase activated DNase; Caspase activated nuclease; Caspase-activated deoxyribonuclease; Caspase-activated DNase; Caspase-activated nuclease; CDM; CPAN; Deoxyribonuclease III, caspase activated; DFF 40; DFF-40; DFF2; DFF40; DFFB_HUMAN; Didff; DNA fragmentation factor 40 kDa subunit; DNA fragmentation factor subunit beta; DNA fragmentation factor, 40 Da, beta polypeptide(caspase activated DNase); DNA fragmentation factor, 40 kD beta subunit; DNA fragmentation factor, 40 kD, beta polypeptide; DNA fragmentation factor, 40kDa, beta polypeptide(caspase activated DNase); DNA fragmentation factor, 40kDa, beta polypeptide(caspase-activated DNase); DNAation factor, beta subunit; OTTHUMP00000003633.
免疫原:KLH conjugated synthetic peptide derived from mouse DFF-40 beta (201-260/344aa)
预测反应性:Guinea pig, Rabbit
分子量:40 kDa
应用稀释比例:IHC-P=1:100-500, IHC-F=1:100-500, IF=1:100-500
防腐剂:0.01M TBS (pH7.4) with 1% rAlbumin, 0.02% Proclin300 and 50% Glycerol.
纯化:Affinity purified by Protein A
保存说明:Maintain refrigerated at 2-8°C for up to 2 weeks. For long term storage store at -20°C in small aliquots to prevent freeze-thaw cycles.
UniProt ID:O54788
Note:For research use only.

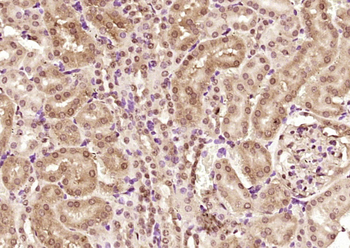
paraffin embedded (mouse kidney), Antigen retrieval by boiling in sodium citrate buffer (pH6.0) for 15 min, Block endogenous peroxidase by 3% hydrogen peroxide for 20 minutes, Blocking buffer (normal goat serum) at 37°C for 30 min, Antibody incubation with (DFFB) Polyclonal Antibody, Unconjugated (orb10216) at 1:200 overnight at 4°C, followed by operating according to SP Kit (Rabbit) instructionsand DAB staining.

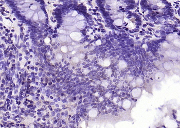
Fixative-fixed, paraffin embedded (rat intestine), Antigen retrieval by boiling in sodium citrate buffer (pH6.0) for 15 min, Block endogenous peroxidase by 3% hydrogen peroxide for 20 minutes, Blocking buffer (normal goat serum) at 37°C for 30 min, Antibody incubation with (DFFB) Polyclonal Antibody, Unconjugated (orb10216) at 1:200 overnight at 4°C, followed by operating according to SP Kit (Rabbit) instructionsand DAB staining.

Tissue/cell: rat brain tissue, 4% Fixative-fixed and paraffin-embedded, Antigen retrieval: citrate buffer (0.01M, pH 6.0), Boiling bathing for 15 min, Blocking buffer (normal goat serum) at 37℃ for 20 min, Incubation: Anti-DFFB Polyclonal Antibody, Unconjugated (orb10216) 1:200, overnight at 4°C, The secondary antibody was Goat Anti-Rabbit IgG, Cy3 conjugated (orb868589) used at 1:200 dilution for 40 minutes at 37°C. DAPI (5 ug/ml, blue) was used to stain the cell nuclei.
风险提示:丁香通仅作为第三方平台,为商家信息发布提供平台空间。用户咨询产品时请注意保护个人信息及财产安全,合理判断,谨慎选购商品,商家和用户对交易行为负责。对于医疗器械类产品,请先查证核实企业经营资质和医疗器械产品注册证情况。
技术资料暂无技术资料 索取技术资料
DFFB Rabbit Polyclonal Antibody抗体,orb10216,biorbyt
¥3120










