相关产品推荐更多 >
万千商家帮你免费找货
0 人在求购买到急需产品
- 详细信息
- 文献和实验
- 技术资料
- 抗体名:
HSP90 Antibody (Biotin)抗体
- 抗体英文名:
HSP90 Antibody (Biotin)
- 靶点:
HSP90
- 浓度:
1 mg/ml
- 应用范围:
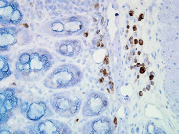
AM, ELISA, IHC, IP, WB
- 宿主:
Mouse
- 适应物种:
Bovine, Gallus, Human, Mouse, Porcine, Rabbit, Rat
- 保质期:
6-12个月
- 抗原来源:
详询
- 目录编号:
orb147177
- 级别:
科研级
- 库存:
88
- 供应商:
biorbyt
- 标记物:
Biotin
- 克隆性:
Monoclonal
- 亚型:
IgG1
- 免疫原:
Full length protein HSP90 purified from chicken brain
- 规格:
100 ug
别名:HSP90, HSP90AB1, HSP90-beta, HSPCB, HSPC2, Heat shock protein HSP 90-beta, Heat shock 84 kDa protein, HSP84, HSP90B
免疫原:Full length protein HSP90 purified from chicken brain
克隆性:D7A
分子量:90kDa
应用稀释比例:WB (1:500), IP (5µg)
应用注释:2 µg/ml was sufficient for detection of HSP90α in 20 µg of heat shocked HeLa cell lysate as well as in 100 ng of human HSP90α protein by colorimetric immunoblot analysis using Goat Anti-Mouse IgG:HRP as the secondary.
防腐剂:136.36mM Ethanolamine, 133.23 mM Chlorides, 9.55mM Phosphates, 9.55mM Sodium Bicarbonate
纯化:Protein G Purified
保存说明:Conjugated antibodies should be stored according to the product label
NCBI:NP_001103255.1
Entrez:9031
UniProt ID:P11501
Note:For research use only.



风险提示:丁香通仅作为第三方平台,为商家信息发布提供平台空间。用户咨询产品时请注意保护个人信息及财产安全,合理判断,谨慎选购商品,商家和用户对交易行为负责。对于医疗器械类产品,请先查证核实企业经营资质和医疗器械产品注册证情况。
文献和实验The Avidin-Biotin Complex (ABC) Method and Other Avidin-Biotin Binding Methods
These methods involve, at their core, the vitamin biotin and the protein avidin, which bind together irreversibly. By establishing a biotin link, through avidin, between the horseradish peroxidase enzyme and a secondary antibody reagent
The Avidin-Biotin Complex(ABC) Method
, between the horseradish peroxidase enzyme and a secondary antibody reagent, enzyme localization can be achieved at the site of primary antibody interaction with the specimen (see ) Fig. 1 ). The biotin molecule is small and can be easily conjugated to immunoglobulin
sample to 1 mg/ml (or less). Prepare 1 mg/ml solution of NHS-Biotin in DMSO. Add NHS-Biotin in DMSO to antibody at desired ratio e.g. for 1:8 ratio add 125 ml of NHS-Biotin to 1mg of Ab Incubate on rotator for 4 hours at room
技术资料暂无技术资料 索取技术资料











