相关产品推荐更多 >
万千商家帮你免费找货
0 人在求购买到急需产品
- 详细信息
- 文献和实验
- 技术资料
- 抗体名:
APAF1 (CT) Rabbit Polyclonal Antibody抗体
- 抗体英文名:
APAF1 (CT) Rabbit Polyclonal Antibody
- 靶点:
APAF1
- 浓度:
1mg/ml
- 应用范围:
ICC, IF, IHC-Fr, IHC-P
- 宿主:
Rabbit
- 适应物种:
Human, Rat
- 保质期:
6-12个月
- 抗原来源:
详询
- 目录编号:
orb10107
- 级别:
科研级
- 库存:
88
- 供应商:
biorbyt
- 标记物:
Unconjugated
- 克隆性:
Polyclonal
- 形态:
Liquid
- 亚型:
IgG
- 免疫原:
KLH conjugated synthetic peptide derived from human Apaf-1 (1201-1248/1248aa)
- 规格:
50 ul
产品描述:APAF1 (CT) Rabbit Polyclonal Antibody
别名:APAF 1; APAF-1; Apoptotic peptidase activating factor 1; Apoptotic protease activating factor; CED 4; CED4; KIAA0413; APAF_HUMAN; Apoptotic protease-activating factor 1.
免疫原:KLH conjugated synthetic peptide derived from human Apaf-1 (1201-1248/1248aa)
预测反应性:Canine, Equine, Mouse, Zebrafish
分子量:137 kDa
应用稀释比例:IHC-P=1:100-500, IHC-F=1:100-500, ICC/IF=1:100-500, IF=1:100-500
防腐剂:0.01M TBS (pH7.4) with 1% rAlbumin, 0.02% Proclin300 and 50% Glycerol.
纯化:Affinity purified by Protein A
保存说明:Maintain refrigerated at 2-8°C for up to 2 weeks. For long term storage store at -20°C in small aliquots to prevent freeze-thaw cycles.
UniProt ID:O14727
Note:For research use only.


别名:APAF 1; APAF-1; Apoptotic peptidase activating factor 1; Apoptotic protease activating factor; CED 4; CED4; KIAA0413; APAF_HUMAN; Apoptotic protease-activating factor 1.
免疫原:KLH conjugated synthetic peptide derived from human Apaf-1 (1201-1248/1248aa)
预测反应性:Canine, Equine, Mouse, Zebrafish
分子量:137 kDa
应用稀释比例:IHC-P=1:100-500, IHC-F=1:100-500, ICC/IF=1:100-500, IF=1:100-500
防腐剂:0.01M TBS (pH7.4) with 1% rAlbumin, 0.02% Proclin300 and 50% Glycerol.
纯化:Affinity purified by Protein A
保存说明:Maintain refrigerated at 2-8°C for up to 2 weeks. For long term storage store at -20°C in small aliquots to prevent freeze-thaw cycles.
UniProt ID:O14727
Note:For research use only.

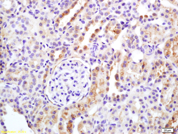
Tissue/cell: rat kidney tissue, 4% Fixative-fixed and paraffin-embedded, Antigen retrieval: citrate buffer (0.01M, pH 6.0), Boiling bathing for 15 min, Block endogenous peroxidase by 3% Hydrogen peroxide for 30 min, Blocking buffer (normal goat serum) at 37℃ for 20 min, Incubation: Anti-APAF1 (CT) Polyclonal Antibody, Unconjugated (orb10107) 1:200, overnight at 4°C, followed by conjugation to the secondary antibody and DAB staining.

Tissue/cell:SH-SY5Y cell, 4% Fixative-fixed, Triton X-100 at room temperature for 20 min, Blocking buffer (normal goat serum) at 37°C for 20 min, Antibody incubation with (APAF1 (CT)) polyclonal Antibody, Unconjugated (orb10107) 1:100, 90 minutes at 37°C, followed by a FITC conjugated Goat Anti-Rabbit IgG antibody at 37°C for 90 minutes, DAPI (blue) was used to stain the cell nuclei.
风险提示:丁香通仅作为第三方平台,为商家信息发布提供平台空间。用户咨询产品时请注意保护个人信息及财产安全,合理判断,谨慎选购商品,商家和用户对交易行为负责。对于医疗器械类产品,请先查证核实企业经营资质和医疗器械产品注册证情况。
文献和实验相关实验
-rabbit serum 羊抗兔血清 GCA gastrin cell antibody 胃泌素细胞抗体 GFAP glial fibrillary acidic protein 胶质纤维酸性蛋白 GFL green fluorescence 绿色荧光 GH growth hormone 生素激素 GLAD gold-labelled antigen detection method 金标抗原检测法 GMA glycol methacrylate
技术资料暂无技术资料 索取技术资料
APAF1 (CT) Rabbit Polyclonal Antibody抗体,orb10107,biorbyt
¥3120








![CTLA4 Antibody [1E6]抗体,orb1239307,biorbyt](https://img1.dxycdn.com/p/s14/2025/1204/437/6547498850212146991.jpg!wh200)


