相关产品推荐更多 >
万千商家帮你免费找货
0 人在求购买到急需产品
- 详细信息
- 文献和实验
- 技术资料
- 抗体名:
DDR1 Antibody抗体
- 抗体英文名:
DDR1 Antibody
- 靶点:
DDR1
- 应用范围:
ELISA, IHC, WB
- 宿主:
Rabbit
- 适应物种:
Human, Rat
- 保质期:
6-12个月
- 抗原来源:
详询
- 目录编号:
orb633118
- 级别:
科研级
- 库存:
88
- 供应商:
biorbyt
- 标记物:
Unconjugated
- 克隆性:
Polyclonal
- 形态:
liquid
- 亚型:
IgG
- 免疫原:
discoidin domain receptor tyrosine kinase 1
- 规格:
50 ug
产品描述:Rabbit polyclonal antibody to DDR1
别名:CAK, EDDR1, NEP, NTRK4, PTK3A, RTK6, TRKE
免疫原:discoidin domain receptor tyrosine kinase 1
分子量:101 kDa
应用稀释比例:WB: 1:500-1:2000; IHC: 1:50-1:500
纯度:≥95% as determined by SDS-PAGE
纯化:Immunogen affinity purified
保存说明:Maintain refrigerated at 2-8°C for up to 2 weeks. For long term storage store at -20°C in small aliquots to prevent freeze-thaw cycles.
UniProt ID:Q08345
Note:For research use only.


别名:CAK, EDDR1, NEP, NTRK4, PTK3A, RTK6, TRKE
免疫原:discoidin domain receptor tyrosine kinase 1
分子量:101 kDa
应用稀释比例:WB: 1:500-1:2000; IHC: 1:50-1:500
纯度:≥95% as determined by SDS-PAGE
纯化:Immunogen affinity purified
保存说明:Maintain refrigerated at 2-8°C for up to 2 weeks. For long term storage store at -20°C in small aliquots to prevent freeze-thaw cycles.
UniProt ID:Q08345
Note:For research use only.

U87MG cells were subjected to SDS PAGE followed by western blot with orb633118 (DDR1 antibody) at dilution of 1:1000.

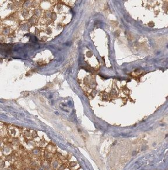
Immunohistochemistry of paraffin-embedded rat testis tissue slide using orb633118 (DDR1 Antibody) at dilution of 1:200.
风险提示:丁香通仅作为第三方平台,为商家信息发布提供平台空间。用户咨询产品时请注意保护个人信息及财产安全,合理判断,谨慎选购商品,商家和用户对交易行为负责。对于医疗器械类产品,请先查证核实企业经营资质和医疗器械产品注册证情况。
文献和实验相关实验
三句话读懂一篇 CNS:晚饭吃太晚,更易导致肥胖;为什么女性更容易患老年痴呆?
沉积, 从而增大了女性得阿尔兹海默病的风险,为人类攻克阿尔兹海默病提供了理论基础。 图 2:来源 Cell 3. Nature:胶原蛋白裂解依赖的 DDR1 信号决定胰腺癌的预后 胰腺导管腺癌是一种高度恶性肿瘤,五年平均生存期短,目前尚无有效治疗手段。 2022 年 10 月 5 日,美国加州大学圣迭戈分校 Michael Karin 教授团队与南京大学医学院附属鼓楼医院孙倍成教授课题组联合在 Nature 杂志发表研究论文 Collagenolysis-dependent DDR1
技术资料暂无技术资料 索取技术资料
DDR1 Antibody抗体,orb633118,biorbyt
¥3120











